Konference: 2011 XVIII. Jihočeské onkologické dny
Kategorie: Kolorektální karcinom
Téma: Postery
Číslo abstraktu: p14
Autoři: MUDr. Tomáš Pokrivčák; doc. MUDr. Radka Obermannová, Ph.D.; MUDr. Lucie Světláková; prof. MUDr. Rostislav Vyzula, CSc.
Úvod:
Karcinom tlustého střeva a konečníku je nejčastějším nádorem trávícího traktu. Incidence v České republice je 78/100 000 obyvatel, což nás celosvětově zařazuje na přední příčku. Nejvíce zastoupeným klinickým stádiem kolorektálního karcinomu je stádium IV (28,4 % pro rok 2007). Proces šíření metastáz probíhá hlavně lymfatickou cestou do regionálních (mezenterických a portálních) lymfatických uzlin, ze solidních orgánů jsou nejčastěji postižena plíce a játra. Metastatické postižení mozku je u tohoto typu onemocnění relativně vzácné s výskytem asi v 5 % případů. V následující kazuistice popisujeme případ pacientky s generalizovaným karcinomem tračníku, u níž v průběhu terapie dochází k progresi onemocnění do mozku.
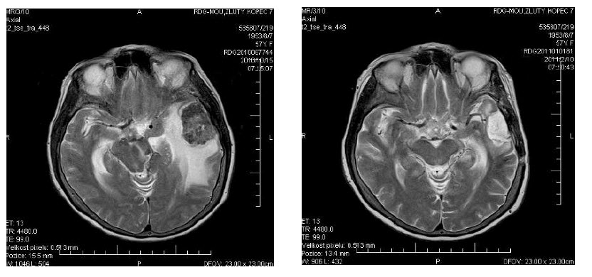
Kazuistika:
57letá pacientka s karcinomem ovaria v remisi po hysterektomii a bilaterální adnexetomii, po adjuvatní chemoterapii CBDCA/Taxotere byla v roce 2003 operována v Nemocnici Boskovice pro karcinom sigmatu. Provedena operace sec. Hartman s pooperačním stagingem pT3N0M0, histologicky přítomen adenokarcinom G2. V rámci adjuvatní terapie podána chemoterapie Xeloda v standardním režimu a provedeno adjuvatní ozáření malé pánve. Dále pacientka sledována. V 5/2007 dochází k progresi onemocnění, dle provedeného CT diagnostikována lokální recidiva + meta plic, laboratorně v korelaci dochází k elevaci tumor markerů (CEA, CA 19-9). Provedeno došetření KRAS, diagnostikován wt. Zahájena I. linie paliativní chemoterapie režimem FOLFOX + Avastin. Celkem aplikováno 15 sérií s efektem progrese nálezu na plicích a vzestupu tumorových markerů. Průběh komplikován vznikem enterovesikální a enterovaginální fistuly. Indikována reoperace se založením ter-minální sigmoideostomie na původním pracovišti. Pro současnou progresi po vyřešení zánětlivých komplikací zahájena II. linie paliativní chemoterapie režimem FOLFIRI. Dle přešetření po 4. sérií přítomna regrese nálezu na plicích, stacionární nález v malé pánvi, klinicky však nově motorický neklid, orální dyskineze, dle neurologického nálezu diferenciálně diagnosticky zvažovány NUL metoklopramidu, který vysazen a v plánu pokračováná terapie stávajícím režimem. Laboratorně však nově nárůst CEA a mírná progrese neurologické symptomatologie. Proto provedeno MRI mozku, kde nález objemné solitární expanze vlevo temporálně (45x40x40 mm) s výrazným kolaterálním edémem a přetlakem struktur střední čáry, diferenciálně diagnosticky na prvním místě metastáza. Zahájena antiedematosní terapie a konzultována neurochirurgická komise. V 10/2010 provedena exstirpace expanze, histologicky potvrzena metastatická diseminace karcinomu sigmatu. Pooperační radioterapie nebyla indikována. Po zákroku klinicky výrazná regrese neurologické symptomatologie, postupně téměř ad integrum, laboratorně výrazný pokles CEA (190,4...60,8...24,7...12,7). Vzhledem k normalizaci stavu pacientky - PS1, dosaženému efektu předchozí terapie rozhodnuto o pokračování stejným režimem. T. č. pacientka léčena 5. měsíc režimem FOLFIRI s výbornou tolerancí.

Závěr:
Výskyt metastáz mozku u pacientů s metastatickým kolorektálním karcinomem je vzácný. Přežití pacientů s nálezem meta mozku se dle literatury udává okolo 6 měsíců. V indikovaných případech je možné kombinací léčebných modalit včetně invazivních metod dosáhnout dlouhodobého přežití se zachováním velmi dobré kvality života.
Datum přednesení příspěvku: 15. 10. 2011
