Konference: 2008 13. ročník odborného sympózia na téma Onkologie v gynekologii a mammologii a 3.ročník pro NLZP
Kategorie: Zhoubné gynekologické nádory
Téma: Postery
Číslo abstraktu: 044p
Autoři: MUDr. Lubomír Slavíček; MUDr. Stanislava Cahová
Karcinom děložního čípku představuje onemocnění s incidencí 15/100.000 žen, která stále klesá. Tradiční léčbou je operace a/nebo radioterapie. Použití chemoterapie je jen okrajové, nepočítáme-li dnes již standardní konkomitantní podávání cis-platiny (nebo paclitaxelu) souběžně s radioterapií.
V případě relapsu je prognosa pacientek špatná a 90% pacientek zmírá do 5 let. U lokálních recidiv lze zvažovat lokální léčbu, která nebyla použita v první linii. U vzdálených relapsů je nutno jako základní modalitu volit systémovou léčbu, tedy chemoterapii. V poslední době se zkouší i použití Avastinu. V každém případě ale jde o paliativní léčbu.
CHEMOTERAPIE U KARCINOMU ČÍPKU:
Od studií GOG 26 a 43 v 80.letech je za standard
léčby pokročilého a recidivujícího karcinomu čípku považována
cis-platina v dávkování 50 mg/m2 lx za 3 týdny. Další cytostatika
prokázala maximálně stejnou účinnost. Ve snaze o zlepšení výsledků
byla CDDP kombinována s dalšími cytostatiky. Přestože bylo dosaženo
vyššího počtu odpovědí než v monoterapií, celkové přežití nebylo
prodlouženo.

Topotecan, inhibitor topoizomerázy I, vykázal
aktivitu v monoterapii i v kombinaci s CDDP. Tuto kombinaci vybrala
GOG pro studii fáze III u pokročilého karcinomu čípku.
V roce 2005 byla zveřejněny její výsledky.
Studie GOG 179 jako první prokázala delší přežívání v rameni s
kombinovanou léčbou oproti ramenu se samotnou cis-platinou.
KAZUISTIKA:
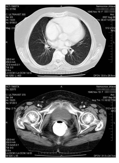
Pac. J.C., ročník 1946. V anamnéze Ebsteinova
anomálie plícnice, jinak bez komorbidit. V březnu 2006 léčena pro
karcinom děložního čípku pT1b pN0 M0 operací podle Wertheima.
Histologicky šlo o epidermoidní karcinom. V dubnu 2007 vysloveno na
vaginálním UZV podezření na lokální recidivu. V květnu 2007
potvrzena lokální recidiva v pánvi a navíc zjištěny mnohočetné
metastázy do plic.

Pacientka zahájila chemoterapii režimem CDDP +
topotecan v dávkování CDDP 50 mg/m2 1.den a topotecan
0,75 mg/m2 1.-3.den s intervalem 3 týdnů. Po. 4.cyklu v
srpnu 2007 byla provedena kontrolní CT vyšetření a bylo zjištěno
úplné vymizení všech metastáz na plicích. Podobně vymizel i
patologický nález v malé pánvi. Po podání 5 cyklu byla léčba
ukončena.

Podle předpokladu byla klinicky nejvýznamnější
hematologická toxicita, zejména trombocytopenie, která si opakovaně
vyžádala podání trombonáplavů. Růstové faktory nebyly podávány
vůbec. Všechny cykly byly podány v termínu a nebylo nutno
prodlužovat intervaly ani redukovat dávku topotecanu..

Nehematologická toxicita byla minimální a
nevyžádala si zvláštních opatření. Antiemetika ovšem byla podávána
preventivně v rámci každého cyklu. Dnes je pacientka 4 měsíce od
skončení léčby a je stále bez známek onemocnění.
ZÁVĚRY:
- Potvrdila se dobrá účinnost kombinace CDDP+etoposid
- Tolerance léčby byla velmi dobrá
- Léčbu provázela významná hematologická toxicita, zejm.trombocytopenie
- Na dobré odpovědi se pravděpodobně podílela skutečnost, že šlo o terén bez předchozí radioterapie a chemoterapie CDDP
Datum přednesení příspěvku: 18. 1. 2008
