Konference: 2012 XIX. Jihočeské onkologické dny
Kategorie: Nádory hlavy a krku
Téma: Postery
Číslo abstraktu: 47
Autoři: MUDr. David Jirava; MUDr. Martin Očadlík; Doc. MUDr. Jiří Málek, CSc.; MUDr. Alice Kurzová
Abstrakt
Metastázy ve štítné žláze mají vzácný výskyt a mají zpravidla
nepříznivou prognózu. Projevy a růst metastatických ložisek ve
štítné žláze mají zpravidla asymptomatický průběh. Cílem práce je
ukázat na vzácnou lokalizaci metastatického procesu z primárního
zdroje. Nejčastěji primárním zdrojem jsou nádory ledvin, plíce,
tlustého střeva, prsu, melanom, seminom, nasopharyngeální karcinom.
Nemocní s diagnostikovanou sekundární malignitou se podrobili
totální thyreoidektomii. Na metastatické postižení štítnice musíme
pomýšlet vždy u nemocných s anamnézou již prodělané malignity. Při
uzlovém nálezu ve štítnici se musí zvláště zajistit dokonalé
dovyšetření těchto nemocných. Aspirační punkční biopsie s
imunohistochemickým nálezem je standardním předoperačním vyšetřením
při podezření na sekundární malignitu. Totální thyreoidektomie je
metodou volby vzhledem k multifokálnímu růstu metastáz ve štítnici.
Práce ukazuje na klinický obraz a možnosti chirurgické léčby.
Kazuistika 1:
Pacient J. S., 57 let, byl hospitalizován na chirurgické klinice
FNKV s nádorem rekta. Biopsie prokázala cylindrocelulární
adenokarcinom tubulární, zčásti kribriformní stavby, dobře až
středně diferencovaný, s ložisky nekros a hemoragií.
1.
operace: byla provedena amputace rekta podle Milese s
terminální sigmoideostomií. Z operačního protokolu: normální nález
na játrech, paraaortálních uzlinách i v celé dutině břišní.
Postupně uvolněno sigmoideum, rektum až k levátorům, excise anu,
vytvoření terminální sigmoideostomie. Tumor je asi 4 cm v průměru a
z rekta zasahuje až k anu. Histologie: těsně za anusem cirkulární
tumor, stenozující, prorůstající celou tloušťkou stěny střevní.
Mikroskopický nález shodný s nálezem bioptickým, v uzlinách maligní
nádorové struktury nebyly nalezeny.
2.
operace po dvou letech. Při onkologické prohlídce byla
u pacienta na plicích objevena solitární metastáza v dolním laloku
vlevo. Před operací bylo ložisko pod CT označeno methylenovou
modří. Byla provedena videoasistovaná torakoskopie vlevo a
klínovitá resekce plíce z dolního laloku. Z operačního protokolu: V
8. mezižebří vlevo v axilární čáře zaveden torakoskop, nádor je
uložen v parenchymu, sám není patrný, identifikováno modré zbarvení
ložiska. Nad ložiskem provedena minitorakotomie a s pomocí čtyř
staplerů provedena radikální resekce plicní tkáně s metastasou.
Palpačně revidována celá plíce, bez dalšího ložiska.
3.
operace po dalším roce. U pacienta se vyvinula struma a
pro podezření na maligní strumu byl pacient indikován k operaci.
Byla provedena totální thyreoidektomie pro polyadenomatosní
strumu.
Z operačního protokolu: jde o degenerativně změněnou polynodózní
strumu, zasahující oboustranně retrotracheálně. Vypreparován istmus
štítné žlázy a lobus pyramidalis, přerušení istmu. Obtížná
preparace harmonickým skalpelem, nejprve vlevo, dokončení
lobektomie vlevo s ligací silných polových cév. Vpravo též obtížná
preparace, postupně uvolněna masa žlázy z retrosternálního a
retrotracheálního uložení, dokončení lobektomie vpravo harmonickým
skalpelem.
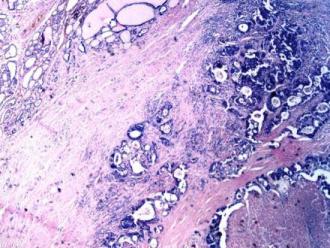
Histologie: 1. levý lalok štítné žlázy velikosti 5 x 3 x 1,2 cm s
částí istmu, povrch ploše hrbolovitý, řez homogenní, tmavě hnědý, v
dolním polu šedobílý uzel prům. 0,4 cm, ve střední třetině světle
hnědý opouzdřený uzel prům. 0,7 cm a v mediální části resekátu
koloidní uzel prům. 0,4 cm.
Mikroskopický
nález: parenchym štítné žlázy má základní strukturu koloidně
nodosní strumy mikro i makrofolikulární struktury. Šedobílý uzel má
strukturu folikulárního karcinomu, který invaduje do přilehlého
parenchymu. Opouzdřený uzel má strukturu folikulárního adenomu s
papilární hyperplazií. Na periferii nádoru je široké hyalinizované
pouzdro. Invazi zde nenacházíme. Koloidní uzel má strukturu uzlu
hyperplastického. 2. pravý lalok velikosti 7,5 x 5 x 4,5 cm, povrch
hrbolovitý, na řezu v centru multicystický uzel prům. 3,5 cm s
hemoragickým obsahem, v horním polu dva šedé uzly prům. 1,4 cm, v
dolním polu šedý uzel prům. 1,2 cm.
Mikroskopický
nález: jeden z uzlů v horním polu je metastázou tubulárního
adenokarcinomu tlustého střeva. V nádorových buňkách prokazujeme
hlenotvorbu. Druhý z uzlů má strukturu mikrofolikulárního adenomu.
Cystický útvar v centru má strukturu makrofolikulárního adenomu,
uzel v dolním polu má strukturu mikrofolikulárního trabekulárního
adenomu štítné žlázy.

Kazuistika2:
Pacientka Z. J., 49letá, sledována a léčena na onkologické klinice
a gynekologické klinice FNKV, Praha 10 pro karcinom děložního čípku
po dobu čtyř let.
Operace:hysterektomie
a adnexetomie bilat., lymfadenektomie
Onkologická terapie
: chemoterapie systémová, radioterapie pánve,
retroperitonea
Po tříletém intervalu nález zvětšených uzlin na pravé straně krku,
po onkologickém a ORL vyš. zahájena terapie ozářením na pravou
stranu krku a nadklíčkovou oblast. Vyšetření rozšířeno o
endokrinologickou odbornost. Standardní laboratorní vyšetření s
nálezem euthyreózy, sonograficky zjištěn uzel v pravém laloku
štítné žlázy. Provedena punkční aspirační biopsie s nálezem
maligních buněk.
Operace:Totální
thyreoidektomie, lymfadenektomie
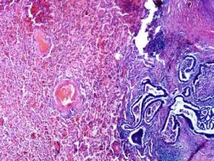
Histologický nález
: tkáň štítné žlázy ze středních i větších folikulů je
masivně infiltrována čepy a pruhy solidního karcinomu,
nediferencovaného, ze středně velkých buněk s bledými jádry a
eosinofilními jadérky, zčásti z buněk vřetenatých s hyperchromními
většími i monstrozními jádry s podezřením na keratinizaci, kterou
nelze jednoznačně odlišit od nekros buněčných s ohledem na
předchozí aktinoterapii. Nádor je metastatického
původu z děložního čípku. Dále dodán preparát s mízní
uzlinou, obsahující metastázu nediferencovaného karcinomu z
děložního čípku s regresivními změnami a obrovskobuněčnou
vícejadernou reakcí. Nemocná po výkonu zhojena bez komplikací per
primam, předána do péče endokrinologické a onkologické ambulance
FNKV, Praha 10.
Histologie
Metastáza karcinomu děložního čípku v pravém laloku štítní žlázy,
metastáza v krční uzlině
Laboratoř
Onko márky negat.
Ultrazvuk
Pravostranná struma hypechogenní s naznačenou nodositou v pr.
laloku.PL 3,5ml LL 1,52ml
FNAB
Atypické buňky, nález odpovídá maligním změnám, z cytologického
hlediska nelze určit, zda se jedná o primární či sekundární
tumor
Terapie
Totální thyreoidektomie, lymfadenektomie

Závěr
Jak vyplývá z našich zkušeností s operativou nádorů štítné žlázy,
tak z odborného světového písemnictví, jsou sekundární nádory
štítné žlázy početně vzácnou skupinou a dle autorů se vyskytují do
0,2 % operovaných nádorových onemocnění štítnice. V naší prezentaci
zdůrazňujeme pečlivé vyšetření všech modulárních thyreopatií u
nemocných v minulosti s již prodělanou maligní diagnózou.
Jednoznačně zdůrazňujeme trend provádění totálních thyreoidektomií
při primárním i sekundárním postižení pro možnost multifokálního
výskytu sekundárního nádoru.
Literatura
- Kung B, Aftab S, Wood M, Rosen D: Malignant melanoma metastatic to the thyroid gland: a case report and review of the literature,Ear, Nose Throat J, 2009 Jan, 88(1):E7
- Rodier RF, Tuech JJ, Wilt M, Linda P, Bruant-Rodier C: A locally advanced intrathyroid metastasis of bronchial cancer,Ann Otolaryngol Chir Cervicofac, 2008 Sep, 125(4), 198-203
- Wirtz G, Quoix E, Grunenberger F, Mansard G, Mennecier B: Thyroid metastasis of lung cancer and abnormal thyroid function –a case report,Rev Pneumol Clin, 2009 Feb,65(1), 27-31
- Miyakawa m, Sato K, Hasegawa M, Nagai A, Sawada T, Tsushima T, Takano K: Severe thyrotoxicosis induced by thyroid metastasis of lung adenocarcinoma: a case report and review of the literature,Thyroid,2001 Sep., 11(9), 883-8
- Mattavelli F, Collini P, Pizzi N, Pennacchioli E: Thyroid as a target of metastase: a case of metastatic seminoma in a patient who died of a second cancer, Tumori, 2009 Jan-Feb, 95(1), 91-3
- Dhouib H, Ben Hmida A, Daoud J, Frikha M, Charfedine I, Ghorbel A: A case of the thyroid metastasis of an unusual cancer,Cancer Radiother, 2009 Jun, 13(3), 213-5
- Calzolari F, Sartori PV, Talarico C, Parmeggiani D, Beretta E, Pezzullo L, Bovo G, Sperlongano, P, Monacelli M, Lucchini R, Misso C, Gurrado A, D‘Ajello M, Uggeri F, Puxeddu E, Nasi P, Testini M, Roseto L, Barbarisio A, Avenia N: Surgical treatment of intrathyroid metastase: preliminary results of a multicentric study, Anticancer Res, 2008 Sep-Oct, 28(5B), 2885-8
Datum přednesení příspěvku: 19. 10. 2012
