Konference: 2014 19. ročník sympózia Onkologie v gynekologii a mammologii
Kategorie: Nádorová biologie/imunologie/genetika a buněčná terapie; Onkologická diagnostika
Téma: NLZP Blok I
Číslo abstraktu: 054
Autoři: Bc. Jana Scheuerová; Nikola Syrovátková
Úvod
Ve své přednášce se zabýváme úlohou radiologického asistenta při stereotaktické vakuové biopsii prsu na radiologické klinice. Vakuová biopsie je odběr tkáně pro histologickou verifikaci z prsu pod mamografickou či ultrazvukovou kontrolou. Zaměřujeme se nejen na bezproblémový průběh vyšetření, ale především na jeho limitace a možné komplikace. Naše postřehy a zkušenosti pocházejí z období od ledna do listopadu 2013.
Materiál a metodika
Vyšetření jsme prováděly na mamografickém přístroji SELENIA od firmy Hologic. Pro vakuovou biopsii používáme přístroj ATEC Sapphire rovněž od firmy Hologic. (obr. 1)
Přístroj je určen pouze pro diagnostiku a není indikován pro terapeutické účely. Konzola se skládá z těla přístroje a uživatelského panelu. Uživatelský panel obsahuje řídící prvky, které umožňují práci s tímto zařízením a současně jsou na něm umístěny indikační prvky podávající informace o stavu systému.
Pro odběr vzorků používáme bioptický a excizní systém ATEC® (obr. 2) nebo systém EVIVA. (obr. 3) Systém ATEC® používáme s 9GA jehlou, 20 mm odběrovým okénkem a 12 cm dlouhou jehlou. Celý systém – násadec s hadičkami k připojení k jednotce – je sterilně uzavřen v obalu. Systém ATEC® má mechanický výstřel. Systém EVIVA dodává firma Hologic s jehlou 9GA, která má okénko také 20mm, ale je dlouhá 13 cm. Tento systém má pneumatický výstřel. Zařízení se skládá z duté jehly s bočným otvorem a ostré vnitřní kanyly, která se otáčí ve vysoké rychlosti a rozšiřuje se na otvor, do kterého se vsaje cílová tkáň. Během procesu je uvnitř přístroje vytvořeno vakuum, které napomáhá vtažení tkáně do otvoru. Zařízením proudí solný roztok pro výplach dutiny a k posunu odebrané tkáně do tkáňového filtru.
Během sledovaného období bylo u nás vyšetřeno vakuovou biopsií celkem 45 pacientek, z toho 19 pod ultrazvukem a 26 pod stereotaktickou kontrolou.
Průběh vyšetření
Při příchodu na naše pracoviště odevzdá pacientka osobní anamnézu, lékař zjišťuje případné alergie a také, zda neužívá léky ovlivňující srážlivost krve. Ty je nutné předem vysadit či převést na jiný typ. Pacientka vždy dává písemný souhlas s vyšetřením, které jí lékař vysvětlí před výkonem a seznámí ji s možnými komplikacemi.
Laborantka má zatím za úkol připravit k provedení biopsie techniku. (obr. 4 a obr. 5) Nejdříve ověří přesnost přístroje pomocí programu QC, poté uvádí do provozu bioptické dělo.
Po úspěšném testování přistoupíme k vlastnímu vyšetření:
- pacientku zadáme do počítače a otevřeme proceduru
- pacientku posadíme čelem k přístroji a vyhledáme lékařem určené místo odběru (obr. 6)
- provádíme snímky se sklonem 15 stupňů z obou stran
- lékař označí na počítači cíle a ověří hloubku vpichu
- najedeme jehlou na zvolený cíl
- lékařka znecitliví místo vpichu a přistoupí k vlastnímu odběru vzorku tkáně; případně provádíme snímky pozice jehly (obr. 7)
- po odběru tkáně a vytažení jehly lékařka aplikuje klip (obr. 8)
- uvolníme pacientku z komprese a sestřička místo vpichu ošetří
- po ošetření pacientky provádíme kontrolní snímek v CC projekci s klipem
Diskuze
Při mechanickém výstřelu (systém ATEC®) dochází k otřesům celého systému a je poměrně hlučný. Při samotném odběru se otáčí celým systémem o 360º a postupně se odebírají vzorky v celém rozsahu. V důsledku toho dochází k splétání hadiček. U systému ATEC® přidáváme při stereotaktické biopsii přídavný filtr, který nám zlepšuje manipulaci s jehlou a jednotkou. Při vakuové biopsii pod ultrazvukovou kontrolou filtr není nutný.
U pneumatického výstřelu (systém EVIVA) dochází k minimálnímu chvění a zvukový efekt je rovněž malý. U odběru neotáčíme celým systémem, ale pouze jeho vnitřní částí, za pomoci ovládacího knoflíku. Nedochází k zaplétání hadiček a není třeba přídavný filtr.
Při stereotaktické vakuové biopsii jednoznačně preferujeme systém EVIVA pro snadnější manipulaci s ním a nízkou hlučnost. Zvuk mechanického výstřelu působí pacientům stres.
Nevýhodou systému EVIVA je jeho cena, která je zhruba o 10% vyšší než u systému ATEC®.
Každá metoda má své limitace, tedy ani vakuová stereotaktická biopsie není bez omezení. První limitací je velikost prsou. V případě gigantomastie nás limitují technické možnosti, neboť pod prsem nezbývá dostatek prostoru k manipulaci s jehlou. Obdobně omezující jsou u této metody malá prsa. Odběrové okénko v jehle měří 2 cm a musí být pro vytvoření vakua celé uvnitř prsu, a to včetně 8 mm dlouhého hrotu jehly. (obr. 9)
Druhou limitací je umístění ložiska v prsu. Léze umístěné kraniálně (těsně pod kůží) nelze v této projekci odebrat, neboť nelze v odběrovém prostoru zajistit vakuum. Ani léze umístěné kaudálně nejsou v této projekci indikovány, jelikož by hrot jehly pronikl skrz prs až na detektor. V těchto případech je možné použít bočné navádění.
Absolutní kontraindikací jsou léze umístěné zcela při bazi prsu, neboť takovéto ložisko není možno zanést do odběrového okénka ani při maximálním vytažení prsu. S určitými omezeními jsme se setkaly i u lézí centrálních. Důvodem je kónické zúžení prsu (při bázi je širší) a tedy nedostatek prsní tkáně pro odběr v cc-projekci, obdobně jako u malých prsů.
Občas se setkáme i s kolapsovými stavy pacientky. Pak nelze provést vyšetření s veškerou snímkovou dokumentací, a zcela výjimečně neprovedeme ani vlastní odběr. Tato omezení se však snažíme eliminovat citlivým přístupem k pacientce.
S vakuovou jednotkou lze pracovat i pod ultrazvukovou kontrolou, kdy má lékař dokonalý přehled o vzájemné poloze ložiska a jehly. Je samozřejmé, že odběr je prováděn u lézí diagnostikovaných na ultrazvuku a selekci provádí lékař.
Závěr
Biopsie pomocí vakuové jednotky umožňuje odebrat výrazně větší množství tkáně na jeden vpich; odběr velkou jehlou z ložiska je jistější a vydatnější.
Také pro zdravotnický personál je tato práce příjemnější, je lépe zabezpečena sterilita (místo více vpichů se provádí pouze jeden vpich). Celý výkon trvá poměrně krátkou dobu a je tedy k pacientovi podstatně šetrnější.
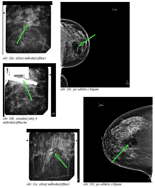
K odběru vakuovou biopsií pod mamografickou kontrolou indikujeme mikrokalcifikace či léze, které pod ultrazvukem nelze zobrazit. (obr. 10a, b, c a obr. 11a, b) Pod ultrazvukovou kontrolou odebíráme přednostně pomocí cut core biopsie, a pouze v omezených, lékařkou indikovaných případech používáme vakuovou biopsii.
V některých případech odebereme i celou lézi či celou oblast mikrokalcifikací. Vzhledem k aplikaci klipu do místa odběru jsme schopni chirurga navést do původního místa odběru.
Nevýhodou odběru celé léze je to, že se tím patologovi znemožní určit tzv. čisté okraje. Jestliže vzorek není histologicky benigní, musí se vždy s pomocí standardního chirurgického zákroku přezkoumat úplnost odstranění okrajů patologické tkáně.
Obrazová příloha:
Datum přednesení příspěvku: 27. 2. 2014
