Konference: 2013 XXXVII. Brněnské onkologické dny a XXVII. Konference pro nelékařské zdravotnické pracovníky
Kategorie: Kasuistiky; zhoubné nádory mozku a CNS
Téma: XVI. Nádory nervového systému
Číslo abstraktu: 182
Autoři: prof. MUDr. Zdeněk Novák, CSc.; MUDr. Jan Chrastina, Ph.D.; Doc.MUDr. Pavel Cejpek, CSc.; prof. MUDr. Markéta Hermanová, Ph.D.; Doc. MUDr. Robert Kuba, Ph.D.; prof. MUDr. Milan Brázdil, Ph.D.; MUDr. Marta Pažourková; Ing. Ivo Říha
Východiska:
Mozkové tumory jsou primární patologií u 10-30 % nemocných s farmakorezistentní epilepsií. I když se u těchto nemocných v absolutní většině jedná o benigní léze, není možné ignorovat jejich možnou maligní transformaci. Dále je nutné vzít v úvahu limitace dostupných vyšetřovacích metod.
Popis případu:
Prezentujeme dvě kazuistiky nemocných s farmakorezistentní epilepsií - ženu s benigním temporálním tumorem vlevo a muže s rozsáhlou vrozenou vadou pravé hemisféry mozku, u nichž byl s odstupem po epileptochirurgické operaci prokázán multiformní glioblastom (GBM).
Kazuistika 1:
Žena, 51 let, se podrobila resekci infiltrativně rostoucí expanze levého temporálního laloku, klinicky se manifestující farmakorezistentní epilepsií po dobu 16 měsíců (PET s rozsáhlým hypometabolizmem). Histologické vyšetření prokázalo gliální neoplazii GI-II (bez další léčby). S odstupem 1 roku bylo pro poruchu chůze a kognitivní deterioraci provedeno MRI s nálezem biventrikulárního hydrocefalu při tumoru foramen Monroi. U nemocné byla provedena endoskopická biopsie (opět GI-II) a zavedení biventrikuloperitoneálního shuntu. S odstupem 2 měsíců došlo k rychlému rozvoji sytící se léze v oblasti temporální resekce. Stereobiopsie prokázala GBM a nemocná byla předána k další onkologické péči.
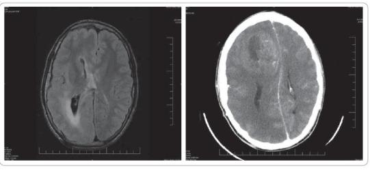
Kazuistika 2:
Muž, 18 let, s těžkou mentální retardací byl od novorozeneckého věku sledován pro farmakorezistentní epilepsii při pravostranné hemimegaencefalii (obr. 1). Vzhledem k multifokalitě záchvatů a nemožnosti resekce byla indikována vagová stimulace. MRI před implantací nevyslovilo podezření na nádor. Po 6 letech se u nemocného objevily kruté bolesti hlavy se zvracením. CT (MRI pro stav nemocného a vagový stimulátor kontraindikováno) prokázalo rozsáhlou expanzi frontálně vpravo, s přetlakem, smíšených denzit s kalcifikacemi a postkontrastním sycením (obr. 2). Nemocnému byla provedena subtotální resekce léze s ponecháním porce pod centrální krajinou a v hlubokých strukturách. Histologicky byl prokázán GBM. Pooperační radioterapie (bez chemoterapie) vedla k výrazné regresi rezidua tumoru. V současnosti je nemocný stabilizovaný s frustní levostrannou hemiparézou.
Závěr:
U první nemocné žádné z předoperačních vyšetření nevyslovilo podezření na možnost malignity (hypometabolizmus PET, trvání záchvatů více než rok). Situaci hodnotíme jako maligní zvrat low grade gliomu. Podobně také u druhého nemocného, dlouhodobě sledovaného v rámci epileptologického programu, žádné z neuroradiologických vyšetření na možný tumor mozku neukazovalo.

Datum přednesení příspěvku: 19. 4. 2013
