Konference: 2010 XVII. Jihočeské onkologické dny
Kategorie: Zhoubné gynekologické nádory
Téma: Varia
Číslo abstraktu: 025
Autoři: MUDr. Radovan Turyna; MUDr. Miroslav Verner
Úvod
Primární maligní melanom (MM) vulvy je druhý nejčastější zhoubný nádor zevních rodidel po karcinomu a nejčastější místo vzniku melanomu v gynekologii. Vzácně je primární výskyt zaznamenán v pochvě. V děložním hrdle bývá popisován pouze formou kazuistik. Raritní je vznik primárního MM v děložním těle [1].
Maligní melanom patří mezi nádory s vysokým potenciálem k vzdáleným metastázám a to i po dlouhé době latence (až desetiletí) [2].
Z extragenitálních metastáz do děložního těla má nejvyšší frekvenci karcinom prsu. Maligní melanom zaujímá pouze 3 % [3]. Viz graf č. 1.
Graf č. 1 Procentuální výskyt metastáz extragenitálních tumorů do děložního těla.
Metastázy extragenitálních tumorů do děložního těla

University of Michigan 1923-1980
Kumar,N.B. and W.R.Hart, Metastases to the uterine corpus from extragenital cancers. A clinicopathological study of 63 cases. Vancer, 1982.50(10):2163-9
Metastázy do děložního těla mají nejčastěji původ v primárním kožním nebo intraokulárním melanomu. Popsány jsou i metastázy z ložiska v tvrdém patře [4].
Naprostá většina metastáz MM v těle děložním je diagnostikována synchronně s jinými lokalitami, nejčastěji v játrech, dále pak v gastrointestinálním traktu, plicích, mozku, lymfatických uzlinách, kůži, ledvinách, kostní dřeni, štítné žláze, nadledvinkách a ováriích. Do roku 2006 bylo popsáno pouze 13 případů metastáz kožního MM v děložním těle [5]. Nejčastějším příznakem metastázy MM v děložním těle je nepravidelné krvácení v premenopauze nebo metroragie v postmenopauze. Popsán je rovněž případ masivního hemoperitonea 7 let od diagnózy primárního melanomu tvrdého patra s metastázami v plicích a na děložním fundu, které se projevilo po 3. cyklu kombinované chemoterapie [4].
Iniciální výskyt solitární metastázy MM do děložního těla jsme v literatuře našli pouze v jednom případě [6]. Jednalo se o kožní formu MM na levé dolní končetině (Clark III) u 61 leté pacientky. Doba ke vzniku recidivy byla 2 roky a prvním projevem bylo krvácení v postmenopauze. Za 4 měsíce od hysterektomie pro metastázu v endometriu se objevilo další osteolytické ložisko ve stydké kosti.
Metastáza MM choroidei do děložního těla byla popsána formou kazuistiky u 83leté pacientky s 3letou latencí po enukleaci bulbu a po adjuvantní radioterapii. Prvním příznakem byla metroragie v postmenopauze. Současný výskyt mnohočetných metastáz v játrech a kostech byl diagnostikován počítačovou tomografií. Pacientka zemřela za 2 měsíce od diagnózy [7].
Solitární metastázu MM choroidei do děložního těla jsme v literatuře dosud nenalezli. Vyhledání bylo provedeno v databázi Embase.com (Embase + Medline) v letech 1950–2010.
Kazuistika
51letá pacientka, quartigravida, secundipara s anamnézou enukleace bulbu levého oka pro melanom choroidei (stadium I) v roce 2008, podstoupila ve spádové nemocnici pro nepravidelné krvácení probatorní kyretáž dutiny děložní. Na základě histologického vyšetření materiálu získaného z dutiny děložní byl potvrzen maligním tumor, kdy se diferenciálně-diagnosticky uvažovalo o metastatickém maligním melanomu nebo smíšeném maligním Mülleriánském tumoru s melanocytární diferenciací (MMMT). MMMT nebo-li karcinosarkom s melanocytární diferenciací je v literatuře popsán pouze v jednom případě [8]. S doporučením k operačnímu řešení byla pacientka odeslána do ÚPMD.
Anamnesticky mimo enukleaci bulbu byla ve stejném roce provedena pro cervikální intraepiteliální neoplázii konizace hrdla. O rok později podstoupila laparoskopicky provedenou adnexektomii pro benigní cystu levého ovaria. Další anamnestická data nebyla ve vztahu k aktuálnímu onkologickému onemocnění podstatná.
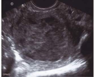
Při vstupním gynekologickém vyšetření před probatorní kyretáží byl shledán normální palpační nález. U pacientky po potvrzení maligního tumoru byla ještě ve spádové nemocnici provedena zbývající stagingová vyšetření. Při ultrazvukovém vyšetřením malé pánve a dutiny břišní byla popsána děloha velikosti 60 x 45 mm, kdy dutina děložní byla rozšířená na 30 mm obsahem smíšené echogenity a s výraznou cévní perfuzí. Viz obr. č. 1.
Nález na ostatních nitrobřišních orgánech byl normální. Na CT vyšetření malé pánve bylo v děložním fundu patrné kulovité nehomogenní ložisko 35 x 39 x 43 mm s patologickou vaskularizací. Viz obr. č. 2. Zachycené lymfatické uzliny v malé pánvi a obou tříslech nebyly zvětšené. Skiagram hrudníku a cystouretroskopie byly bez patologického nálezu. Kolonoskopie mimo drobných, histologicky ověřených, hyperplastických polypů byla rovněž negativní. Laboratorní vyšetření byla bez významných odchylek.
Obr. č. 1 Ultrazvukový obraz metastázy maligního melanomu choroidei v děložním těle.

Obr. č. 2
Patologická vaskularizace v metastáze maligního melanomu děložního těla.
Počítačová tomografie. Převzato se svolením CT pracoviště Nemocnice Česká Lípa.

V ÚPMD bylo ve shodě s ošetřujícím onkologem provedeno konzilium a doporučeno operační řešení. Pacientka podstoupila nekomplikovaný chirurgický výkon, při kterém byla provedena laváž dutiny břišní, odstraněna děloha, pravá adnexa a dále byla připojena pánevním lymfadenektomie. Serózy dutiny břišní a malé pánve nevykazovaly makroskopické postižení. Peroperačně nebyla na játrech hmatná léze, a rovněž uzliny v retroperitoneu byly palpačně negativní. V peroperačním histologickém vyšetření dělohy byla potvrzena metastáza melanomu do těla děložního. Následný pooperační průběh byl bez komplikací a pacientka byla 10. pooperační den propuštěna do domácího ošetřování.
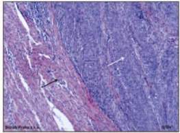
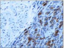
V definitivním preparátu patolog popsal makroskopicky dělohu velikosti 50 x 78 x 48 mm jejíž dutinu v celém rozsahu vyplňoval šedobělavý tumor tužší konzistence 31 x 35 x 30 mm s několika tmavými ložisky. Nádor vrůstal do děložní stěny, makroskopicky zůstal neporušený pouze 4 mm pruh myometria. Mikroskopicky se jednalo o nekrotický maligní solidně epiteloidně uspořádaný tumor, bez žlazových struktur, bez rohovění a bez příměsi případné heterogenní složky. Viz obr. č. 3 Fokálně byla patrná intracytoplazmatická hnědavá pigmentace. Nádor měl výrazné polymorfie, mitotická aktivita byla až 10 mitóz / 1HPF 40x. Nádor byl ovoidně uspořádaný, ale prorůstal do zastiženého úseku myometria přes polovinu síly stěny. Reziduum korporálního endometria bylo autolytické, rohy děložní a parametria byla bez nádoru, seróza děložní byla bez známek rozsevu. Provedené imunohistochemické vyšetření bylo pozitivní na přítomnost tyrosinázy a antigenu HMB45. Viz obr. č. 4. Pravá adnexa a získané lymfatické uzliny byly bez metastatického postižení. V cytologické laváži byly přítomny skupinky buněk s menšími, pravidelnými kulatými jádry, některé s bohatší cytoplazmou místy s polymorfními překrvajícími se jádry přes 15 m. Nález v laváží byl patologem hodnocen jako vysoce suspektní.
Nyní je pacientka v péči komplexního onkologického centra s plánovanou paliativní chemoterapií.
Obr. č. 3 Vpravo nádorová tkáň maligního melanomu, vlevo hladká svalovina myometria, barvení hematoxylinem eosinem, zvětšení 100x. Biolab Praha s.r.o.

Obr. č. 4 Imunohistochemický průkaz HMB 45 (melanocytární marker) - vpravo hnědé buňky nádoru,vlevo myometrium. Biolab Praha s.r.o.

Závěr
Prezentujeme vzácnou kazuistiku 51leté pacientky s primárním maligním melanomem choroidei a solitární metastázou do děložního těla za 2 roky od enukleace bulbu.
Literatura
Primární maligní melanom (MM) vulvy je druhý nejčastější zhoubný nádor zevních rodidel po karcinomu a nejčastější místo vzniku melanomu v gynekologii. Vzácně je primární výskyt zaznamenán v pochvě. V děložním hrdle bývá popisován pouze formou kazuistik. Raritní je vznik primárního MM v děložním těle [1].
Maligní melanom patří mezi nádory s vysokým potenciálem k vzdáleným metastázám a to i po dlouhé době latence (až desetiletí) [2].
Z extragenitálních metastáz do děložního těla má nejvyšší frekvenci karcinom prsu. Maligní melanom zaujímá pouze 3 % [3]. Viz graf č. 1.
Graf č. 1 Procentuální výskyt metastáz extragenitálních tumorů do děložního těla.
Metastázy extragenitálních tumorů do děložního těla

University of Michigan 1923-1980
Kumar,N.B. and W.R.Hart, Metastases to the uterine corpus from extragenital cancers. A clinicopathological study of 63 cases. Vancer, 1982.50(10):2163-9
Metastázy do děložního těla mají nejčastěji původ v primárním kožním nebo intraokulárním melanomu. Popsány jsou i metastázy z ložiska v tvrdém patře [4].
Naprostá většina metastáz MM v těle děložním je diagnostikována synchronně s jinými lokalitami, nejčastěji v játrech, dále pak v gastrointestinálním traktu, plicích, mozku, lymfatických uzlinách, kůži, ledvinách, kostní dřeni, štítné žláze, nadledvinkách a ováriích. Do roku 2006 bylo popsáno pouze 13 případů metastáz kožního MM v děložním těle [5]. Nejčastějším příznakem metastázy MM v děložním těle je nepravidelné krvácení v premenopauze nebo metroragie v postmenopauze. Popsán je rovněž případ masivního hemoperitonea 7 let od diagnózy primárního melanomu tvrdého patra s metastázami v plicích a na děložním fundu, které se projevilo po 3. cyklu kombinované chemoterapie [4].
Iniciální výskyt solitární metastázy MM do děložního těla jsme v literatuře našli pouze v jednom případě [6]. Jednalo se o kožní formu MM na levé dolní končetině (Clark III) u 61 leté pacientky. Doba ke vzniku recidivy byla 2 roky a prvním projevem bylo krvácení v postmenopauze. Za 4 měsíce od hysterektomie pro metastázu v endometriu se objevilo další osteolytické ložisko ve stydké kosti.
Metastáza MM choroidei do děložního těla byla popsána formou kazuistiky u 83leté pacientky s 3letou latencí po enukleaci bulbu a po adjuvantní radioterapii. Prvním příznakem byla metroragie v postmenopauze. Současný výskyt mnohočetných metastáz v játrech a kostech byl diagnostikován počítačovou tomografií. Pacientka zemřela za 2 měsíce od diagnózy [7].
Solitární metastázu MM choroidei do děložního těla jsme v literatuře dosud nenalezli. Vyhledání bylo provedeno v databázi Embase.com (Embase + Medline) v letech 1950–2010.
Kazuistika
51letá pacientka, quartigravida, secundipara s anamnézou enukleace bulbu levého oka pro melanom choroidei (stadium I) v roce 2008, podstoupila ve spádové nemocnici pro nepravidelné krvácení probatorní kyretáž dutiny děložní. Na základě histologického vyšetření materiálu získaného z dutiny děložní byl potvrzen maligním tumor, kdy se diferenciálně-diagnosticky uvažovalo o metastatickém maligním melanomu nebo smíšeném maligním Mülleriánském tumoru s melanocytární diferenciací (MMMT). MMMT nebo-li karcinosarkom s melanocytární diferenciací je v literatuře popsán pouze v jednom případě [8]. S doporučením k operačnímu řešení byla pacientka odeslána do ÚPMD.
Anamnesticky mimo enukleaci bulbu byla ve stejném roce provedena pro cervikální intraepiteliální neoplázii konizace hrdla. O rok později podstoupila laparoskopicky provedenou adnexektomii pro benigní cystu levého ovaria. Další anamnestická data nebyla ve vztahu k aktuálnímu onkologickému onemocnění podstatná.
Při vstupním gynekologickém vyšetření před probatorní kyretáží byl shledán normální palpační nález. U pacientky po potvrzení maligního tumoru byla ještě ve spádové nemocnici provedena zbývající stagingová vyšetření. Při ultrazvukovém vyšetřením malé pánve a dutiny břišní byla popsána děloha velikosti 60 x 45 mm, kdy dutina děložní byla rozšířená na 30 mm obsahem smíšené echogenity a s výraznou cévní perfuzí. Viz obr. č. 1.
Nález na ostatních nitrobřišních orgánech byl normální. Na CT vyšetření malé pánve bylo v děložním fundu patrné kulovité nehomogenní ložisko 35 x 39 x 43 mm s patologickou vaskularizací. Viz obr. č. 2. Zachycené lymfatické uzliny v malé pánvi a obou tříslech nebyly zvětšené. Skiagram hrudníku a cystouretroskopie byly bez patologického nálezu. Kolonoskopie mimo drobných, histologicky ověřených, hyperplastických polypů byla rovněž negativní. Laboratorní vyšetření byla bez významných odchylek.
Obr. č. 1 Ultrazvukový obraz metastázy maligního melanomu choroidei v děložním těle.

Obr. č. 2
Patologická vaskularizace v metastáze maligního melanomu děložního těla.
Počítačová tomografie. Převzato se svolením CT pracoviště Nemocnice Česká Lípa.

V ÚPMD bylo ve shodě s ošetřujícím onkologem provedeno konzilium a doporučeno operační řešení. Pacientka podstoupila nekomplikovaný chirurgický výkon, při kterém byla provedena laváž dutiny břišní, odstraněna děloha, pravá adnexa a dále byla připojena pánevním lymfadenektomie. Serózy dutiny břišní a malé pánve nevykazovaly makroskopické postižení. Peroperačně nebyla na játrech hmatná léze, a rovněž uzliny v retroperitoneu byly palpačně negativní. V peroperačním histologickém vyšetření dělohy byla potvrzena metastáza melanomu do těla děložního. Následný pooperační průběh byl bez komplikací a pacientka byla 10. pooperační den propuštěna do domácího ošetřování.
V definitivním preparátu patolog popsal makroskopicky dělohu velikosti 50 x 78 x 48 mm jejíž dutinu v celém rozsahu vyplňoval šedobělavý tumor tužší konzistence 31 x 35 x 30 mm s několika tmavými ložisky. Nádor vrůstal do děložní stěny, makroskopicky zůstal neporušený pouze 4 mm pruh myometria. Mikroskopicky se jednalo o nekrotický maligní solidně epiteloidně uspořádaný tumor, bez žlazových struktur, bez rohovění a bez příměsi případné heterogenní složky. Viz obr. č. 3 Fokálně byla patrná intracytoplazmatická hnědavá pigmentace. Nádor měl výrazné polymorfie, mitotická aktivita byla až 10 mitóz / 1HPF 40x. Nádor byl ovoidně uspořádaný, ale prorůstal do zastiženého úseku myometria přes polovinu síly stěny. Reziduum korporálního endometria bylo autolytické, rohy děložní a parametria byla bez nádoru, seróza děložní byla bez známek rozsevu. Provedené imunohistochemické vyšetření bylo pozitivní na přítomnost tyrosinázy a antigenu HMB45. Viz obr. č. 4. Pravá adnexa a získané lymfatické uzliny byly bez metastatického postižení. V cytologické laváži byly přítomny skupinky buněk s menšími, pravidelnými kulatými jádry, některé s bohatší cytoplazmou místy s polymorfními překrvajícími se jádry přes 15 m. Nález v laváží byl patologem hodnocen jako vysoce suspektní.
Nyní je pacientka v péči komplexního onkologického centra s plánovanou paliativní chemoterapií.
Obr. č. 3 Vpravo nádorová tkáň maligního melanomu, vlevo hladká svalovina myometria, barvení hematoxylinem eosinem, zvětšení 100x. Biolab Praha s.r.o.

Obr. č. 4 Imunohistochemický průkaz HMB 45 (melanocytární marker) - vpravo hnědé buňky nádoru,vlevo myometrium. Biolab Praha s.r.o.

Závěr
Prezentujeme vzácnou kazuistiku 51leté pacientky s primárním maligním melanomem choroidei a solitární metastázou do děložního těla za 2 roky od enukleace bulbu.
Literatura
- Varras, M., et al., Ultrasonographic evaluation of a uterine
malignant melanoma presenting as a large pelvic mass. J Clin
Ultrasound, 2005. 33(8): p. 424–6.
- Shields, J.A., et al., Hepatic metastasis and orbital
recurrence of uveal melanoma after 42 years. Am J Ophthalmol, 1985.
100(5): p. 666–8.
- Kumar, N.B. and W.R. Hart, Metastases to the uterine corpus
from extragenital cancers. A clinicopathologic study of 63 cases.
Cancer, 1982. 50(10): p. 2163–9.
- Marschall, J., R.S. Kennedy, and R. Kanthan, Nontraumatic
massive hemoperitoneum from melanoma metastatic to the uterus. Can
J Surg, 2002. 45(6): p. 461–2.
- McGettigan, C.P., et al., Malignant melanoma of the uterus
diagnosed at hysteroscopy. J Obstet Gynaecol, 2006. 26(4): p.
383–5.
- Wood, C., Metastatic melanoma simulating a primary endometrial
tumor. Am J Obstet Gynecol, 1978.131(7): p. 820–1.
- Coutts, M.A., et al., Post-menopausal bleeding: a rare
presentation of metastatic uveal melanoma. Pathol Oncol Res, 2006.
12(3): p. 184–7.
- Kajo, K., et al., Carcinosarcoma of the uterus with melanocytic differentiation. Pathol Res Pract, 2007.203(10): p. 753–8
Datum přednesení příspěvku: 16. 10. 2010
