Konference: 2014 XXI. Jihočeské onkologické dny
Kategorie: Genitourinární nádory
Téma: Diagnostika a léčba nádorů ledvin a varlat
Číslo abstraktu: 08
Autoři: MUDr. Igor Sirák, Ph.D.
Karcinom ledviny
- Chirurgická léčba jediná kurativní metoda
- Riziko loko-regionálního relapsu po nefrektomii vysoké
- > 30% u T3, R1, N1
- Vysoké riziko metastazování
- solitární, oligometastázy, mnohočetné metastázy
- mozek, skelet, plíce, uzliny, prs, měkké tkáně…(kdekoliv)
- Historicky považován za radiorezistentní nádor
- Renesance radioterapie s příchodem SBRT a SRS
1) ADJUVANTNÍ RADIOTERAPIE
- Není doporučovanou součástí léčebných protokolů
2 prospektivní studie neprokázaly benefit na OS ani DFS
- Fugitt 1973: kompletně resekovaná stadia I/II
- nízké LR v obou ramenech (kolem 5%)
- Kjaer 1987: 72 pacientů II/III stadia, po resekci randomizace 1:1 k
ART 50Gy/20fr. na lůžko + ipsi- a kontralaterální uzliny vs. observace
- 5-LR v obou ramenech 43%
- 5-OS 38% vs. 63% v neprospěch ART
- 44% závažných komplikací a 19% úmrtí po RT (technika?, frakcionace?)
Retrospektivní studie naznačují možný přínos ART u R1 a T3 nádorů
- Kao 1994: 12 pacientů s perinefritickou invazí či pozitivním okrajem
(high-risk), CT plánování, 41-63 Gy (1.8-2Gy/fr.)
- 5-LC 100% (vs. 30% u srovnatelné skupiny bez adjuvantní RT)
- 5-DFS 75% (vs. 62% dtto)
- Stein 1992: 147 pacientů, pooperační RT 46Gy (56x) vs. observace;
- 5-OS 50% vs. 40%; 10-OS 44% vs. 32%
- LR: 0% vs. 7% u T2N0; 10% vs. 37% u T3N0 (p<.05)
- Pouze 5% závažných komplikací po radioterapii
- Makarewicz 1998: review 186 pacientů, medián dávky ART 50Gy
- 5-LR 8.8% (ART) vs. 15.8% (observace) u T3N0; 33% vs. 33% u T3N1
- bez vlivu na přežití
Žádné novější či probíhající prospektivní studie
2) NEOADJUVANTNÍ RADIOTERAPIE
- Není doporučovanou součástí léčebných protokolů
Dvě prospektivní studie neprokázaly benefit na OS ani PFS
- Juusela 1977: 88 pacientů, 38 s NRT 33Gy/3týdny vs. okamžitá nefrektomie; 5-OS 47% vs. 63% v neprospěch NRT (ani po stratifikaci na „low-risk“ a high-risk“)
- Van Der Werf-Messing 1981: 174 pacientů, 85 s NRT 30-40Gy/3-4 týdny vs. okamžitá nefrektomie; bez rozdílu přežití, ani při zvýšení dávky na 40Gy
NRT lze zvážit individuálně u primárně neresekabilních nádorů
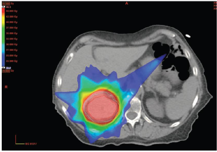
3) STEREOTAKTICKÁ ABLACE PRIMÁRNÍHO NÁDORU LEDVINY
- Aplikace vysoké dávky radioterapie na frakci (až 20Gy) ve více frakcích
- překonání radiorezistence RCC
- aktivace apoptózy endotelií ceramidovou dráhou, výhodné u vaskularizovaných nádorů
- Nádory do 5 cm bez lymfadenopatie a vzdálených metastáz (T1N0M0)
- Tam kde nelze operovat: solitární ledvina, bilaterální karcinom, stav pacienta, lokální recidiva po předchozí resekci..
- Review 7 retrospektivních a 3 prospektivních studií (Siva 2012)
- Celkem 126 pacientů, 1-6 frakcí SABR – nejčastější režim 5x8 Gy
- Medián sledování 9-57.5 měsíců
- Souhrnná lokální kontrola 94% (84-100%)
- Souhrnná toxicita grade 3 pouze 3.8% (0-19%)
- Souhrnná toxicita grade 1/2 pouze 21% (0-93%)
4) PALIATIVNÍ RADIOTERAPIE
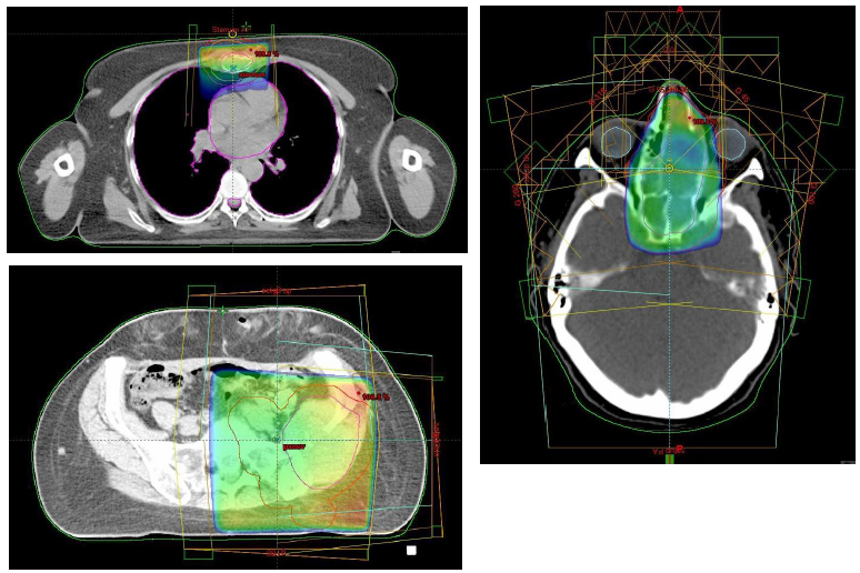
Metastázy CNS
- Stereotaktická radiochirurgie (SRS)
- U solitárních metastáz či oligometastáz
- Pokud není vhodná neurochirurgická resekce (ta vhodnější u mladších, v dobrém stavu, s periferně lokalizovanou lézí, při systémové kontrole nemoci)
- Leksellův gama-nůž (Homolka), CyberKnife (FN Ostrava), Linac s vybavením
Blanco AI, Cancers 2011
- Stereotaktická radiochirurgie (SRS)
- Limitace počtem (obvykle do 3-4 ložisek) a velikostí (do 3 cm) ložisek
- Konzultace nemocnice Na Homolce: FAX - 257 272 972 (MR na e-PACS)
- Neinvazivní výkon, krátkodobá hospitalizace
- Naložení stereotaktického rámu, MR navigace, gama záření kobaltových zdrojů
- WBR při mnohočetných metastázách (40Gy/20fr, 30Gy/10fr, 20Gy/5fr)
- Medián přežití 4.4 měsíce, 1-OS 16%, 2-OS 5%
- Při dobré odpovědi možné doplnit o SRS
- WBR po resekci solitární metastázy (Patchell JAMA 1998, phase III)
- 95 hodnotitelných pacientů s kompletní resekcí verifikovanou pooperační MRI
- Pooperační WBR 50.4Gy/28 frakcí vs. sledování (MRI á 3 měsíce v obou ramenech)
- Rekurence v místě původní metastázy 10% vs. 46% (p<0.001)
- Rekurence kdekoliv v mozku 18% vs. 70% (p<0.001)
- Menší riziko úmrtí z neurologické příčiny po WBR: 14% vs. 44% (p=0.003)
- Bez rozdílu v celkovém přežití (48 vs. 43 týdnů, p=0.39)
- Bez rozdílu v délce funkční soběstačnosti
- WBR po SRS solitárních či oligometastáz (Fokas 2010)
- 88 pacientů s 1-3 ložisky: 51x SRS vs. 17x SRS + WBR (vs. 22x WBR při >3 meta)
- Medián OS 12M vs. 16M (vs. 2M); lepší IC po SRS+WBR (p=0.032) ale ne OS (0.7)
- Pravděpodobnost LC po SRS samotné: 1-LC 81%, 2-LC 78%, 3-LC 55%
- Signifikantní pokles kognitivních funkcí a paměti po SRS+WBR (Chang 2009)
- Doporučení ASTRO 2014: neaplikovat WBR po SRS mozkových oligometastáz
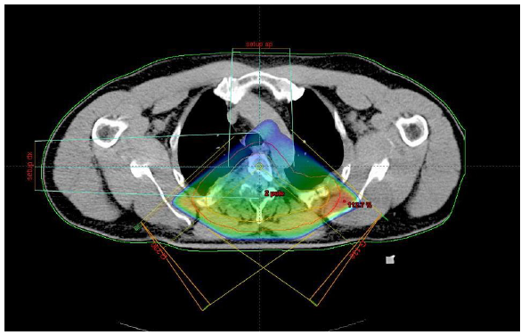
Bolestivé metastázy skeletu
- Jednorázová nebo frakcionovaná radioterapie
- 1x 8-10Gy, 5x 4Gy, 10x3Gy
- Úleva od bolesti až 70%, kompletní remise bolestí u 25%
- Maligní komprese míšní
- Akutní stav vyžadující urgentní řešení (kortikoidy, operace, radioterapie) do 24 hodin
- Snaha zachovat hybnost a soběstačnost pacienta
- Chirurgická stablilizace výhodnější u pacientů v dobrém stavu, s omezeným systémovým postižením
- Chirurgickou stabilizaci obvykle následuje paliativní radioterapie
- Radioterapie samotná tam, kde není indikován chirurgický výkon
Maligní míšní komprese
Extrakraniální SBRT/SRS
- U solitárních metastáz či oligometastáz
- Když není vhodná chirurgická metastazektomie
- Nevýhoda(??): chybí histologie z resekátu
- Nutné vybavení pracoviště a zkušenost

ZÁVĚRY
- RT má jen omezenou roli v primární léčbě RCC
- Paliativní RT u neresekabilních lokálních rekurencí a metastáz
- Renesance radioterapie díky SBRT a SRS
- Větší význam radioterapie s prodlužujícím se přežitím pacientů
Budoucnost radioterapie RCC
- Rozvoj stereotaktické ablační radioterapie a radiochirurgie
- nalezení vhodného frakcionačního režimu
- Kombinace radioterapie s cílenou léčbou či imunoterapií
- Anti-VEGF terapie (?) – Sunitinib
- Nalezení vhodného radiosenzitizátoru
- Kyselina zolendronová (?) - in vivo + in vitro studie, role STAT1
Datum přednesení příspěvku: 17. 10. 2014







