Konference: 2012 XIX. Jihočeské onkologické dny
Kategorie: Onkologická diagnostika
Téma: Patologie
Číslo abstraktu: 06
Autoři: Prof. MUDr. Alena Skálová, CSc.
Histologická strukturální a cytologická variabilita je jedním z hlavních znaků salivárních karcinomů. Dříve byly nádorové jednotky převážně definovány histomorfologickými, imunohistochemickými a ultrastrukturálními nálezy(1). Nověji se k nim připojuji více či méně specifické molekulárně genetické abnormality, jejichž detekce v nedávné době přispěla ke zpřesnění starých a definování nových jednotek v klasifikaci nádorů slinných žláz(2, 3).
V poslední době byly identifikovány specifické translokace významné v diagnostice a predikci prognózy u čtyř karcinomů slinných žláz. Prvním z nich je sekreční karcinom mamárního typu (v angličtině mammary analogue secretory carcinoma MASC). Jde o nově identifikovaný karcinom slinných žláz podobný sekrečnímu karcinomu prsu, který nese identickou translokaci t (12;15) ETV6/NTRK3, která ho definuje(4). Druhým je hyalinizující světlobuněčný karcinom malých slinných žláz, s nově identifikovanou diagnostickou specifickou translokací t (12;22) EWSR1/ATF1(5). Třeíim je mukoepidermoidní karcinom, kde průkaz translokace t (11;19)(q21;p13) CRTC1-MAML2 (synonymum MECT1-MAML2) je spojen s příznivou prognózou(6) a ve sporných případech může mít i diferenciálě diagnostický význam, například při identifikaci onkocytární nebo světlobuněčné varianty mukoepidermoidního karcinomu(7). Poslední jednotkou je adenoidně cystický karcinom, u něhož byla nedávno prokázána translokace t (6;9) MYB/NFIB, jejíž detekce svědčí pro agresivní chování karcinomu(8).
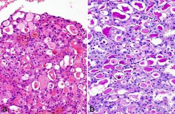
Sekreční karcinom slinných žláz mamárního typu (MASC) je nově popsaný karcinom slinných žláz, častější u žen, s afinitou k parotis, ale vyskytující se i v malých slinných žlázách dutiny ustní a v submandibulární žláze. Histologicky je MASC low grade karcinom, tvořený solidně mikrocystickými strukturami s typickou abundánní homogenní sekreční aktivitou (obr. 1).

Obr. 1. Histologická struktura sekrečního karcinomu mamárního typu (MASC)
Cytologicky je MASC uniformní, sestávající z malých buněk s nízkou mitotickou aktivitou, ale zpravidla vykazuje invazivní růst, a má potenciál k recidivám a metastazování. V nádorové tkáni MASC jsme prokázali konstantní přítomnost translokace t (12;15) s fúzním genem ETV6-NTRK3 (obr. 2), zatímco u všech ostatních typů nádorů slinných žláz byla tato analýza negativní (více než 100 případů).

Obr. 2. Analýza ETV6/NTRK3 fúzního genu v MASC.
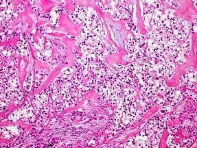
Hyalinizující světlobuněčný karcinom je vzácný low grade karcinom, častější u žen, s afinitou k malým slinným žlázám, který představuje méně než 2 % všech salivárních karcinomů. Na základě histomorfologie a imunofenotypu, byl dosud nádor dle WHO 2005 vágně definován jako variant světlobuněčného karcinomu NOS. Histologicky je charakterizovaný proliferací polygonálních buněk s objemnou vodojasnou cytoplasmou bohatou na glykogen a s prominující hyalinizací širokých vazivových sept. Jádra nádorových buněk jsou centrálně umístěná a vykazují jen mírnou polymorfii (obr. 3).

Obr. 3. Histologická struktura hyalinizujícího karcinomu malých slinných žláz.
V
recentní studii Antonescu et al.(5) prokázali v
hyalinizujícím světlobuněčném karcinomu slinných žláz translokaci t
(12;22), která vede k fúznímu transkriptu EWSR1/ATF1. FISH metoda
prokazuje zlom v genu EWRS1, který je translokován(5).
Mimo slinné žlázy se EWSR1/ATF1 fúzní gen vyskytuje v mnoha
dalších
nádorech, např. ve světlobuněčném sarkomu měkkých tkání, v
angiomatoidním fibrozním histiocytomu, a v neuroektodermovém nádoru
gastrointestinálního traktu, podobném světlobuěnčnému sarkomu
měkkých tkání, kde může být fuzním partnerem místo AFT1, gen CREB1.
Všechny tyto fuzní produkty jsou velmi úspěšnými iniciátory
karcinogeneze v nejrůznějších tkáních(5).
Mukoepidermoidní karcinom je jedním z nejčastějších karcinomů
velkých i malých slinných žláz, u dětí i dospělých. Grading je
obecně založen na cytologických a strukturálních znacích, ale na
kriteriích a jejich přesné aplikaci není shoda, navrženo několik
gradingových systémů. Pro nízce maligní mukoepidermoidní karcinom
svědčí převaha cystických struktur a mucinozních buněk nad
solidními ložisky, dále absence vaskulární a perineurální invaze a
nekróz. Zcela zásadním byl objev translokace t
(11;19)(q21;p13), která vede k fúzi genu MECT1 (MEC translocated -
1), také známý jako CRTC1 s genem MAML2 (master-mind like 2) (obr.
4).

Obr. 4. Analýza fúzních genů CRTC1-MAML2 a CRTC3-MAML2 v mukoepidermoidním karcinomu slinných žláz.
Tato translokace byla prokázána až v 55 - 75 % low grade mukoepidermoidních karcinomů, poměrně překvapivě také až v 56 % high grade mukoepidermoidních karcinomů. Translokované karcinomy mají příznivější prognózu i když mají high grade morfologii u rizikových pacientů(9). CTRC3-AML2 se vyskytuje častěji u mladých pacientů a znamená příznivou prognózu(10).
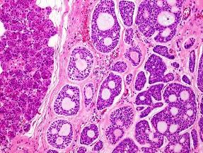
Adenoidně cystický karcinom je velmi častá varianta salivárního karcinomu, vyskytující se jak ve velkých tak malých slinných žlázách (obr. 5).

Obr. 5. Histologická struktura adenoidně cystického karcinomu.
Klinicky je adenoidně cystický karcinom u většiny pacientů pomalu rostoucím, ale těžce zvládnutelným a úporně recidivujícím nádorem, který se typicky manifestuje pozdními vzdálenými metastázami(1). Posledním významným objevem v molekulární biologii salivárních karcinomů je detekce rekurentní chromosomální translokace t(6;9) která generuje fúzní transkript MYB-NFIB(8). MYB protein může být použit v diferenciální diagnoze a ukazuje se též jako negativní prediktor chování adenoidně cystického karcinomu(11).
Reference:
- Barnes L, Eveson J, Reichart P, Sidransky D, eds. World Health Organization classification of tumours Pathology and genetics of head and neck tumours. Lyon: IARC Press, 2005.
- Skalova A, Vanecek T, Simpson RHW, Michal M.
Molecular advances in salivary gland pathology and their practical
application, Diagnostic Histopathology (2012),
http://dx.doi.org/10.1016/j.mpdhp.2012.08.002 - McCord C, Weinreb I, Perez-Ordonez B. Progress in salivary gland pathology: new entties and selected molecular features. Diagnostic Histopathology 2012: 18 (6):253-260.
- Skalova A, Vanecek T, Sima R, Laco J, Weinreb I, Perez-Ordonez B, Starek I, Geierova M, Simpson RHW, Passador-Santos F, Ryska A, Leivo I, Kinkor Z, Michal M. Mammary analogue secretory carcinoma of salivary glands, containing the ETV6-NTRK3 fusion gene: a hitherto undescribed salivary gland tumor entity. Am J Surg Pathol 2010; 34: 599-608.
- Antonescu C, Katabi N, Zhang L, et al. EWSR1-ATF1 fusion is a novel and consistent finding in hyalinizing clear-cell carcinoma of salivary glands. Genes Chromosomes Cancer 2011:50:559-70.
- Behboudi A, Enlund F, Winnes M, Andrén Y, Nordkvist A, Leivo I, Flaberg E, Szekely L, Mäkitie A, Grenman R, Mark J, Stenman G. Molecular classification of mucoepidermoid carcinomas-prognostic significance of the MECT1-MAML2 fusion oncogene._ Genes Chromosomes Cancer 2006; 45: 470-481.
- Garcia JJ, Hunt JL. Weinreb I, McHugh JB, Barnes LE, Cieply K, Dacic S, Seethala RR. Fluorescence in situ hybridization for detection of MAML2 rearranagements in oncocytic mucoepidermoid carcinomas: utility as a diagnostic test. Hum Pathol 2011; 42: 2001-2009.
- Persson M, Andrén Y, Mark J, Horlings HM, Persson F, Stenman G. Recurrent fusion of MYB and NFIB transcription factor genes in carcinomas of the breast and head and neck._Proc Natl Acad Sci U S A 2009; 106: 18740-18744.
- Seethala RR, Dacic S, Cieply K, Kelly LM, Nikiforova MN. A reappraisal of the MECT1/MAML2 translocation in salivary mucoepidermoid carcinomas. Am J Surg Pathol 2010; 34: 1106-1121.
- Nakayama T, Miyabe S, Okabe M, et al. Clinicopathological significance of the CRTC3-MAML2 fusion transcript in mucoepidermoid carcinoma. Modern Pathol 2009; 22: 1575-1581.
- West RB, Kong C, Clarke N, Gilks T, Lipsick JS, Cao H, Kwok S, Montgomery KD, Varma S, Le QT. MYB expression and translocation in adenoid cystic carcinomas and other salivary gland tumors with clinicopathologic correlation. Am J Surg Pathol 2011; 35: 92-99.
Datum přednesení příspěvku: 19. 10. 2012
