Konference: 2005 XII. Jihočeské onkologické dny
Kategorie: Nádory hlavy a krku
Téma: Postery
Číslo abstraktu: P012
Autoři: doc. MUDr. Marie Ludvíková, Ph.D.; Prof. MUDr. Ondřej Topolčan, CSc.; MUDr. Ivana Kholová, Ph.D.; MUDr. Marie Rydlová; Doc. MUDr. Luboš Holubec (jr.), Ph.D., MBA
Diferenciální diagnóza tyreoidálních nodulů představuje v rutinní cytologické a histopatologické praxi potenciální problém. Většina prognostických a diagnostických nesnází je výsledkem neobvyklých morfologických kritérií malignity u dobře diferencovaných tyreoidálních tumorů. Histologická detekce kapsulární a/nebo vaskulární invaze (která je základním kritériem k odlišení folikulárního adenomu od karcinomu), stejně jako zhodnocení jaderných charakteristik typických pro papilokarcinom mohou být velmi obtížné a nejednoznačné. V interpretaci těchto morfologických diagnostických znaků existuje značná variabilita a subjektivita (Kakudo et al 2000, Williams 2000). Z tohoto důvodu je v poslední době velká pozornost věnována přínosu nádorových markerů pro redukci nejasných morfologických diagnóz Cílem prezentace je na základě literárních i osobních zkušeností poskytnout přehled tkáňových nádorových markerů v tyreoidální patologii a upozornit na jejich praktické využití v diagnostickém procesu.
Výsledky
Ve štítné žláze byly dosud testovány různé diagnostické i prognostické nádorové markery, avšak pro rutinní diferenciaci mezi nenádorovými a nádorovými noduly (benigními a maligními) z folikulárních buněk jsou s výhradami vhodné pouze některé z nich (Raphael 2002).
Diagnostické tyreoidální markery se dělí do následujících kategorií:
- tkáňově specifické markery (determinují histogenetický původ nádorových buněk; např. tyreoglobulin-TG, tyreoidální transkripční faktor-TTF1, lidská tyreoidální peroxidáza-TPO)
- nádorově specifické markery (slouží k diskriminaci mezi benigními a maligními nádory)
Nejčastější diagnostické a prognostické markery studované dosud v tyreoidálních nodulech (na tkáňových vzorcích nebo aspirátech) jsou sumarizovány v Tab. 1 (Katoh et al 2000, Kholová et al 2002, 2003, 2004, Ludvíková et al 2005, Papotti et al 2005). Distribuce tkáňově a nádorově specifických molekulárních markerů v různých histologických typech tyreoidálních nádorů je uvedena v Tab 2.
Většina tyreoidálních nádorových markerů odráží různé procesy v nádorové transformaci folikulárních a papilárních karcinomů. Podle vícestupňové teorie karcinogeneze jsou folikulární karcinomy generovány z folikulárních adenomů, zatímco papilokarcinomy jsou odvozeny přímo z transformovaných normálních tyreocytů (Obr. 1 Tallini 2002, Takano 2004).
Multicentrické studie nádorových markerů byly zklamáním a většinou ukázaly diagnostické a prognostické limitace těchto markerů v důsledku chybění signifikantní senzitivity a/nebo specificity. Z pohledu rutinní praxe je ovlivněno zavedení nádorového markeru do diagnostického procesu metodologickými problémy a biologickou variabilitou. Zcela uspokojivý tyreoidální nádorový marker nebyl dosud nalezen, avšak použití celého panelu markerů zvyšuje specificitu a prediktivní význam a může tak být nápomocno v řešení diagnostických dilemat. Imunohistochemický profil a jeho úloha v diagnóze vybraných nádorů štítné žlázy je prezentován na Obr. 2-4.
Závěry
- Morfologické diagnostické přístupy nejsou vždy dostačující k
diferenciaci mezi benigními a maligními folikulárními nádory,
folikulárním nádorem a folikulární variantou papilokarcinomu, či
nádorovými a hyperplastickými papilami. Ve snaze o zpřesnění
diagnózy jsou studovány různé markery.
- Nádory štítné žlázy reprezentují klinické a histopatologické
spektrum. Exprese nádorových markerů v nich reflektuje kontinuitu v
procesu karcinogeneze a umožň uje nám pochopit patobiologii
nádorů.
- Dostupné tyreoidální markery mají limitovaný diagnostický
význam a mohou být rutinně použity jako pomocný diagnostický marker
pouze současně v rámci celého panelu nádorových markerů.
- Morfologická diagnostická kritéria tyreoidálních tumorů
zůstávají zlatým standardem.
- Magický biomarker k odlišení benigních a maligních nádorů štítné žlázy čeká dosud na odhalení, existuje-li ovšem vůbec.

Vysvětlivky: TSH-R, receptor tyreoidálního stimulačního hormonu; TG, tyreoglobulin; TPO, tyreoidální peroxidáza; TTF1, tyreoidální transkripční faktor 1; PAX-8, specifický transkripční faktor activující promotor pro TG a TPO; PCNA, jaderný antigen proliferujících buněk; TGF-?, transformující růstový faktor; VEGF, vaskulární endoteliální růstový faktor; DPPIV, dipeptidylaminopeptidáza IV; NCAM (CD56), adhezní molekula; CK19, cytokeratin 19; CEA, karcinoembryonální antigen.
Obr. 1: Vícestupňová kancerogeneza tyreoidálních nádorů

Obr. 2 Papilární mikrokarcinom

A Nádor má papilární architektoniku a typické jaderné projasnění (hematoxylin&eosin, x200); B Nádorové buň ky vykazují jadernou imunopozitivitu TTF-1 (immunoperoxidase, x200); C Difúzní cytoplazmatická exprese galectinu-3 v nádorových buňkách (ve srovnání s negativitou normálních peritumorálních foliklů štítné žlázy)(immunoperoxidáza, x200); D, E Karcinomové buň ky jsou TPO a CD56 imunonegativní, zatímco nenádorové folikulární buňky jsou silně pozitivní (immunoperoxidáza, x200).
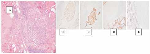
Obr. 3 Folikulární varianta papilárního karcinomu

ANádor je složený z nepravidelných foliklů s prořídlým koloidem (hematoxylin&eosin, x100); BFolikly jsou lemovány buňkami se světlými jádry typickými pro papilokarcinom (hematoxylin&eosin, x200); CSilná cytoplazmatická pozitivita nádorových buněk na CK-19 (immunoperoxidáza, x200); D Pozitivita galectinu-3 v nádorových buňkách (immunoperoxidáza, x400). E Aspirát z papilárního karcinomu ukazuje DPPIV pozitivitu (histochemie).
Obr. 4 Medulární karcinom štítné žlázy

A, B Nádorový uzel je zčásti opouzdřený s histologickým vzhledem připomínajícím folikulární tumor (hematoxylin&eosin, x200, x400); C Nádorové buňky mají kulatá nebo oválná jádra s hrubým chromatinem. Příležitostně jsou jádra zvětšená a hyperchromní (hematoxylin&eosin,x400); D Nádorové buňky jsou imunopozitivní na kalcitonin (immunoperoxidáza, x200); E,F TG je v nádorových buňkách negativní, peritumorální tyreoidální tkáň je pozitivní (immunoperoxidáza, x200).
Literatura
- Kakudo K, Katoh R, Sakamoto A, Asa S, DeLellis R, Carney JA,
Naganuma H, Kameyama K, Takami H: Thyroid gland: international case
conference. Endocrine Pathology 2002; 13: 131-134.
- Katoh R, Kawaoi A, Miyagi E, Li X, Suzuki K, Nakamura Y, Kakudo
K: Thyroid transcription factor-1 in normal, hyperpplastic, and
neoplastic follicular thyroid cells examinated by
immunohistochemistry and nonradioactive in situ hybridization. Mod
Pathol 2000; 13: 570-576.
- Kholová I, Ryška A, Ludviková M, Čáp J, Pecen L: Dipeptidyl
peptidase IV expression in thyroid cytology: retrospective
histologically confirmed study. Cytopathology 2003; 14(1):
27-31.
- Kholová I, Ryška A, Ludvíková M, Čáp J: Thyroid peroxidase in
thyroid gland differential diagnosis. The marker of malignancy or
differentiation? Čes-slov Patol 2004, 40, 18-21.
- Kholová I, Ludvíková M, Ryška A, Topolčan O, Pikner R, Pecen L,
Čáp J, Holubec L Jr: Diagnostic role of markers dipeptidyl
peptidase IV and thyroid peroxidase in thyroid tumors. Anticancer
Res 2003; 23 (2A):871-875.
- Ludvíková M, Holubec L Jr, Ryška A, Topolčan O: Proliferative
markers in diagnosis of thyroid tumors: a komparative study of
MIB-1 and topoisomerase II-? immunostaining. Anticancer Research
2005; 25: 1835-1840.
- Papotti M, Rodriguez J, De Pompa R, Bartolazzi A, Rosai J:
Galectin-3 and HBME-1 expression in well-differentiated thyroid
tumors with follicular architecture of uncertain malignant
potential. Modern Pathology 2005; 18: 541-546.
- Raphael SJ: The meanings of markers: anciliary techniques in
diagnosis of thyroid neoplasia. Endocrine Patology 2002; 13:
301-311.
- Takano T: Fetal cell carcinogenesis of the thyroid: a hypothesi
for Berger understanding of gene expression profile and genomic
alteration in thyroid carcinoma. Endocrine Journal 2004; 51 (6):
509-515.
- Tallini G: Molecular pathobiology of thyroid neoplasms.
Endocrine Patology 2002; 13: 271-288.
- Williams ED: Two proposals regarding the terminology of thyroid
tumors. Int J Surg Pathol 2000; 8: 181-183.
Práce byla podpořena výzkumným úkolem MSM-VZ 0021620819
Datum přednesení příspěvku: 15. 10. 2005
