Konference: 2005 XII. Jihočeské onkologické dny
Kategorie: zhoubné nádory mozku a CNS
Téma: Konference bez tematických celků
Číslo abstraktu: 004
Autoři: Doc. MUDr. Ludmila Boudová, Ph.D.; Prof. MUDr. František Fakan, CSc. ; MUDr. Ivan Škůci; MUDr. Milan Choc; MUDr. Romuald Čuřík; MUDr. Martin Syrůček; MUDr. Gabriela Šimonová, CSc.; MUDr. Pavel Jindra, Ph.D.; MUDr. Kateřina Steinerová; MUDr. Šárka Hadravská; MUDr. Tomáš Svoboda, Ph.D.; MUDr. Ingrid Vášová; prof. MUDr. Jindřich Fínek, Ph.D., MHA; Prof.MUDr. Petr Mukenšnabl, Ph.D.; MUDr. Michal Michal
Histopatologická a klinická charakteristika. Problémy
diferenciální diagnózy
Materiály a metody
Soubor 70 lymfomů CNS vychází z materiálů dvou patologických
center: 49 konzultačních případů Šiklova patologického ústavu v
Plzni a 21 případ patologicko-anatomického oddělení nemocnice Na
Homolce. Histologická diagnóza byla stanovena ve stereotaktické
biopsii (36 případů), v resekátu mozku (30 případů), až při pitvě
(4 případy). K diagnostice byly použity běžné histochemické
techniky a imunohistochemie, v některých případech byly nutné
molekulárně biologické metody (vyšetření klonality B-buněk detekce
klonality přestavby genu pro těžký řetězec imunoglobulínu (IgH)
pomocí polymerázové řetězové reakce, PCR).
Výsledky
Mezi 70 lymfomy s postižením CNS jsme identifikovali 40 primárních lymfomů CNS a 4
případy sekundárního postižení, u 26 pacientů podrobnější klinické
údaje nebyly zjištěny.
Primární lymfomy CNS
V souboru primárních lymfomů jsou ženy (21) a muži (19) zastoupeni
zhruba rovnoměrně, s věkovým rozmezím 24-84 roky, medián 61 rok. U
3 pacientů s primárním lymfomem byl identifikován imunitní deficit
(HIV pozitivita -1; autoimunitní chorioretinitida léčená
kortikosteroidy -1; imunitní trombocytopenická purpura -1).
Klinická manifestace zahrnovala různé neurologické a psychiatrické
symptomy. V 54% byl nádor solitární, ve 46% multifokální.
Nejčastější lokalizací byly hemisféry velkého mozku. Jediný případ
měl lokalizaci v hrudní míše. Multifokální lymfom typicky
postihoval bazální ganglia, thalamus, periventrikulární oblast. V
jednom případě byla hlavní masa tumoru v dura mater a nádor
simuloval makroskopicky meningeom.
Diagnózy
U naprosté většiny primárních případů šlo o difúzní velkobuněčný
B-lymfom (DLBCL), dále: 1 Burkittův lymfom, 1 periferní T-lymfom,
NOS, vzácným nálezem byl 1 intravaskulární B-lymfom diagnostikovaný
v pitevním materiálu, v němž byla potvrzena klonalita B-buněk
pomocí PCR. Histologicky u DLBCL dominovala difúzní neohraničená
infiltrace mozkové tkáně s častými nekrózami a přítomností
perivaskulárních manžet se zmnoženým retikulinem. Vzácně byly
okraje infiltrátu ostré a připomínaly tak histologicky metastázu
karcinomu. Vyšetření mozkomíšního moku bylo dokumentováno ve 13
případech, vždy bez přítomnosti nádorových buněk.
Terapie, přežití
Terapie byla heterogenní (chemoterapie, radioterapie, resekce,
kombinace těchto přístupů). Přežití pacientů s primárním lymfomem
CNS není dobré, naprostá většina pacientů zemřela do 2 let na
progresi nebo relaps lymfomu (prům. 7 měs. od dg.), pouze 7
pacientů žije (2 měs. až 6 let od dg.; tato klinická data jsou k
dispozici u 28 pacientů).
Sekundární postižení
Ve 4 případech sekundárního postižení (origo lymfomu ve varleti 2,
v břišních lymfatických uzlinách 2) šlo rovněž o difúzní
velkobuněčný B-lymfom. K postižení CNS lymfomem s origem ve varleti
došlo u jednoho pacienta po čtyřech letech, u druhého po 4 měsících
od původní diagnózy; u pacientů s primárním origem v uzlinách se
objevila infiltrace CNS u jednoho po 4 měsících, u druhého po 2
letech od původní diagnózy. Tito pacienti zemřeli krátce po
diagnóze infiltrace CNS.
Stručný komentář pro praxi
Primární lymfomy centrálního nervového systému (CNS) jsou vzácné,
představují 1-7% všech intrakraniálních nádorů a zároveň 1% všech
nehodgkinských lymfomů. Primarita lymfomu v CNS je definována jako
absence lymfomu mimo CNS v době diagnózy.
Incidence primárních lymfomů mozku v poslední době stoupá, a to jak
u lidí s defekty imunity (především u pacientů s AIDS), tak i u
imunokompetentních osob (hlavně u starších pacientů). Klinické a
radiologické rysy lymfomů mozku jsou většinou necharakteristické, a
proto na diagnózu lymfomu často není klinicky pomýšleno. Obvykle se
tedy před bioptickým vyšetřením uvažuje o gliálním tumoru nebo o
metastáze. Histologická diagnóza by měla být stanovena za pomoci
imunohistochemie ve tkáni získané stereotaktickou biopsií.
Diagnostika v peroperační biopsii z pouhého základního
histologického barvení ve zmraženém řezu je obtížná a nemusí být
jednoznačná. Správná diagnóza je ale klíčová, neboť, na rozdíl od
jiných tumorů mozku, resekce zde nehraje roli v terapii (zvyšuje
morbiditu).
Závěr
Primární lymfomy CNS představují svébytnou klinickopatologickou
jednotku se špatnou prognózu, postihující typicky star-
ší lidi. Je nezbytné je odlišit především od maligních gliálních
tumorů a metastáz, které v tomto věku převládají, neboť vyžadují
jinou terapii. Základem léčby lymfomů CNS by měla být
chemoterapie.
Adresa pro korespondenci: MUDr. Ludmila Boudová, Ph. D.,
Šiklův patologický ústav, Fakultní nemocnice, Alej Svobody 80, 304
60 Plzeň
fax 37 710 4650, email: boudova@medima.cz
Literatura:
- DeAngelis, LM: Brain tumors. N Engl J Medicine 344, 2001:114-123
- Ferreri AJM et al: Prognostic scoring system for primary CNS lymphomas: the international extranodal lymphoma study group experience. J Clin Oncol 21, 2, 2003: 266-272
- Jaffe ES, Harris NL, Stein H,Vardiman JW (eds.). World Health Organization Classification of Tumours. Pathology and Genetics of Tumours of Haematopoietic and Lymphoid Tissues. Lyon, IARC Press, 2001.
- Kleihues P, Cavenee WK (eds.). World Health Organization Classification of Tumours. Pathology and Genetics of Tumoursof the Nervous System. Lyon, IARC Press, 2000.

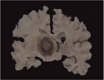
Obrázek 1.
Prokrvácený primární lymfom mozku infiltrace bazálních
ganglií.

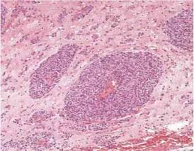
Obrázek 2.
Difúzní velkobuněčný B-lymfom: perivaskulární manžety a drobné
skupiny nádorových buněk v mozkové tkáni, která je ložiskově
prokrvácena
Datum přednesení příspěvku: 14. 10. 2005
