Konference: 2013 XX. Jihočeské onkologické dny
Kategorie: Onkologická diagnostika; Zhoubné nádory prsu
Téma: Lokálně pokročilý a metastatický karcinom prsu. Chemoterapie, radioterapie, cílená léčba
Číslo abstraktu: 19
Autoři: doc. MUDr. Zdeněk Kinkor, PhD.
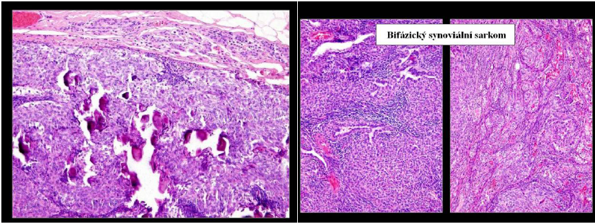
Primární sarkomy prsu představují méně než 1 % všech maligních nádorů prsu a vyjma sekundárního postradiačního angiosarkomu se v písemnictví objevují jen jako sporadické případy dokumentující složitost histologické diagnostiky. Proč právě mléčná žláza, tvořená většinově pojivovou tkání, je výjimečnou lokalitou původu pestré škály maligních měkkotkáňových proliferací, není jasné; důvodem může být např. hormonálně dependentní stroma. Správné rozpoznání mezenchymální histogeneze těchto zde jedinečných lézí navíc komplikuje fakt, že patolog v orgánu, kde karcinom dominuje rutinní diagnostice, s touto ojedinělou morfologickou eventualitou prakticky nepočítá. Pakliže mikroskopicky obraz vůbec odpovídá mezenchymálnímu tumoru, je totiž nejpravděpodobnější, že se jedná o heterologní komponentu metaplastického karcinomu či fyloidního tumoru, kde původní evidentní epitelová složka je významně potlačena. Biologie těchto procesů, kde převládá primitivní vřetenobuněčný/fibrosarkomatózní či ostechondromatózní fenotyp, se však principielně stále více řídí prvotní/výchozí neoplázíí. Morfologická rozmanitost metaplastického karcinomu pak obecně svádí k přeceňování domnělé mezenchymální orientace, zejména při značné plasticitě epitelového imunofenotypu. Např. akantolytický, pseudoangiomatózní karcinom prsu dokáže věrně napodobit diferencovaný primární angiosarkom.
Na druhé straně se v mléčné žláze vyskytují naprosto benigní pojivové nádory, které se nesmějí zaměnit za sarkomy či karcinomy - např. schwanom, myofibroblastom/solitární fibrózní tumor, fibromatóza či nodulární faciitis. V neposlední řadě je potřeba vyloučit šíření sarkomu z okolí nebo jeho metastázu.
Přednáška ukazuje na krátkých, přehledných kazuistikách náročnost a možné omyly v diagnostice primárních sarkomů prsu - např. synoviální sarkom, maligní schwanom, liposarkom, angiosarkom atd. Patolog musí nejen vnímat i často jen jemné strukturální a cytologické detaily, ale především na neobyčejnou alternativní diagnostickou eventualitu pomyslet a tím efektivně směřovat speciální vyšetřovací metodiky. Je potřeba připustit, že přesný a spolehlivý závěr z limitované punkční biopsie někdy prostě možný není. Vyjádření diagnostických rozpaků ve zprávě není tak vždy jen odrazem odborné nejistoty a je namístě. Možné pochybení pak zkresluje prognostický výhled a terapeutický přístup. Totiž, primární sarkom prsu, jakkoliv je unikátní, není totéž jako metaplastický karcinom resp. maligní fylodes tumor.
Datum přednesení příspěvku: 18. 10. 2013
