Konference: 2004 VII. setkání Klubu mladých onkologů
Kategorie: Zhoubné gynekologické nádory
Téma: Konference bez tematických celků
Číslo abstraktu: 04
Autoři: Martin Hrehorčák
Přepis prezentace z Microsoft PowerPoint
Preinvasivní léze: VIN: etiologie: HPV (16)
Symptomatologie
Klinika
Diagnóza
Invazivní léze (střední věk diagnózy: 65 let)
Symptómy
Klinika
Diagnóza:
Vyšetření:
Šíření

Staging (FIGO, 1969)
T1 nádor ohraničen na vulvu a perineum do 2 cm I
T1a stromální invaze do 1mm IA
T1b invaze nad 1mm IB
T2 nádor ohraničen na vulvu, perineum, nad 2 cm II
T3 nádor se šíří na dolní část uretry, pochvu či anus III
T4 ke sliznici VU, horní uretru, rektu, kostem IV
N1 jednostranné meta v LU III
N2 oboustranné meta v LU IVA
M1 vzdálené metastázy
Prognostické faktory:
- postižení uzlin
- hloubka invaze, angioinvaze
- plošná velikost léze
- lokalizace (kde, free margin – 1cm)
- histologický typ, grade (spinocelulární karcinom + varianty 90-94%, melanom 4-8%, adenokarcinom 1-2%)
- biologický stav pacientky

Preinvazivní, CIN, HPV infekce
Symptomatologie
Většinou asymptomatické léze, zvýšený výtok, častější infekce, postkoitální krvácení, krvácení po vyšetření..
Klinika
Diagnóza

Invazivní karcinom hrdla děložního: (průměrný věk: 51.4 let)
Symptomatologie
(Pretorius,R.:Gynecol Oncol,1991)
Krvácení z rodidel: 56%
Pozitivní cytologie: 28% (časnější stádia)
Bolest 9%
Výtok: 4%
Jiné symptomy: 4%
Falešná negativita cytologie v přítomnosti invazivního nádoru může být až 50%, takže negativní stěr u symptomatické pacientky by neměl vést k vyloučení léze. (Sasieni,PD:BrJCancer,1996)
Klinika
Diagnostika
Kolposkopie; Biopsie: punch biopsie, konizace, endocervikální kyretáž;
obligatorní: gyn.vyš., per rectum, labor., SCC, UZ ledvin, cystoskopie, MRI
Fakultativní: CT, lymfografie,rektoskopie, IVU
Staging

Dle FIGO: palpační vyš., kolposkopie, RTG S+P
- klinický staging: často nepřesný:
- GOG (Lagasse,LD,GynecolOncol,1980) 290pts chir. stagovaných; chyby: 24% IB až 67% IVA !!
- Většina pacientek je upstagovaných na základě chirurgického stagingu (metastázy v pánevních a paraaortálních uzlinách)
Diagnostické postupy:
- rozsah nádoru v hrdle (volumetrie)
- postižení stromatu
- postižení parametrií
- postižení lymfatických uzlin ?

Výhody chir. stagingu:
- Individualizace terapie – zlepšení výsledku
- LU negat. pacientky: redukce ozař. pole: redukce toxicity
- LU pos. pacientky: extendované ozař. pole (paraaortálně)
Nevýhody chir. stagingu:
- Náročný a drahý
- Zvýšení morbidity (lymfocysty, lymfedem, zvýšení postiradiačních komplikací)
- LU negativní pacientky „overtreatment“
Možnosti: laparoskopický staging, SLNI
Diagnostické postupy: zlepšení diagnostiky!!
- Důležité pro therap. management: fertilitu zach. operace!
- Rozsah nádoru: (Palpace: 23-64% , CT (nepřesný), MRI, US : 90%)
Stav lymmfatického aparátu:
- Bipedální lymfangiogram: přesnost 84.8%
- CT: (velikost, ne struktura: nad 1 cm) senz: 84.4%; Méně náročný, více informací než lymfogram
- US: zvětšení uzlin: omezené
- MRI: velikost tumoru, stupeň invaze, rozsah nádoru, stav lymfatického aparátu (velikost LU: 0.5cm); Staging MRI/CT: rozsah: 90%/50% , parametria: 94/76%, LU:86/86%
- PET: senz: 75%, spec: 92%
- Chirurgický staging lymf. aparátu: LT, LS

Prognostické faktory
stage - velikost nádoru, angioinvaze, (postižení LU, parametria)
5 leté přežití: I (85%), II(66%), III(39%), IV(11%)
pozitivita LU
- IA1 bez angioinvaze 0,01-0,1%
- IA1 s angioinvazí 1-2%
- IA2 bez angioioinvaze 1%
- IA2 s angioinvazí 5-7%
- IB1 15-20%
- IB2 25-55%
histologický typ (málo)
histologický grade (u adenoca)
Preinvazivní:
- hyperplázie
simplexní: u premenopauzálních, anovulační cykly, nízká malig
komplexní: peri a postmenop., má maligní potenciál (3-27 %)
atypická: vysoké riziko malig. ( 29-82 %)
- endometrální ca in situ
Klinika/symptomatologie: asymptomatické
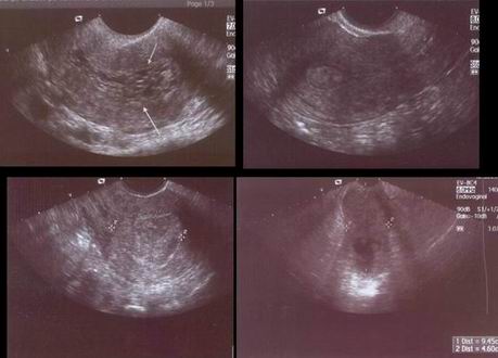
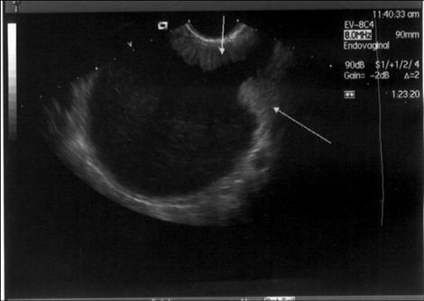
Diagnóza: ultrazvuk, biopsie
Uživatelky tamoxifenu: 2x zvýš. riziko karcinomu: unikátní US obraz: cysticky změněné endometrium s edémem stromatu (hyperplasie..overtreatment!)

Karcinom endometria - symptomy
U těchto pacientek by měl byt vyloučen karcinom endometria:
Klinika:
Estrogeny: HRT(E2), obezita, anovulace, estrogen-produkující nádory)
Protektivní účinek: antikoncepce, kouření
Často obézní, hypertensní, postmenopauzální pacientka (ale! 35% neobézních a bez známek hyperestrogenismu)
Vag. vyšetření: děloha (zvětšení), pochva, vulva, hrdlo (šíření, nebo jiné příčiny krvácení), rektovag. Vyšetření: parametria, vejcovody, ovaria, CD (meta, koexist. Ov. Tu: granulosa cell tu)
Diagnóza
Kyretáž!
Falešná negativita cca 10% u biopsie ( negativní biopsie u symptomatické pacientky- frakcionovaná kyretáž!!)
HS: neprokázal se přínos pro diagnostiku a je dražší!
Předoperační vyšetření:
US (základní metoda! – invaze, rozsah!)
Cystoskopie, rektoskopie
CT – při palp. Nebo US podezření na extrauterinní rozšíření, při ascitu
MRI – invaze: senz: 66%, paraaortální LU: jen 8% (málo efektivní!)
obligatorní: gyn.vyš., labor., TV UZ pánve, ledvin, cystoskopie, RTG S+P
fakultatativní: MRI, CT, CA125, IVU
Karcinom endometria – staging FIGO (klinický)
T1a omezen na endometrium IA
T1b invaze < 1/2 myometria IB
T1c invaze > 1/2 myometria IC
T2a endocervikální žlázky IIA
T2b cervikální stroma IIB
T3a seróza/adnexa/pozitivní lavage IIIA
T3b vaginální šíření IIIB
T4 šíření do sliznice měchýře/střeva IVA
N1 metastázy v regionálních uzlinách
M1 vzdálené metastázy IVB
Chir. staging: FIGO: 1988
- Neuniformní chir. staging:
- Periferní nemocnice
- Obesita kontraindikací dostatečné lymfadenektomie
- Časné stádia: bez lymfadenektomie, ale u některých jsou pozitivní LU
Prognostické faktory:
Věk (I stádium: přež: 40-50let:96%...70-80let: 53%)
Histologický typ (endometroidní92%, atypické(adenosk,ser. papil, clear cell): 33%)
Histologický grade (stage 1: meta: gr1:2.2%,gr2: 10.2%, gr3 39.0%)
Nukleární grade (nukl atypie: upgrading o 1)
Invaze do myometria (stage 1:meta: 1/3:10%, 1-2/3:11.8, 2/3: 39.4%)
Angioinvaze (VSI) (5leté přež: bez VSI:83.5%, VSI: 64.5%)
Velikost tumoru (LU meta: <2cm: 4%, >2cm: 15%, děl.d.: 35%)
Cytologie – lavage (nejčastěji u gr3, RR při pozitivitě: 3!)
Stav hormonálních receptorů (posit: delší přežití)
DNA ploidita (GOG: aneupl. nádory: RR: 4.1)
Pacientky ve stadiu I a okultním II s nutností chir. stagingu!
- Leze s grade 3
- Leze s grade 2 a více než 2 cm v průměru
- Adenoskvamózní, clear cell nebo papilárně serosní karcinom
- Invaze více než 50% myometria
- Tumor přesahuje cervikokorp. přechod
90% epiteliální nádory
Incidence: 56 let
Hereditární ovariální karcinom (5-10%)
- BRCA 1 (ch17) a BRCA 2 (ch13)
- Lynch II

Symptomatologie
Většina EOC je asymptomatických a v případě jejich rozvoje jsou většinou vágní a nespecifické
Časná stádia: u premenop: nepravidelná menses ? ; Z útlaku nádorem: urgence, zácpa, tlak, bolest, dyspareunie
Pokročilá: Ascites, meta omenta a střeva: zvětšení břicha, obstipace, nausea, meteorismus, kachexie
Diagnóza
Explorativní laparotomie!
Adnexální útvary
- Premenop. pacientky: bez susp. známek: intervaly ne více než 2 měsíce. Velikost je důležitá: více než 10 cm susp.
- Postmenop: všechny adnexální útvary jsou suspektní
vyšetření
- fyzikální vyšetření (30%)
- Zobrazovací metody: US diagnostika Senzitivita: 87 %, specificita: 67 % Ferrazi,1997, grey scale US, Doppler US ( 0.4 RI: 100 % senz. 96-99% spec.), jiné zobrazovací metody (nemá lepší výsledky), MRI, CT, PET…
- Tumor markery (CA 125, Makar 1993: 90% předoperačně, Monoklonální protilátky)
- Laboratoř, RTG S+P, IVU, US ledvin, US jater (při nálezu v JT)
- U pac. se symptomatologií neprav. krvácení: CP

Prognostické faktory
Patologické faktory
- Architektura, grade
- Histol. typ nemá prognostickou roli (mimo clear cell)
- Grade – velký stupeň interobserver a intraobserver variability
Biologické faktory
- Aneuploidie. Stage I diploidní: 5leté přež: 90%, aneupl: 60%
- Protoonkogeny: více než 100 protoonkogenů
Klinické faktory
- Objem ascitu, věk pacietky, performance status
staging Staging FIGO 1987
Důsledný chir. staging – odvíjí se od něj léčba a prognóza!
T1 nádor ohraničen na ovarium I
T1a ohraničen na 1 vaječník, pouzdro intaktní IA
T1b ohraničen na oba vaječníky, pouzdro intaktní IB
T1c ruptura pouzdra, nádor na povrchu, pos.ascites IC
T2 šíření v pánvi II
T2a děloha, tuba IIA
T2b ostatní pánevní tkáně IIB
T2c maligní buňky v ascitu IIC
T3
a/nebo N1 perit. metastázy mimo pánev
a/nebo meta v regionálních LU III
T3a mikroskopické metastázy na peritoneu IIIA
T3b makroskopické metastázy na peritoneu ≤2cm IIIB
T3c peritoneální metastázy >2cm
a/nebo N1 a/nebo metastázy v regionálních LU IIIC
M1 vzdálené meta IV
mladší populace (3.-5. decenium)
dobrá prognóza (záchyt v časných stádiích+relativně nízká rekurence)
fertilitu zachovávající operace ( mladé ženy + dobrá prognóza )
Diagnostika:
US!!
U nádorů LMP: (morfologie, flow, CA 125 )
- Alespoň jeden test abnormální: 93%
- 2 abnormální: 69 %
- 3 abnormální: 21 % Gotlieb 2000
Onemocnění vulvy
Preinvasivní léze: VIN: etiologie: HPV (16)
- U starších pacientek: unifokální léze - asociace s dystrofií, lichen sclerosus
- Mladší: spíše multifokální - HPV asociované
- Progrese 7 z 8 neošetřených do 8 let (Jones et al., Obst.-Gyn,1997)
Symptomatologie
- Více než 30% s VIN 3 symptomatických:
- Pruritus, pálení, bolest, dysurie (zhoršení při vyprazdňování), změny pigmentace, zduření
- Často i symptomatické pacientky přicházejí opožděně
- Většina VIN 3 lézí diagnostikována náhodně při jiném vyšetření
Klinika
- Vyvýšená léze, někdy papulární, bělavá (hyperkeratosa), růžová (zvýšená vaskularita), hnědavá (cca 10%: melanin v keratinizovaném dlaždicovém epitelu(melaninová inkontinence))
Diagnóza
- Kolposkopie (aplikace 5% aa) – „acetowhite“, vaskul. abnormity
- Definitivně: biopsie!
(cave: rozsáhlé kondylomatosní léze - asociované s 30% VIN3)
Karcinom vulvy
Invazivní léze (střední věk diagnózy: 65 let)
Symptómy
- Většina pacientek se dostaví s nálezem útvaru na vulvě, nebo vředu, někdy s dlouhou anamnézou pruritu, který je spojen s vulvární dystrofii
- Jiné známky: krvácení, výtok, dysurie, někdy velké metastatické ložisko v inguině vede k návštěvě lékaře
Klinika
- Vyvýšená léze, která může být exulcerovaná, s leukoplakií, někdy bradavičnatá. (bradavičité léze činí až 20% všech nádorů)
- Lokalizace: nejčastěji: labia maiora (66%), dále(33%): labia minora, clitoris, perineum (cca 5% multifokální)
- Vyšetření inguinálních uzlin základem!
- Vzhledem ke společné etiologii: cytologie a kolposkopie hrdla děložního a pochvy!
Diagnóza:
- Klínovitá biopsie (možné v lokální anestezii)
- Časté opoždění diagnózy především u exofytických lézí! (záměna s kondylomaty)
každá kondylomatosní léze by měla být před ablací ověřena biopticky!
Vyšetření:
- Obligatorní: biopsie, gyn.vyš., laboratoř
- Fakultativní: cystoskopie, UZ uzlin, MRI, rektoskopie
Šíření
- hlavně lymfatickým systémem
- většina drenována do inguin -superficiální-hluboké-iliaca
ext-..
- kříží se uprostřed
- z okolí anu přímo do pelvických LU
- málo vzdálených metastáz
- Celková incidence metastáz do LU: 30%
- Vzhledem na velikost: (Hacker,NF: Cancer
treat,1990)
Do 1cm: 5%
1-2 cm: 16%
2-4cm: 33%
Více než 4cm: 53%

Staging (FIGO, 1969)
T1 nádor ohraničen na vulvu a perineum do 2 cm I
T1a stromální invaze do 1mm IA
T1b invaze nad 1mm IB
T2 nádor ohraničen na vulvu, perineum, nad 2 cm II
T3 nádor se šíří na dolní část uretry, pochvu či anus III
T4 ke sliznici VU, horní uretru, rektu, kostem IV
N1 jednostranné meta v LU III
N2 oboustranné meta v LU IVA
M1 vzdálené metastázy
- Klinické hodnocení postižení lymfatických uzlin nepřesné ve 25-30%
- Chirurgický staging:
Lepší proti klinickému stagingu o 18% ve stádiu I až o 44% ve stádiu IV - Pacientky s negativními uzlinami mají výrazně lepší prognózu bez závislosti na velikosti primárního tumoru (více než 80%)
- Přežívání pacientek závisí od počtu postižených uzlin a tudíž III stádium představuje značně heterogenní skupinu (od negat. uzliny+ postižení uretry a vaginy s výbornou prognózou až po mnohočetné postižení inguinálních uzlin s velmi špatnou prognózou)
Prognostické faktory:
- postižení uzlin
- hloubka invaze, angioinvaze
- plošná velikost léze
- lokalizace (kde, free margin – 1cm)
- histologický typ, grade (spinocelulární karcinom + varianty 90-94%, melanom 4-8%, adenokarcinom 1-2%)
- biologický stav pacientky

Onemocnění hrdla děložního
Preinvazivní, CIN, HPV infekce
Symptomatologie
Většinou asymptomatické léze, zvýšený výtok, častější infekce, postkoitální krvácení, krvácení po vyšetření..
Klinika
- epitelová léze se známkami zhoubného nádoru bez invaze BM
znaky: porušení stratifikace, atypie b. jader, intaktní BM - RF: sexuální aktivita, STD, tabakismus, imunosuprese, HPV
16,18
průměrný věk prekancerózou: 34 let, s mica: 44 let - LG SIL spontánně regredují v 40-80 %,
- HG SIL regredují vzácně
Diagnóza
- Cervikální cytologie (Bethesda systém)
- Kolposkopie
- HPV testace

Karcinom hrdla děložního
Invazivní karcinom hrdla děložního: (průměrný věk: 51.4 let)
Symptomatologie
- Nepravidelné krvácení (v intermenstruu, postkoitální, kontaktní..)
- Často asymptomatický v časných stádiích (na rozdíl od ca endom)
- Sekundární infekce nádoru: páchnoucí fluor, vodnatý výtok
- V pokročilých stádiích: bolesti břicha, příznaky z invaze do moč. měchýře a střeva, výjimečně vesikovaginální fistule.
(Pretorius,R.:Gynecol Oncol,1991)
Krvácení z rodidel: 56%
Pozitivní cytologie: 28% (časnější stádia)
Bolest 9%
Výtok: 4%
Jiné symptomy: 4%
Falešná negativita cytologie v přítomnosti invazivního nádoru může být až 50%, takže negativní stěr u symptomatické pacientky by neměl vést k vyloučení léze. (Sasieni,PD:BrJCancer,1996)
Klinika
- Vyšetření: palpační gynekologické vyšetření, palpace třísel, supraklavikulární oblasti.
- In spec: exofytická, endofytická, exulcerovaná, polyposní léze
- Šíření na pochvu, palpace parametrií
- Vyšetření per rektum: velikost cervixu palpace parametrií!
Diagnostika
Kolposkopie; Biopsie: punch biopsie, konizace, endocervikální kyretáž;
obligatorní: gyn.vyš., per rectum, labor., SCC, UZ ledvin, cystoskopie, MRI
Fakultativní: CT, lymfografie,rektoskopie, IVU
Staging

Dle FIGO: palpační vyš., kolposkopie, RTG S+P
- klinický staging: často nepřesný:
- GOG (Lagasse,LD,GynecolOncol,1980) 290pts chir. stagovaných; chyby: 24% IB až 67% IVA !!
- Většina pacientek je upstagovaných na základě chirurgického stagingu (metastázy v pánevních a paraaortálních uzlinách)
Diagnostické postupy:
- rozsah nádoru v hrdle (volumetrie)
- postižení stromatu
- postižení parametrií
- postižení lymfatických uzlin ?

Výhody chir. stagingu:
- Individualizace terapie – zlepšení výsledku
- LU negat. pacientky: redukce ozař. pole: redukce toxicity
- LU pos. pacientky: extendované ozař. pole (paraaortálně)
Nevýhody chir. stagingu:
- Náročný a drahý
- Zvýšení morbidity (lymfocysty, lymfedem, zvýšení postiradiačních komplikací)
- LU negativní pacientky „overtreatment“
Možnosti: laparoskopický staging, SLNI
Diagnostické postupy: zlepšení diagnostiky!!
- Důležité pro therap. management: fertilitu zach. operace!
- Rozsah nádoru: (Palpace: 23-64% , CT (nepřesný), MRI, US : 90%)
Stav lymmfatického aparátu:
- Bipedální lymfangiogram: přesnost 84.8%
- CT: (velikost, ne struktura: nad 1 cm) senz: 84.4%; Méně náročný, více informací než lymfogram
- US: zvětšení uzlin: omezené
- MRI: velikost tumoru, stupeň invaze, rozsah nádoru, stav lymfatického aparátu (velikost LU: 0.5cm); Staging MRI/CT: rozsah: 90%/50% , parametria: 94/76%, LU:86/86%
- PET: senz: 75%, spec: 92%
- Chirurgický staging lymf. aparátu: LT, LS

Prognostické faktory
stage - velikost nádoru, angioinvaze, (postižení LU, parametria)
5 leté přežití: I (85%), II(66%), III(39%), IV(11%)
pozitivita LU
- IA1 bez angioinvaze 0,01-0,1%
- IA1 s angioinvazí 1-2%
- IA2 bez angioioinvaze 1%
- IA2 s angioinvazí 5-7%
- IB1 15-20%
- IB2 25-55%
histologický typ (málo)
histologický grade (u adenoca)
Karcinom endometria
Preinvazivní:
- hyperplázie
simplexní: u premenopauzálních, anovulační cykly, nízká malig
komplexní: peri a postmenop., má maligní potenciál (3-27 %)
atypická: vysoké riziko malig. ( 29-82 %)
- endometrální ca in situ
Klinika/symptomatologie: asymptomatické
Diagnóza: ultrazvuk, biopsie
Uživatelky tamoxifenu: 2x zvýš. riziko karcinomu: unikátní US obraz: cysticky změněné endometrium s edémem stromatu (hyperplasie..overtreatment!)
Onemocnění endometria

Karcinom endometria - symptomy
U těchto pacientek by měl byt vyloučen karcinom endometria:
- Všechny pacientky s postmenopauzálním krvácením
- Postmenopauzální pacientky s pyo/hematometrou
- Asymptomatické postmenopauzální pacientky s endometrálními
buňkami v cytologickém stěru
- Perimenopauzální pacientky s intermenstruačním krvácením a/nebo
s hypermenorrhoe (progresivní zhoršování menstr.
Krvácení)
- Premenopauzální pacientky s nepravidelným děložním krvácením, zvlášť s anovulací v anamnéze
Klinika:
Estrogeny: HRT(E2), obezita, anovulace, estrogen-produkující nádory)
Protektivní účinek: antikoncepce, kouření
Často obézní, hypertensní, postmenopauzální pacientka (ale! 35% neobézních a bez známek hyperestrogenismu)
Vag. vyšetření: děloha (zvětšení), pochva, vulva, hrdlo (šíření, nebo jiné příčiny krvácení), rektovag. Vyšetření: parametria, vejcovody, ovaria, CD (meta, koexist. Ov. Tu: granulosa cell tu)
Diagnóza
Kyretáž!
Falešná negativita cca 10% u biopsie ( negativní biopsie u symptomatické pacientky- frakcionovaná kyretáž!!)
HS: neprokázal se přínos pro diagnostiku a je dražší!
Předoperační vyšetření:
US (základní metoda! – invaze, rozsah!)
Cystoskopie, rektoskopie
CT – při palp. Nebo US podezření na extrauterinní rozšíření, při ascitu
MRI – invaze: senz: 66%, paraaortální LU: jen 8% (málo efektivní!)
obligatorní: gyn.vyš., labor., TV UZ pánve, ledvin, cystoskopie, RTG S+P
fakultatativní: MRI, CT, CA125, IVU
Karcinom endometria – staging FIGO (klinický)
T1a omezen na endometrium IA
T1b invaze < 1/2 myometria IB
T1c invaze > 1/2 myometria IC
T2a endocervikální žlázky IIA
T2b cervikální stroma IIB
T3a seróza/adnexa/pozitivní lavage IIIA
T3b vaginální šíření IIIB
T4 šíření do sliznice měchýře/střeva IVA
N1 metastázy v regionálních uzlinách
M1 vzdálené metastázy IVB
Chir. staging: FIGO: 1988
- Neuniformní chir. staging:
- Periferní nemocnice
- Obesita kontraindikací dostatečné lymfadenektomie
- Časné stádia: bez lymfadenektomie, ale u některých jsou pozitivní LU
Prognostické faktory:
Věk (I stádium: přež: 40-50let:96%...70-80let: 53%)
Histologický typ (endometroidní92%, atypické(adenosk,ser. papil, clear cell): 33%)
Histologický grade (stage 1: meta: gr1:2.2%,gr2: 10.2%, gr3 39.0%)
Nukleární grade (nukl atypie: upgrading o 1)
Invaze do myometria (stage 1:meta: 1/3:10%, 1-2/3:11.8, 2/3: 39.4%)
Angioinvaze (VSI) (5leté přež: bez VSI:83.5%, VSI: 64.5%)
Velikost tumoru (LU meta: <2cm: 4%, >2cm: 15%, děl.d.: 35%)
Cytologie – lavage (nejčastěji u gr3, RR při pozitivitě: 3!)
Stav hormonálních receptorů (posit: delší přežití)
DNA ploidita (GOG: aneupl. nádory: RR: 4.1)
Pacientky ve stadiu I a okultním II s nutností chir. stagingu!
- Leze s grade 3
- Leze s grade 2 a více než 2 cm v průměru
- Adenoskvamózní, clear cell nebo papilárně serosní karcinom
- Invaze více než 50% myometria
- Tumor přesahuje cervikokorp. přechod
Karcinom ovaria
90% epiteliální nádory
Incidence: 56 let
Hereditární ovariální karcinom (5-10%)
- BRCA 1 (ch17) a BRCA 2 (ch13)
- Lynch II

Symptomatologie
Většina EOC je asymptomatických a v případě jejich rozvoje jsou většinou vágní a nespecifické
Časná stádia: u premenop: nepravidelná menses ? ; Z útlaku nádorem: urgence, zácpa, tlak, bolest, dyspareunie
Pokročilá: Ascites, meta omenta a střeva: zvětšení břicha, obstipace, nausea, meteorismus, kachexie
Diagnóza
Explorativní laparotomie!
Adnexální útvary
- Premenop. pacientky: bez susp. známek: intervaly ne více než 2 měsíce. Velikost je důležitá: více než 10 cm susp.
- Postmenop: všechny adnexální útvary jsou suspektní
vyšetření
- fyzikální vyšetření (30%)
- Zobrazovací metody: US diagnostika Senzitivita: 87 %, specificita: 67 % Ferrazi,1997, grey scale US, Doppler US ( 0.4 RI: 100 % senz. 96-99% spec.), jiné zobrazovací metody (nemá lepší výsledky), MRI, CT, PET…
- Tumor markery (CA 125, Makar 1993: 90% předoperačně, Monoklonální protilátky)
- Laboratoř, RTG S+P, IVU, US ledvin, US jater (při nálezu v JT)
- U pac. se symptomatologií neprav. krvácení: CP

Prognostické faktory
Patologické faktory
- Architektura, grade
- Histol. typ nemá prognostickou roli (mimo clear cell)
- Grade – velký stupeň interobserver a intraobserver variability
Biologické faktory
- Aneuploidie. Stage I diploidní: 5leté přež: 90%, aneupl: 60%
- Protoonkogeny: více než 100 protoonkogenů
Klinické faktory
- Objem ascitu, věk pacietky, performance status
staging Staging FIGO 1987
Důsledný chir. staging – odvíjí se od něj léčba a prognóza!
T1 nádor ohraničen na ovarium I
T1a ohraničen na 1 vaječník, pouzdro intaktní IA
T1b ohraničen na oba vaječníky, pouzdro intaktní IB
T1c ruptura pouzdra, nádor na povrchu, pos.ascites IC
T2 šíření v pánvi II
T2a děloha, tuba IIA
T2b ostatní pánevní tkáně IIB
T2c maligní buňky v ascitu IIC
T3
a/nebo N1 perit. metastázy mimo pánev
a/nebo meta v regionálních LU III
T3a mikroskopické metastázy na peritoneu IIIA
T3b makroskopické metastázy na peritoneu ≤2cm IIIB
T3c peritoneální metastázy >2cm
a/nebo N1 a/nebo metastázy v regionálních LU IIIC
M1 vzdálené meta IV
- 30% nádorů bez zjevného šíření mimo pánev má okultní metastázy v břišní dutině nebo v paraaortálních uzlinách!
- Neadekvátní operace: původně stage I: 28% upstaging, původně stage II: 43% upstaging!
- Jakákoliv volná tekutina by měla být odeslána na cytologii
- V nepřítomnosti volné tekutiny: lavage!
- Systematické vyšetření povrchu peritonea v břiše
- Suspektní ložiska nebo adhese bioptovány
- Brániční stěry
- Infrakolická omentektomie
- Eplorace retroperitonea – zhodnocení LU: zvětšené extirpovány na histologii
- Explorace paraaortálních uzlin
Borderline nádory
mladší populace (3.-5. decenium)
dobrá prognóza (záchyt v časných stádiích+relativně nízká rekurence)
fertilitu zachovávající operace ( mladé ženy + dobrá prognóza )
Diagnostika:
US!!
U nádorů LMP: (morfologie, flow, CA 125 )
- Alespoň jeden test abnormální: 93%
- 2 abnormální: 69 %
- 3 abnormální: 21 % Gotlieb 2000
Datum přednesení příspěvku: 12. 6. 2004
