Konference: 2007 XIV. Jihočeské onkologické dny
Kategorie: Maligní lymfomy a leukémie
Téma: Postery
Číslo abstraktu: 044p
Autoři: doc.MUDr. David Kachlík, Ph.D.; RNDr. Berta Otová, CSc.; prof. MUDr. Václav Mandys, CSc.; prof. MUDr. Josef Stingl, CSc.
Studie se zaměřila na popsání cévního zásobení experimentálního modelu lymfomu u potkana. Nádorové buňky T-buněčného lymfomu, implantované inbredním potkanům, vytvořily solidní nádor, který indukoval angioneogenezi. Popis hustoty, průběhu a změn již existujícího řečiště byly hlavním cíli této práce.
MATERIÁL A METODIKA
T-buněčný lymfom spontánně vzniká v inbredním kmeni pražského sublinie Sprague-Dawley potkanů (SD/Cub). Jeho nádorové buňky byly transplantovány podkožně mladým zdravým jedincům tohoto kmene. Jednalo se o 16 samic a 16 samců. Spontánní transplantovatelný lymfom z T-buněk je vysoce geneticky definovaný model spontánní hematologické malignity. Pro tuto studii byl použit lymfom SD 10/96 (74. pasáž).
Suspenze 106 lymfomových buněk ve fyziologickém roztoku byla vstříknuta podkožně do pravého boku potkana. Zvířata byla usmrcena po dvou, postupně 4.-20. den po transplantaci a jejich cévní soustava byla přes srdce nastříknuta roztokem tuše v 5% želatině (35 ml). Po fixaci v 8% formaldehydu (15 dní) byla polovina podrobena makropreparaci v preparační lupě pro určení zdrojových cév a jejich morfologických změn.
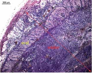
Druhá polovina byla podrobena histologickému vyšetření nádoru a jeho okolí (série ultratenkých parafínových řezů barvených hematoxylinem-eozinem) a byla orientačně zjišťována hustota cév (morfometricky v programu Leica IM 1000) a jejich prorůstání z okolí, jakož i šíření nádorů subkutánně i skrze podkožní tuk a svaly břišní stěny k pobřišnici. Popsané nálezy budou sloužit jako model pro výzkum látek blokujících angiogenezi v lymfomech. Zacházení se zvířaty a experimentální protokol probíhal podle nařízení etické komise pro použití laboratorních zvířat.
VÝSLEDKY a DISKUZE
Po preparaci nastříknutých zvířat se odhalila svalová vrstva pod pokožím (panniculus carnosus) a povrchově uloženým musculus cutaneus dorsi (kožním zádovým svalem). Cévy prorážejí segmentálně uspořádány ve třech řadách. Tepny jsou větvemi z arteriae intercostales (mezižeberních tepen) - větví z aorta thoracica (hrudní srdečnice), které probíhají v mezižeberních prostorech na hrudníku a v dolní části volně pokračují do přední břišní stěny, a dále z arteriae lumbales (bederních tepen) - větví z aorta abdominalis (břišní srdečnice). Jedná se o: zadní řadu blízko páteře - rami cutanei dorsales laterales, střední řadu - rami cutanei laterales, a přední řadu, kterou tvoří cévy bez pojmenování, pro něž je možné použít termín „rami cutanei ventrales“, odpovídající těmto větvím u jiných savců (viz obrázek 1). Tyto tepny se pak dále větví dále jednak pro podkoží a panniculus carnosus včetně musculus cutaneus dorsi, a jednak pro boční skupinu svalů břicha a povrchové zádové svaly - na obrázcích jsou zachyceny musculus trapezius, musculus latissimus dorsi a musculus obliquus externus abdominis. Žíly se sbírají do stejnojmenných žil s totožným průběhem jako u tepen. Takto vypadá úprava u zdravých jedinců.
U jedinců s aplikovanou buněčnou masou lymfomu se v prvních dnech utvoří nádorový infiltrát v podkoží, mezi podkožím a musculus cutaneus dorsi a zůstává takto ohraničen až do 5. dne po aplikaci. Od 6. dne buňky pronikají jak do povrchovějšího podkožního vaziva a tukové tkáně, tak rovněž do svalu a skrz něj hlouběji k dalším svalům, až mezi 16.-20. dnem dosáhnou k hrudní stěně a zejména k pobřišnici (viz obrázek 2-5).
Nádor se víceméně šíří radiálně a uchovává si kruhový čí oválný tvar, jehož rozměry jsou 4. den menší než 1x1x1cm, 12. den 20x31x8 mm a 20. den 54x54x21mm. Hustota cév byla orientačně změřena ve světelném mikroskopu v programu Leica. Četnost cév se zvýšila mezi 4. a 14. dnem 1.44 krát na jednotku plochu (viz obrázek 4 a 5). Celkový průřez cév (jejich souhrnná plocha) je předmětem dalšího zkoumání.
Makroskopicky nebyl zaznamenán vznik nových kmenových cév. Významně se však rozšířily přívodné cévy zásobující boční břišní stěnu, v niž se nádor rozvíjel (viz obrázek 3). Mikroskopicky byla zjištěna dilatace stávajících cév a významná novotvorba v nádoru. Nelze však s jistotou říci, zda se jedná o indukci angiogeneze z okolí nebo vaskulogenezi z tělesa vlastní nádorové masy.
ZÁVĚR
Byl vytvořen experimentální model pro zjišťování
růstu a chování cévního řečiště umělým zanesením nádorových buněk
do břišní stěny laboratorního zvířete.
LITERATURA
- Nejedlý, K. Biologie a soustavná anatomie laboratorních zvířat.
SPN Praha, 1965, s. 300-302.
- Popesko, P.; Rajtová, V.; Horák, J. Atlas anatómie malých laboratórnych zvierat 2. Příroda Bratislava, 1990, s. 43-45.
Obrázek 1 - normální distribuce zdrojových cév pro zásobení břišní stěny potkana

Obrázek 2 - Změna 20. den po aplikaci nádorových buněk

Obrázek 3 - Srovnání zdravé a nádorové strany 17. den po aplikaci nádorových buněk

Obrázek 4 - Histologický řez 5. den po aplikaci nádorových buněk (barvení HE)

Obrázek 5 - Histologický řez 14. den po aplikaci nádorových buněk (barvení HE)

Datum přednesení příspěvku: 12. 10. 2007
