Konference: 2004 VII. setkání Klubu mladých onkologů
Kategorie: Zhoubné gynekologické nádory
Téma: Konference bez tematických celků
Číslo abstraktu: 01
Autoři: MUDr. Pavel Fabián, Ph.D.
Přepis prezentace z Microsoft PowerPoint



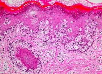
Patologie dlaždicového epitelu

CIN III

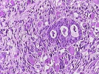
Mikroinvazivní karcinom < 3mm

Další tumory čípku, vaginy a vulvy
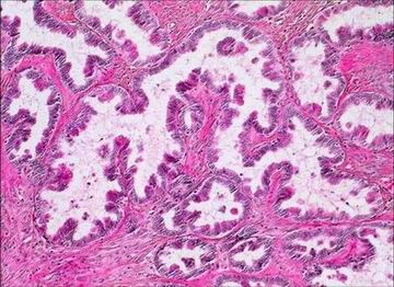
Adenokarcinom čípku /susp. HPV/
Bothryoidní sarkom
Morbus Paget
Melanom
Hluboký (agresivní) angiomyxom
Spousta dalších

Epitel - hyperplázie a karcinomy
Stroma - s. nodulus, stromální sarkomy
Epitel + stroma - smíšené tumory
Hl. svalovina - leiomyom, leiomyosarkom
Estrogen dependentní
- grading 1-3
- relativně příznivé chování
- vznikají z prekancerózy
Estrogen non-dependentní
- nemají grading - z definice high grade
- relativně nepříznvé chováni
- prekanceróza existuje, ale není běžně detekována
serózní
-mucinózní
-endometrioidní
-clear cell

Clear cell a endometrioidní
Nádory těla děložního - MMMT

Maligní smíšený Mülleriánský tumor
- obsahuje maligní složku epiteliální i stromální, často heterologní (chrupavka, kost…)
- starší název KARCINOSARKOM
Tzv. obecné epitelové včetně smíšených a stromálních tumorů endometrioidních
Ze specifického gonadálního stromatu
Germinální

Nádory ovária - epitelové


-serózní
-mucinózní
-endometrioidní
-clear cell
- transitiocelulární

- Benigní
- Borderline
s peritoneálními implantáty
neinvazivními
invazivními
- Maligní
Nádory ovária - epitelové borderline
Bez stromální invaze, resp. povolena invaze do 10 mm2
Lze přirovnat k in situ karcinomům
Chování blízké benigním, ale pozor!
Invazivní peritoneální implantáty zvyšují riziko recidivy na 50% a desetileté přežití snižují na 35% (WHO klasif.)
Důležié extenzivní vyšetření tumoru, cave! peroperační freeze histologie

Nádory ovária - specializované gonadální stroma
Tumory z fibroblastů, thekálních a granulózových buněk (Nejčastější granulosa cell tumor / jeho biologická povaha je nejistá a NELZE JI URČIT Z HISTOLOGIE)
Tumory ze Sertoliho a Leydigových buněk
Embryogeneze - Müllerův vývod

Patologie dlaždicového epitelu

Patologie dlaždicového epitelu

Patologie dlaždicového epitelu

CIN III

Mikroinvazivní karcinom < 3mm
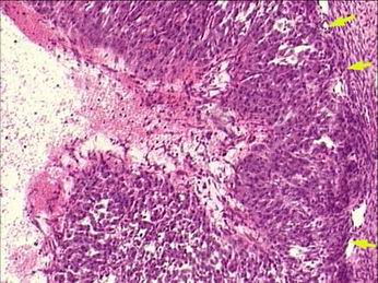
Patologie dlaždicového epitelu invazivní karcinom

Další tumory čípku, vaginy a vulvy
Adenokarcinom čípku /susp. HPV/
Bothryoidní sarkom
Morbus Paget
Melanom
Hluboký (agresivní) angiomyxom
Spousta dalších
Patologie dlaždicového epitelu - vulva - Morbus Paget

Nádory těla děložního epitel, stroma, hladká svalovina
Epitel - hyperplázie a karcinomy
Stroma - s. nodulus, stromální sarkomy
Epitel + stroma - smíšené tumory
Hl. svalovina - leiomyom, leiomyosarkom
Nádory těla děložního - karcinomy
Estrogen dependentní
- grading 1-3
- relativně příznivé chování
- vznikají z prekancerózy
Estrogen non-dependentní
- nemají grading - z definice high grade
- relativně nepříznvé chováni
- prekanceróza existuje, ale není běžně detekována
serózní
-mucinózní
-endometrioidní
-clear cell

Clear cell a endometrioidní
Nádory těla děložního - MMMT

Maligní smíšený Mülleriánský tumor
- obsahuje maligní složku epiteliální i stromální, často heterologní (chrupavka, kost…)
- starší název KARCINOSARKOM
Nádory ovária
Tzv. obecné epitelové včetně smíšených a stromálních tumorů endometrioidních
Ze specifického gonadálního stromatu
Germinální

Nádory ovária - epitelové


-serózní
-mucinózní
-endometrioidní
-clear cell
- transitiocelulární

- Benigní
- Borderline
s peritoneálními implantáty
neinvazivními
invazivními
- Maligní
Nádory ovária - epitelové borderline
Bez stromální invaze, resp. povolena invaze do 10 mm2
Lze přirovnat k in situ karcinomům
Chování blízké benigním, ale pozor!
Invazivní peritoneální implantáty zvyšují riziko recidivy na 50% a desetileté přežití snižují na 35% (WHO klasif.)
Důležié extenzivní vyšetření tumoru, cave! peroperační freeze histologie

Nádory ovária - specializované gonadální stroma
Tumory z fibroblastů, thekálních a granulózových buněk (Nejčastější granulosa cell tumor / jeho biologická povaha je nejistá a NELZE JI URČIT Z HISTOLOGIE)
Tumory ze Sertoliho a Leydigových buněk
Datum přednesení příspěvku: 12. 6. 2004
