Konference: 2005 XII. Jihočeské onkologické dny
Kategorie: Kasuistiky
Téma: Postery
Číslo abstraktu: P018
Autoři: MUDr. Tamara Kyselá; MUDr. Ivana Zíková; MUDr. Zlatuše Bravencová
Základní charakteristika onemocnění
relativně vzácný výskyt (4 5%) nádorů štítné žlázy agresivní lokální růst
rozsáhlé metastazování krevní cestou
špatná prognóza
Pacientka I. D. (věk v době diagnózy 38 let) Anamnéza
7 měsíců nodosní eufunkční struma, endokrinologem indikovaná totální thyreoidectomie, předoperační cytologický nález neprokázal malignitu.
Terapie
Thyreoidectomie totální 18. 9. 2000. Histologický nález nediferencovaný až anaplastický karcinom s intravaskulárním šířením. (potvrzeno 2. čtením včetně imunohistochemického vyšetření). Klasifikace T3 Nl MO.
Pooperačně provedeno kontrolní CT vyšetření a sonografické vyšetření (6. 10. 2000) zjištěna suspektní lokální recidiva a doporučena reoperace. RTG plic 12. 10. 2005 negativní.
Pacientka reoperována 24. 11. 2000 vzhledem k progresi nálezu s šířením nádorové infiltrace do oblasti horního mediastina provedena jen paliativní exstirpace tumorózních uzlů v oblasti krku vlevo. Histologicky potvrzen anaplastický ca.
Došetřen rozsah onemocnění.
RTG plic 28. 11. 2000 mnohočetné stíny metastáz ve středních plicních polích oboustranně , 5 10 mm. Sonografické vyšetření břicha a scintigrafie skeletu byly negativní.
Zahájena chemoterapie 5. 12. 2000 kombinace Adriablastin 60 mg/m2 1. den, Cisplatina 90 mg/m2 1. den, opakováno po 21 dnech.
Aplikováno od 5. 12. 2000 do 19. 4. 2001, celkem 6 sérií. Při ukončení chemoterapie pacientka v kompletní remisi. Během léčby RTG plic dne 18. 1. 2001 nález negativní, před ukončením chemoterapie 19. 4. opět negativní. CT krku a horního mediastina 14. 5. 2001 bez známek patologické infiltrace.
Dispenzarizace
Pacientka nadále dispenzarizována na naší klinice, je dosud v trvající kompletní remisi.
Závěr
Od roku 1974 jsme zaznamenali jen jediný tento případ pokročilého metastatického anaplastického karcinomu štítné žlázy s úplnou regresí po chemoterapii a přežitím dosud 55 měsíců 4,5 roku (hodnoceno v červnu 2005).
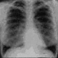
Obr. 1 Rtg plic z 12. 10. 2000. Bez známek metastatické infiltrace

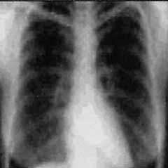
Obr. 2 Rtg plic z 28. 11. 2000. Mnohočetné stíny metastáz ve středních plicních oboustranně

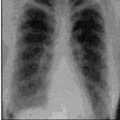
Obr. 3 Rtg plic z 18. 1. 2001. Bez známek metastatické infiltrace

Obr. 4 Rtg plic ze září 2003. Bez známek metastatické infiltrace

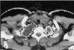
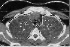
Obr. 5 CT plic z 6. 10. 2000. Tumorózní infiltrace v oblasti horního mediastinu

Obr. 6 CT plic z 6. 10. 2000. Tumorózní infiltrace v oblasti horního mediastinu

Obr. 7 CT plic z 6. 10. 2000. Tumorózní infiltrace v oblasti horního mediastinu

relativně vzácný výskyt (4 5%) nádorů štítné žlázy agresivní lokální růst
rozsáhlé metastazování krevní cestou
špatná prognóza
Pacientka I. D. (věk v době diagnózy 38 let) Anamnéza
7 měsíců nodosní eufunkční struma, endokrinologem indikovaná totální thyreoidectomie, předoperační cytologický nález neprokázal malignitu.
Terapie
Thyreoidectomie totální 18. 9. 2000. Histologický nález nediferencovaný až anaplastický karcinom s intravaskulárním šířením. (potvrzeno 2. čtením včetně imunohistochemického vyšetření). Klasifikace T3 Nl MO.
Pooperačně provedeno kontrolní CT vyšetření a sonografické vyšetření (6. 10. 2000) zjištěna suspektní lokální recidiva a doporučena reoperace. RTG plic 12. 10. 2005 negativní.
Pacientka reoperována 24. 11. 2000 vzhledem k progresi nálezu s šířením nádorové infiltrace do oblasti horního mediastina provedena jen paliativní exstirpace tumorózních uzlů v oblasti krku vlevo. Histologicky potvrzen anaplastický ca.
Došetřen rozsah onemocnění.
RTG plic 28. 11. 2000 mnohočetné stíny metastáz ve středních plicních polích oboustranně , 5 10 mm. Sonografické vyšetření břicha a scintigrafie skeletu byly negativní.
Zahájena chemoterapie 5. 12. 2000 kombinace Adriablastin 60 mg/m2 1. den, Cisplatina 90 mg/m2 1. den, opakováno po 21 dnech.
Aplikováno od 5. 12. 2000 do 19. 4. 2001, celkem 6 sérií. Při ukončení chemoterapie pacientka v kompletní remisi. Během léčby RTG plic dne 18. 1. 2001 nález negativní, před ukončením chemoterapie 19. 4. opět negativní. CT krku a horního mediastina 14. 5. 2001 bez známek patologické infiltrace.
Dispenzarizace
Pacientka nadále dispenzarizována na naší klinice, je dosud v trvající kompletní remisi.
Závěr
Od roku 1974 jsme zaznamenali jen jediný tento případ pokročilého metastatického anaplastického karcinomu štítné žlázy s úplnou regresí po chemoterapii a přežitím dosud 55 měsíců 4,5 roku (hodnoceno v červnu 2005).
Obr. 1 Rtg plic z 12. 10. 2000. Bez známek metastatické infiltrace

Obr. 2 Rtg plic z 28. 11. 2000. Mnohočetné stíny metastáz ve středních plicních oboustranně

Obr. 3 Rtg plic z 18. 1. 2001. Bez známek metastatické infiltrace

Obr. 4 Rtg plic ze září 2003. Bez známek metastatické infiltrace

Obr. 5 CT plic z 6. 10. 2000. Tumorózní infiltrace v oblasti horního mediastinu

Obr. 6 CT plic z 6. 10. 2000. Tumorózní infiltrace v oblasti horního mediastinu

Obr. 7 CT plic z 6. 10. 2000. Tumorózní infiltrace v oblasti horního mediastinu

Datum přednesení příspěvku: 15. 10. 2005
