Konference: 2008 XV. Jihočeské onkologické dny
Kategorie: Genitourinární nádory
Téma: Postery
Číslo abstraktu: 054p
Autoři: MUDr. Miluše Dolečková, Ph.D.; Ing. Alena Chourová (Studynková); RNDr. Ing. Petr Berkovský; MUDr. Barbora Dolečková
Syndrom maligního psoatu (SMP) byl poprvé popsán v literatuře jako nová onkologická jednotka M. Stevensem v r. 1990. Byl popsán u 4 pacientů s pánevními malignitami (2x ca močového měchýře, 1x ca prostaty, 1x ca čípku děložního). Charakterizován byl jako proximální lumbosakrální (L1-4) plexopathie spojená s bolestivou flexí homolaterální dolní končetiny v kyčelním kloubu, exacerbace bolesti při pokusu o extenzi (pozitivní psoas test) a současně s tím postižení homolaterálního m. psoas v CT obraze, většinou při metastatickém postižení (lymfatické metastázy paraaortálních uzlin někdy i s extranodálním šířením nebo přímo metastázy ve svalu) anebo primárním tumorem. Od r. 1990 do r. 2002 bylo popsaných v literatuře 23 případů SMP.
METODY A PACIENTI
Na onkologickém oddělení Nemocnice České Budějovice, a.s. jsme od r. 1994-2004 léčili 201 pacientů s karcinomem prostaty, 84 s maligními nádory ledvin a 29 s karcinomem močového měchýře. U všech nemocných byla histologicky potvrzena diagnóza maligního tumoru.
Při retrospektivním hodnocení tohoto souboru byl vyhodnocen vznik syndromu maligního psoatu u 6 pacientů. Z toho byli 4 muži a 2 ženy. V 1 případě šlo o karcinom močového měchýře a 5x o zhoubný nádor ledviny.




VÝSLEDKY
V retrospektivním hodnocení dokumentace 628 pacientů s urologickými malignitami, léčenými v letech 1994-2004 na onkologickém odd. Nemocnice České Budějovice, a.s., bylo hodnoceno 211 pacientů s karcinomem prostaty, 312 se zhoubným nádorem ledvin a 105 s karcinomem močového měchýře.
Ve skupině pacientů s karcinomem prostaty nebyl nalezen žádný SMP - 0% (0/211), primární léčba byla radioterapie na oblast pánve, s boostem na prostatu.
U pacientů s karcinomem močového měchýře byl 1 pacient se SMP t.j v 0.95% (1/105), primární léčba byla operace, chemoterapie.
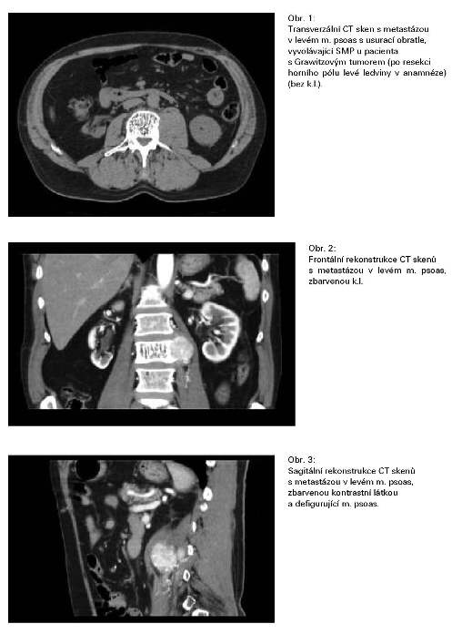
Nejvíce pacientů se SMP bylo nalezeno u maligních nádorů ledviny - 5, tj. v 1,6% (5/312), primární léčba byla vždy chirurgická - nefrektomie, v případě rozsahu T3 byli pacienti do r. 1998 ozářeni na oblast lůžka ledviny a paraaortálních uzlin, v dalších letech pacienti obdrželi imunoterapii nebo chemoimunoterapii. U pacientů se SMP radioterapie v primární léčbě nebyla. Infiltrace psoatu souvisela ve 4 případech (4/5) s recidivou v oblasti lůžka odoperované ledviny a/nebo metastatickým procesem paraaortálních uzlin, u 1 pacienta s metastázou v m. psoas (obr. 1., 2., 3.)
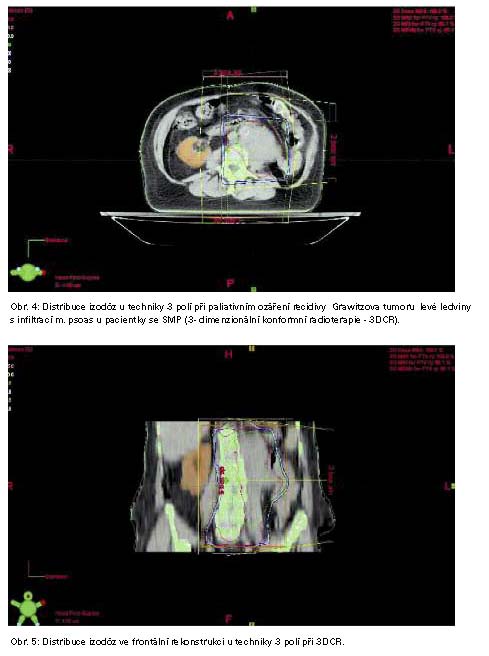
Léčba SMP zářením byla u 4 pacientů (obr. 4., 5., 6.) zářením, imunoterapii 1x a chemoterapií 1x.
DISKUZE
Postižení m. psoas může být z různých důvodů, kromě infiltrace nádorem či postižení metastázami, může se zde diagnostikovat absces, hematom. Metastatické postižení je zřídkavé a hypotézy, zdůvodňující málo časté místo vzdálených metastáz, jsou různé. Díky vyšetření CT a MR je diagnóza SMP usnadněna (L.Lenchik et al., 1993).
Od r. 1990, kdy M. Stevens poprvé popsal SMP, do r. 2002 bylo popsaných v literatuře 23 případů SMP.
ZÁVĚR
Prognóza pacientů se syndromem maligního psoatu je špatná. Paliativní radioterapie spolu s analgetickou léčbou může poskytnout úlevu od kruté bolesti, a tak zlepšit kvalitu zbývajícího života, který bývá již velmi krátký. U maligních nádorů ledvin se nabízí otázka, zda radioterapie u pokročilejších nádorů má svoje opodstatnění. Věříme, že kdyby se pomýšlelo na možnost SMP, symptomatologie by nás dříve vedla k CT vyšetření a popis postižení m. psoas by byl častější a event. paliativní léčba by mohla být zahájena dříve.
Literatura:
- Ampil F. L, Lall C, Datta R. Palliative management of metastatic tumors involving the psoas muscie: case reports and review of the literature. Am. J. Clin. Oncol. 2001 Jun., 24(3), p.313-4.
- Lenchik L., Daniel J., Kier R. CT of the Iliopsoas Compartment:
Value in Differentiating Tunor, Absces, and Hematoma. American
Roentgen Ray Society,1993, 0361-803X/94/1621-0083.
- Stevens M. J., Gonet Y. M. Malignant Psoas Syndrome: Recognition of an Oncologic Entity, Australas Radiol. 1990, 34, p. 150-154
Datum přednesení příspěvku: 10. 10. 2008
