Radiochemoterapie nebo chemoradioterapie jsou výrazy pro kombinaci radioterapie a chemoterapie. Některé léky zvyšují účinnost ozáření a podávají se proto současně s radioterapií. Na tomto místě najdete podrobné informace o této léčebné metodě, které připravil prof. MUDr. Pavel...
Obsah: Radikální radioterapie Předoperační nebo pooperační radioterapie Paliativní radioterapie Radikální radioterapie Radioterapie je aplikována s cílem vyléčit nádor. Snažíme se aplikovat maximální dávku záření, která bude spojena s přijatelnou mírou závažných komplikací...
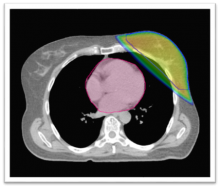
Moderně vedená léčba radioaktivním zářením, tedy i při konkomitantní chemoradioterapii, je v současné době prováděna konformně. Cílem konformní radioterapie (conform = přizpůsobit) je přizpůsobit tvar ozařovaného objemu nepravidelnému objemu nádorového ložiska. Snižuje se riziko vzniku...
Důležitou podmínkou účinné a bezpečné léčby zářením je její precizní naplánování. Indikace léčby zářením u každého pacienta by měla vzejít z rozhodnutí týmu, ve kterém je obvykle radiolog, patolog, chirurg, radiační onkolog a chemoterapeut, popřípadě i jiní odborníci. Dále...
Radioterapie je nedílnou součástí komplexní péče o onkologického pacienta, přibližně polovina onkologických pacientů během své léčby absolvuje také radioterapii. Radioterapie se užívá také k léčbě některých nenádorových onemocnění. Radioterapie může být použita samostatně,...
Obsah: Úvod Historie Zdroje záření Biologické účinky záření Radioterapie využívá k léčbě nádorů (i některých nenádorových onemocnění) ionizující záření. Radioterapie je neodmyslitelnou součástí moderní onkologické léčby. Asi 50% onkologických pacientů absolvuje v průběhu...
12. díl onkologického podcastu se věnuje radioterapii. Hostem předsedkyně výboru ČOS, doc. MUDr. Jany Prausové, Ph.D., MBA je doc. MUDr. Jiří Kubeš, Ph.D. z Fakultní nemocnice Motol a primář PTC Praha.
9. díl onkologických podcastů se věnuje radioterapii. O minulosti, současnosti a budoucnosti radioterapie hovoří s předsedkyní společnosti paní docentka Renata Soumarová, přednostka Onkologické kliniky FNKV.
Animované video pro děti, aby věděly, co je čeká, když jsou na ozařování. Připravila Klinika radiační onkologie v Masarykově onkologickém ústavu v Brně.
Podle výsledků studie NELSON bylo 65 -70 % nádorů zachyceno ve stádiu IA-II, což vedlo ke snížení mortality u mužů až o 26% a u žen až o 61%. Přednáška zazněla na konferenci PREVON, vysvětluje rozdíl mezi RTG a CT vyšetřením plic a úlohu radiologa v programu časného záchytu karcinomu plic.
Na Brněnských onkologických dnech 2019 jsme položili panu primáři MUDr. Janu Křístkovi, Ph.D. z Oddělení radiologie Masarykova onkologického ústavu Brno otázku na novinky v diagnostické radiologii a jsme se zeptali na pokrok v léčbě pomocí intervenční radiologie.
Úspěch onkologické léčby často závisí nejen na správné protinádorové léčbě, ale v nemalé míře i na včasném tlumení nežádoucích účinků této léčby a na zachování dobré kvality života. O pacienta je třeba během léčby pečovat, řešit nežádoucí účinky léčby, jeho nutriční stav a poskytnout mu dostatečnou ošetřovatelskou péči. Podpůrná léčba v onkologii je samostatný obor, jehož cílem je zajistit maximální kvalitu života během onkologické léčby a to jak kurativní, tak i paliativní.
Jste-li onkologicky nemocný, nebo o nemocného pečujete, podívejte se na záznam červnového dílu našeho živého vysílání, ve kterém 6. června odpovídal na Vaše dotazy na téma prevence onkologických komplikací podpůrnou léčbou a péčí Doc. MUDr. Samuel Vokurka, Ph.D.
Přednáška shrnuje nejčastější indikace radioterapie, používanou techniku a moderní metody radioterapie, jako je radioterapie řízená obrazem (IGRT), řízené dýchání, stereotaktická radioterapie, extrakraniální SBRT. Na závěr se přednášející věnuje akutním a pozdním nežádoucím účinkům radioterapie a jejich řešením.
Na Brněnských onkologických dnech jsme se zeptali MUDr. Pavla Krupy z Kliniky radiační onkologie Masarykova onkologického ústavu v Brně co je nového v radioterapii zhoubných nádorů a jaké jsou nejčastější nežádoucí účinky této léčby?
Karcinom z Merkelových buněk je sice vzácný, ale velmi agresivní nádor s trvale rostoucí incidencí. Chemoterapie vyvolává relativně četné léčebné odpovědi, mají ale krátké trvání a nedochází k prodloužení OS. Další cestou je imunoterapie anti PD-1 a anti PD-L1 monoklonálními protilátkami. Přednáška zazněla v rámci 9. pražského mezioborového onkologického kolokvia – PragueONCO v lednu 2018.
Léčba zářením – radioterapie, lépe však náplň oboru vystihuje název radiační onkologie, je klinickým oborem, který v posledních 5-8 letech prošel v naší republice významnou přístrojovou obměnou. V každém komplexním onkologickém centru je k dispozici moderní ozařovací technika a základním zdrojem jsou lineární urychlovače s fotonovým a elektronovým zářením. Pan prof. MUDr. Pavel Šlampa, CSc. z Kliniky radiační onkologie Masarykova onkologického ústavu v Brně vysvětluje nové možnosti moderních lineárních urychlovačů.
Standardem v léčbě lokálně pokročilého karcinomu žaludku je kombinace operačního řešení a adjuvantní chemoradioterapie nebo perioperační chemoterapie. V případě nádorů gastroezofageální junkce je preferována perioperační chemoterapie, tzn. 3 série předoperační chemoterapie, chirurgický výkon a následně další tři cykly pooperační chemoterapie stejným režimem. Stadia Ib-III léčíme adjuvantní CHT/RT na bázi 5-fluorouracilu, nyní je preferován režim de Gramont nebo perorální prodrug 5-fluorouracilu kapecitabin. Doporučujeme odeslat pacienta se zjištěným karcinomem žaludku k onkologickému konziliu ještě před objednáním k operaci.
Studie s komentářem PSNPO.
Atasoy BM, Yonal O, Demirel B et al.: The impact of early percutaneus endoscopic gastrostomy placement on treatment completeness and nutritional status in locally advanced head and neck patients receiving chemoradioherapy. Eur Arch Otorhinolaryngol 2012; 269:275-282.
Autor je předsedou Akreditační komise Ministerstva zdravotnictví ČR pro radiační onkologii a členem Vědecké rady České lékařské společnosti.
S blížícím se zahájení provozu Protonového centra v Praze se v tisku objevují objektivní, ale bohužel i zavádějící informace o této nové technologii radioterapie. Myslím, že řada nepřesných informací, publikovaných v tisku, jde na úkor novinářského zjednodušení a zkreslení odborných informací, které v dobré víře poskytli odborníci zástupcům médií o popisované metodě léčby nádorů protonovými svazky.
Ekonomický rozbor a indikační přehled radioterapie u karcinomu prostaty, který zazněl na Postgraduálním kurzu Karcinom prostaty od A do Z 7. dubna v Kampusu MU LF.








