Konference: 2005 XXIX. Brněnské onkologické dny a XIX. Konference pro sestry a laboranty
Kategorie: Genitourinární nádory
Téma: Nádory ledvin
Číslo abstraktu: 118
Autoři: MUDr. Jaroslav Boudný, PhD; prof. MUDr. Igor Kiss, Ph.D., MBA; prof. MUDr. Vlastimil Válek, CSc.; MUDr. Jiří Tomášek, Ph.D.


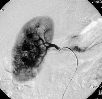
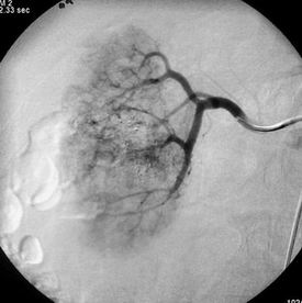
Obrázek 1 - angiografie pravé ledviny před léčbou s výraznou maligní vakularizací
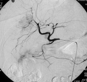
Obrázek 2 - angiografie a. hepatica před léčbou s patrnými hypervakularizovanými ložisky, které odpovídají metastázám
Problematické je, co nabídnou v léčbě pacientům s lokálně pokročilým, inoperabilním onemocněním. Tito pacienti mají různé symptomy onemocnění, bolestí a dyspepsiemi počínaje, hematurií konče. Pravděpodobně i imunoterapie či imunochemoterapie bude méně efektivní v případě velkého nádoru.
Určitou možnost lokální kontroly symptomů u lokálně pokročilého onemocnění přináší embolizace či chemoembolizace primárního nádoru cestou arteria renalis. Smyslem výkonu je vyřadit přítok krve do ledviny, což je ve většině případů provázeno zmenšením nádoru což může být provázeno také ústupem symptomů onemocnění (ústup hematurie, bolestí, dyspesie). Efekt embolizace je většinou přechodný a je nutné ho provádět opakovaně v závislosti na radiologickém obraze.
Technika embolizace
V první fázi výkonu provádíme přehlednou diagnostickou angiografii abdominální aorty a selektivní nástřik renální tepny k posouzení cévního zásobení postižené ledviny (časté jsou varianty v počtu zásobujících tepen).


Obrázek 3 - angiografie a. hepatica před léčbou s patrnými hypervakularizovanými ložisky, které odpovídají metastázám
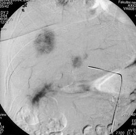
Obrázek 4 - angiografie ledviny po léčbě, bez známek přítomnosti patol. vakularizace
Následuje selektivní zavedení katétru či mikrokatétru do hilu ledviny a aplikace embolizačního materiálu.
V současnosti je indikací k embolizaci většinou masivní hematurie, kde úspěšná embolizace pomůže získat čas a zlepšit celkový stav nemocného před nefrektomií, nebo jako paliativní výkon u inoperabilního tumoru.
Primárně paliativní embolizace u nekrvácejících inoperabilních tumorů není jednoznačnou metodou volby pro často velmi rozsáhlé parazitární zásobení nádoru,
Jako embolizační materiál v dnešní době volíme spíše nerezorbovatelné materiály, jako jsou akryláty, Ivalon, spirálky, v případě aplikace léčiv i olejovou k.l. – Lipiodol. Spolu s embolizačním materiálem podáváme 1% Mesocainem pro zmírnění bolestí nemocného.
Jako vedlejší účinky embolizace ledviny jsou popisovány subfebrilie (75%) či febrilie nad 38 st.C (25%) a bolestivost v průběhu výkonu (80%). Bolesti je možné dobře kompenzovat běžnými analgetiky a jsou krátkého trvání.
Na našem pracovišti tento paliativní výkon kombinujeme s dalšími léčebnými modalitami (chemoterapie vinblastinem, chemoterapie vinblastin +interferon či fluorouracil +interferon +interleukin-2).

Obrázek 5 - angiografie a. hepatica po léčbě, bez známek metastatických ložisek
Závěr
Samostatná paliativní embolizace lokálně pokročilého karcinomu ledviny jako samostatná metoda nevede dle literárních údajů k prodloužení přežití pacientů. Na relativně malých souborech takto léčených pacientů je však popisovaná relativně dobrá tolerance výkonu a hlavně ve většině případů ústup či minimalizace symptomů onemocnění.
Literatura:
- deKernion J.B., Ramming K.P., Smith R.B.: The natural history
of metastatic renal cell carcinoma: a computer analysis. IN: Cancer
Principles and Praktice of Oncology DeVita V.T., Hellman S.,
Rosenberg S.A. (eds), 6th. Edition, 2001, 1362-1396.
- Novák J.: Nádory ledvin. IN: Urologie. Dvořáček J. a spol.
eds., ISV nakladatelství, 1998, 931- 963
- Nurmi M., Satokari K., Puntala P.: Renal Artury embolization in the paliative treatment of renal adenokarcinoma. Scandinavian Journal of Urology and Nephrology, 1987, 21, 93-93
Datum přednesení příspěvku: 28. 5. 2005
