Konference: 2011 XXXV. Brněnské onkologické dny a XXV. Konference pro sestry a laboranty
Kategorie: Onkologická diagnostika
Téma: Postery
Číslo abstraktu: 234p
Autoři: Ing. Soňa Křížková, Ph.D.; Mgr. Markéta Vaculovičová (Ryvolová), Ph.D.; Mgr. Milan Pouch; Ing. Petr Majzlík, Ph.D.; doc.Ing. Jaromír Hubálek, Ph.D.; prof. Ing. Ivo Provazník; doc., RNDr. Michal Masařík, Ph.D.; doc.Ing. René Kizek, Ph.D.
Klíčová slova: metalothionein, karcinom prostaty, diagnostika, fingerprint, agregáty
Úvod
Zhoubné nádory prostaty (CaP) jsou v současnosti jedním z nejčastějších nádorových onemocnění u mužů (Abrhamova, Anonym, Anonym). Z histologického hlediska se jedné především o adenokarcinomy (> 90%) (Cavalli). CaP vykazují malý metastatický potenciál a obvykle jsou asymptomatické (Giles). Část pacientů však trpí agresivními formami CaP, které naopak mají vysoký sklon k metastatování, objevují se v nižším věku a jsou příčinou jejich úmrtí. Především pro tyto pacienty je mimořádně důležitá včasná diagnostika a odlišení formy CaP. V současnosti je pro diagnostiku CaP používána kombinace stanovení volného a vázaného PSA (prostata-specifický antigen) v krevním séru, digitální rektální vyšetření a biopsie (Ellis, et al., Gerber, et al.). Ačkoli je PSA je jedním z nejznámějších a nejpoužívanějších biomarkerů nádorového onemocnění, ukazuje se, že není zcela spolehlivým ukazatelem přítomnosti CaP (Humbert, et al.), což především při screeningových aplikacích může vést jak k falešně pozitivním tak k falešně negativním výsledkům díky tomu, že není možno přesně definovat tzv. cut-off hodnoty. Z tohoto důvodu jsou intenzivně hledány nové biomarkery CaP. K nejperspektivnějším patří PCA3, EPCA a genové fúze, především u genových rodin TRMPSS2 a ETS (Goo, et al., Stephan, et al.).
Ukazuje se, že jedním z možných markerů přítomnosti nádorového onemocnění je na cysteiny bohatý malý protein – metalothionein (MT) (Masarik, et al.). Jednou z jeho nejznámějších je detoxifikace a udržování homeostasy těžkých kovů (Coyle, et al., Eckschlager, et al.). Nyní je známo, že MT hraje roli i v regulaci genové exprese, transkripce, embryogeneze a imunomodulaci, kromě toho bylo zjištěno, že má také antiapoptotickou funkci. V případě nádorových onemocnění je spojován s jejich diagnostikou, průběhem, prognosou a metastatováním.
Cílem této práce bylo stanovit hladinu MT v krevním séru a použít čipovou kapilární elektroforézu pro stanovení agregátů metalothioneinu ve vzorcích krevního séra pacientů s adenokarcinomem prostaty.
EXPERIMENTÁLNÍ ČÁST
Materiál a metody
Vzorky sér pacientů s nádorovým onemocněním byly získány z Urologického oddělení FN U svaté Anny v Brně. Kontrolní vzorky byly získány z Ústavu sportovní medicíny, Brno. Vzorky byly připraveny následujícím způsobem; krev byla po čas 15-ti minut ponechána při 99 °C (Eppendorf 5430, USA), poté byly vzorky centrifugovány při 16 000 g, 4 °C po dobu 30 minut (Eppendorf 5402, USA). Následovalo odebrání supernatantu, který byl přímo analyzován za neredukujících podmínek.
Vzorky byly analyzovány na přístroji 747 VA Stand ve spojení s 746 VA Trace Analyzer a 695 Autosampler (Metrohm, Švýcarsko) v klasickém tříelektrodovém uspořádání. Pracovní elektrodou byla visící rtuťová kapková elektroda (HMDE) s plochou kapky 0,4 mm2; referentní elektrodou byla Ag/AgCl/3M KCl a pomocnou platinová elektroda. Základní elektrolyt (1 mmol/l (Co(NH3)6)Cl3 a 1 mol/l a amonný pufr; NH3(aq) + NH4Cl, pH 9,6) byl po každých pěti měřeních vyměněn. DPV parametry byly následující: počáteční potenciál –0,7 V, konečný potenciál –1,75 V, modulační čas 0,057 s, časový interval 0,2 s, potenciálový krok 2 mV/s, modulační amplituda –250 mV, Eads = 0 V, teplota základního elektrolytu 4 °C.
Hladina PSA ve vzorcích byla stanovena pomocí immunochemického analyzátoru AIA 600 II využitím magnetizovatelných částic (Tosoh Corporation, Japonsko).
Pro analýzu krevního séra pacientů s karcinomem prostaty (CaP) bylo použito komerční zařízení pro čipovou kapilární elektroforézu (Bio-Rad, USA) a komerční kit od téhož dodavatele.
Pro identifikaci metalothioneinu v agregátech byl použit western-blotting za použití slepičích protilátek proti MT (HENA, Česká Republika) a konjugátu křenové peroxidasy s králičí protilátkou proti slepičím IgE.

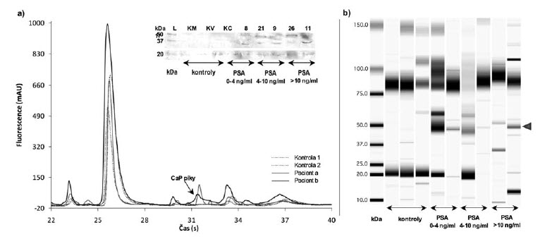
Obr. 1
a) kapilární čipové elektroforeogramy krevního séra pacientů a CaP a kontrolních jedinců v neredukujících podmínkách, šipky ukazují pozorované rozdíly. Ve výřezu: Western blot analyzovaných vzorků séra.
b) Virtuální gelový výstup z čipového kapilárního elektroforetického systému.
Rozdíly mezi pacienty a kontrolními vzorky jsou ukázány šipkou.
Výsledky a diskuse
V krevním séru 46 pacientů s adenokarcinomem prostaty byl stanoven PSA a MT. Ve 36,9% případů byla hladina PSA v oblasti 0-4 ng/ml, což je považováno za fyziologické hodnoty, ve 34,8% případů byla hladina PSA v suspektním rozmezí, tzv. ‘grey zone’ 4-10 ng/ml a u zbývajících 28,3% případů byla hladina PSA vyšší než 10 ng/ml. Oproti tomu průměrná hladina hladina MT byla u 2.09 ± 0.3 µM tj. přibližně 5x vyšší než u zdravých dobrovolníků (0.51 ± 0.2 µM) (Krizkova, et al.).
Krevní séra pacientů byla analyzována pomocí čipové kapilární elektroforézy na přítomnost agregátů MT. Na obrázku 1 jsou ukázány elektroforeogramy vzorků pacientů s CaP s hladinami PSA ve fyziologickém, suspektním a patologickém rozmezí a elektroforeogramy séra kontrolních pacientů. Ve všech analyzovaných vzorcích byly přítomny píky o velikosti od 42 do 53 kDa. Počet píků ve vzorcích se pohyboval od jednoho do tří (Cap 1, CaP 2, CaP 3). Pomocí Western-blotu bylo zjištěno, že v agregátech je přítomen MT. Obdržená data byla podrobena statistické analýze pomocí oboustranného Fisherova testu. Na hladině významnosti p < 0.05 bylo potvrzeno, že soubory pacientů a kontrol se liší v přítomnosti Cap 3 a CaP 1 píku. Rozdíly v přítomnosti píku CaP 2 byly statisticky nevýznamné. V dalším testování bylo testováno rozlišení souboru pacientů a kontrol na základě přítomnosti dvou libovolných píků Cap 1 až 3. V žádném kontrolním vzorku nebylo současně přítomno dva a více píků, zatímco v 95,1% vzorků pacientů a CaP bylo přítomno dva a více sledovaných píků. Ve spojení se stanovením hladiny MT ve vzorku séra připraveného stejným způsobem bylo dosaženo 100% rozlišení souboru pacientů a kontrol (Krizkova, et al.).
Závěr
Stanovení metalothioneinu v krevním séru a stanovení agregované formy MT v kombinaci se stanovením PSA je použitelné jako neinvazivní technika pro zpřesnění diagnostiky adenokarcinomu prostaty.
Literatura:
- Abrhamova, J., (2005): www.uzis.cz/cz/nor/norindx.htm, Národní onkologický registr,
- Anonym, (2008): The global burden of disease: 2004
update
- Anonym, (2009): Neoplasms 2006/Cancer incidence 2006
- Cavalli, F., (2009): Textbook of medical oncology
- Giles, G., (2010): The Epidemiology of Prostate Cancer
- Ellis, W. J., et al., (1994): Diagnosis of prostatic carcinoma:
the yield of serum prostate specific antigen, digital rectal
examination and transrectal ultrasonography, J Urol, 152:
1520-5.
- Gerber, G. S., et al., (1991): Routine screening for cancer of the prostate, J Natl Cancer Inst, 83: 329-35.
- Humbert, L., et al., (2010): Somatic Molecular Genetics of Prostate Cancer
- Goo, Y. A., et al., (2010): Advances in proteomic prostate cancer biomarker discovery, Journal of Proteomics, 73: 1839-1850.
- Stephan, C., et al., (2009): New Markers and Multivariate Models for Prostate Cancer Detection, Anticancer Research, 29:2589-2600.
- Masarik, M., et al., (2009): Detection of metallothionein and alpha-methylacyl CoA racemase as potential new markers for prostate carcinoma, International Journal of Molecular Medicine, 24: 276.
- Coyle, P., et al., (2002): Metallothionein: The multipurpose protein, Cellular and Molecular Life Sciences, 59: 627-647.
- Eckschlager, T., et al., (2009): Metallothioneins and Cancer, Current Protein & Peptide Science, 10: 360-375.
- Krizkova, S., et al., (2011): Electrophoretic fingerprint metallothionein analysis as a potential prostate cancer biomarker, Electrophoresis, in press:
Datum přednesení příspěvku: 21. 4. 2011
