Konference: 2010 XVII. Jihočeské onkologické dny
Kategorie: Zhoubné gynekologické nádory
Téma: Postery
Číslo abstraktu: p09
Autoři: MUDr. Oldřich Louthan (-2014)
Úvod
Incidence neuroendokrinních tumorů (NET), dle starší nomenklatury karcinoidů, v posledních desetiletích nápadně vzrůstá. Tumory jsou lokalizovány ve více než 70 % v zažívacím traktu, ve 20 % jsou plicního původu, ostatní lokality jsou vzácné. Z gynekologické oblasti jde o NET ovaria i dělohy včetně děložního čípku. Nádory v této lokalizaci jsou většinou maligní, byť s nižším maligním potenciálem. NET produkují široké spektrum biologicky aktivních substancí, jako serotonin, neuropeptidy, prostagladiny. Ty mohou vyvolávat specifické syndromy (karcinoidový syndrom), včetně poškození srdečních chlopní, zejména s insuficiencí trikuspidální chlopně, jak demonstruje naše kazuistika. Takové tumory nazýváme endokrinně aktivní. Z gynekologických nádorů jde hlavně o ovariální lokalizace. Některé nádory, byť produkují biologicky aktivní substance, jsou endokrinně neaktivní.
Diagnostika
Mimo obvyklé diagnostické metody používané v onkologické diagnostice přichází v úvahu vyšetření nádorových markerů: sérového chromograninu A, serotoninu, 5 - hydroxyindoloctové kyseliny v moči a případně neuron-specifické enolázy. V histologickém nálezu je třeba mít mimo imunohistochemické vyšetření (pozitivita chromograninu a/nebo synaptofyzinu) k dispozici proliferační index Ki67. Ze zobrazovacích metod je velmi důležitým prostředkem octreoscan zejména pro staging.
Léčba
Léčba je v prvé řadě chirurgická, u generalizovaných, inoperabilních forem přicházejí v úvahu analoga somatostatinu (octreotid či lanreotid), zejména jde-li o endokrinně aktivní formy s nízkým proliferačním indexem. Existují ale i doklady o tumoristatickém účinku analogů, a to i u endokrinně neaktivních případů, u gynekologických lokalit zkušenosti v tomto směru však chybí. Dále pro léčbu přichází v úvahu interferon alfa, u případů s vysokým proliferačním indexem je indikována chemoterapie. Z aktinoterapie se experimentálně používá cílená radioterapie 177Lutetiem s analogem somatostatinu, který se váže na somatostatinové receptory exprimované ve vyšší denzitě na nádorových buňkách. Při poškození srdečních chlopní je indikována implantace srdeční chlopně, a to u osob s dostatečně dlouhým horizontem přežití. Je implantována mechanická chlopeň vzhledem k riziku dalšího poškození serotoninem, s nutností trvalé antikoagulační léčby.
Kazuistika
Pacientka D. M., 50 let
Cca 4 roky otoky obličeje, flush po požití koření a alkoholu. Na jaře 2008 zjištěna trikuspidální regurgitace, vyslovena suspekce na karcinoid. Převzata ambulancí pro NET 09/2009, dokončeno vyšetření, kdy potvrzen karcinoid l. ovaria bez generalizace a indikován operační výkon.
Předoperačně Sandostatin LAR 30 mg á 4 týdny od 19. 9. 2008 do 9. 1. 2009, pak ukončen.
Operace 29. 10. 2008: adnexotomie, hysterektomie + bilaterální salphingo - ooforekttomie, pánevní a paraaortální lymfadenektomie, omentektomie a appendektomie.
Histologie: Nádor ovaria 9 x 6 x 5 cm. Solidně alveolárně, solidně trabekulární a tubulárně uspořádaný nádor charakteru karcinoidu, bez atypií, bez nekroz a bez mitotické aktivity. Výrazná pozitivita chromograninu a synaptofyzinu. Děloha, tuby a omentum bez patol. změn.
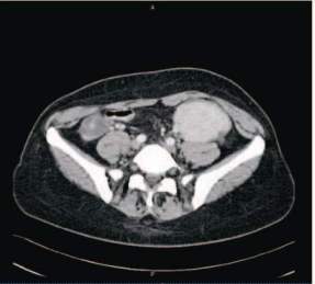
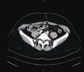
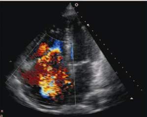
Obrázky 1 a 3 ukazují nález octreoscanu před operací a po radikální operaci, obrázky 2 a 4 ukazují totéž na CT. Obrázek 5 demonstruje echokar biografický nález významné trikuspidální regurgitace, obrázek 6 ukazuje normalizaci onkomarkerů sérového chromograninu A a obrázek 7 normalizaci hodnot odpadů 5 - hydroxyindoloctové kyseliny (5 - HIOK) v moči. Hodnoty CA 125 byly v celém průběhu v normě.
V dalším období je pacientka bez známek recidivy či generalizace, jen dispenzarizace, bez onkologické medikace, pokračují kontroly na kardiologickém pracovišti, výhledově chlopenní náhrada.
Octreoscan ukazující karcinoid ovaria před operací

Octreoscan po radikálním odstranění karcinoidu ovaria

CT ukazující velký karcinoid levého ovaria - před operací

CT po radikálním odstranění karcinoidu ovaria

Echokardiografický nález trikuspidální regurgitace


Závěr
Prezentovaná kazuistika ukazuje případ pacientky s velkým NET ovaria s karcinoidovým syndromem a karcinoidovou srdeční nemocí. Nemocná byla z onkologického hlediska úspěšně vyléčena radikálním operačním výkonem. Gynekologické neuroendokrinní nádory mohou vyvolat karcinoidový syndrom či karcinoidové srdeční postižení i bez metastáz do jater, což je jinak obvyklá podmínka u karcinoidů zažívacího traktu. Riziko poškození zejména trikuspidální chlopně je vyšší zejména u větších nádorů, s vysokou hladinou serotoninu či potažmo 5 - HIOK. Proto u těchto případů je nutno provádět echokardiografické kontroly. V přípravě před operací větších nádorů je třeba aplikovat preventivně analoga somatostatinu s cílem zabránit perioperační nebezpečné karcinoidové krizi se závažnými hemodynamickými důsledky.
Literatura
Incidence neuroendokrinních tumorů (NET), dle starší nomenklatury karcinoidů, v posledních desetiletích nápadně vzrůstá. Tumory jsou lokalizovány ve více než 70 % v zažívacím traktu, ve 20 % jsou plicního původu, ostatní lokality jsou vzácné. Z gynekologické oblasti jde o NET ovaria i dělohy včetně děložního čípku. Nádory v této lokalizaci jsou většinou maligní, byť s nižším maligním potenciálem. NET produkují široké spektrum biologicky aktivních substancí, jako serotonin, neuropeptidy, prostagladiny. Ty mohou vyvolávat specifické syndromy (karcinoidový syndrom), včetně poškození srdečních chlopní, zejména s insuficiencí trikuspidální chlopně, jak demonstruje naše kazuistika. Takové tumory nazýváme endokrinně aktivní. Z gynekologických nádorů jde hlavně o ovariální lokalizace. Některé nádory, byť produkují biologicky aktivní substance, jsou endokrinně neaktivní.
Diagnostika
Mimo obvyklé diagnostické metody používané v onkologické diagnostice přichází v úvahu vyšetření nádorových markerů: sérového chromograninu A, serotoninu, 5 - hydroxyindoloctové kyseliny v moči a případně neuron-specifické enolázy. V histologickém nálezu je třeba mít mimo imunohistochemické vyšetření (pozitivita chromograninu a/nebo synaptofyzinu) k dispozici proliferační index Ki67. Ze zobrazovacích metod je velmi důležitým prostředkem octreoscan zejména pro staging.
Léčba
Léčba je v prvé řadě chirurgická, u generalizovaných, inoperabilních forem přicházejí v úvahu analoga somatostatinu (octreotid či lanreotid), zejména jde-li o endokrinně aktivní formy s nízkým proliferačním indexem. Existují ale i doklady o tumoristatickém účinku analogů, a to i u endokrinně neaktivních případů, u gynekologických lokalit zkušenosti v tomto směru však chybí. Dále pro léčbu přichází v úvahu interferon alfa, u případů s vysokým proliferačním indexem je indikována chemoterapie. Z aktinoterapie se experimentálně používá cílená radioterapie 177Lutetiem s analogem somatostatinu, který se váže na somatostatinové receptory exprimované ve vyšší denzitě na nádorových buňkách. Při poškození srdečních chlopní je indikována implantace srdeční chlopně, a to u osob s dostatečně dlouhým horizontem přežití. Je implantována mechanická chlopeň vzhledem k riziku dalšího poškození serotoninem, s nutností trvalé antikoagulační léčby.
Kazuistika
Pacientka D. M., 50 let
Cca 4 roky otoky obličeje, flush po požití koření a alkoholu. Na jaře 2008 zjištěna trikuspidální regurgitace, vyslovena suspekce na karcinoid. Převzata ambulancí pro NET 09/2009, dokončeno vyšetření, kdy potvrzen karcinoid l. ovaria bez generalizace a indikován operační výkon.
Předoperačně Sandostatin LAR 30 mg á 4 týdny od 19. 9. 2008 do 9. 1. 2009, pak ukončen.
Operace 29. 10. 2008: adnexotomie, hysterektomie + bilaterální salphingo - ooforekttomie, pánevní a paraaortální lymfadenektomie, omentektomie a appendektomie.
Histologie: Nádor ovaria 9 x 6 x 5 cm. Solidně alveolárně, solidně trabekulární a tubulárně uspořádaný nádor charakteru karcinoidu, bez atypií, bez nekroz a bez mitotické aktivity. Výrazná pozitivita chromograninu a synaptofyzinu. Děloha, tuby a omentum bez patol. změn.
Obrázky 1 a 3 ukazují nález octreoscanu před operací a po radikální operaci, obrázky 2 a 4 ukazují totéž na CT. Obrázek 5 demonstruje echokar biografický nález významné trikuspidální regurgitace, obrázek 6 ukazuje normalizaci onkomarkerů sérového chromograninu A a obrázek 7 normalizaci hodnot odpadů 5 - hydroxyindoloctové kyseliny (5 - HIOK) v moči. Hodnoty CA 125 byly v celém průběhu v normě.
V dalším období je pacientka bez známek recidivy či generalizace, jen dispenzarizace, bez onkologické medikace, pokračují kontroly na kardiologickém pracovišti, výhledově chlopenní náhrada.
Octreoscan ukazující karcinoid ovaria před operací

Octreoscan po radikálním odstranění karcinoidu ovaria

CT ukazující velký karcinoid levého ovaria - před operací

CT po radikálním odstranění karcinoidu ovaria

Echokardiografický nález trikuspidální regurgitace


Závěr
Prezentovaná kazuistika ukazuje případ pacientky s velkým NET ovaria s karcinoidovým syndromem a karcinoidovou srdeční nemocí. Nemocná byla z onkologického hlediska úspěšně vyléčena radikálním operačním výkonem. Gynekologické neuroendokrinní nádory mohou vyvolat karcinoidový syndrom či karcinoidové srdeční postižení i bez metastáz do jater, což je jinak obvyklá podmínka u karcinoidů zažívacího traktu. Riziko poškození zejména trikuspidální chlopně je vyšší zejména u větších nádorů, s vysokou hladinou serotoninu či potažmo 5 - HIOK. Proto u těchto případů je nutno provádět echokardiografické kontroly. V přípravě před operací větších nádorů je třeba aplikovat preventivně analoga somatostatinu s cílem zabránit perioperační nebezpečné karcinoidové krizi se závažnými hemodynamickými důsledky.
Literatura
- Kulke M. H., Mayer R. J., Carcinoid Tumours. New England
Journal of Medicine. March 18, 1999;p. 858–868.
- Mac Lennan A.: Serotonin, Chemotherapy Tied to Carcinoid Heart
Disease Progression. New England Journal of Medicine 2003; 348, p.
1005–1015.
- Öberg K., Tiensuu Janson E. M., Eriksson B., Tumour markers in
neuroendocrine tumours. Italian Journal of Gastroenterology and
Hepatoly. 1999; (Supplement 2), p. 160–162.
- Scarpignato C.: Somatostatin Analogs in Cancer Management.
2001. S. KargerAG, Basel.
- Taupenot L., Harper K., O´Connor D. T.: The
Chromogranin-Secretogranin Family. The New England Journal of
Medicine. 2003, Volume 348: 1134–1149.
- Zuetenhorst J. M., Bonfrer J. M. G. M, Korse, C. M., Bakker R., Van Tinteren H., Taal B.: Carcinoid Heart Disease. Cancer, April 1, 2003, Volume 97, Number 7.
Datum přednesení příspěvku: 15. 10. 2010
