Konference: 2010 XVII. Jihočeské onkologické dny
Kategorie: Zhoubné gynekologické nádory
Téma: Nádory děložního hrdla
Číslo abstraktu: 012
Autoři: MUDr. Věra Benešová; MUDr. Lubomír Slavíček; MUDr. Stanislava Cahová; MUDr. Marie Havlásková
Karcinom děložního čípku představuje onemocnění s incidencí 15/100.000 žen, která stále klesá. Tradiční léčbou je operace a/nebo radioterapie. Použití chemoterapie je jen okrajové, nepočítáme-li dnes již standardní konkomitantní podávání cis-platiny souběžně s radioterapií.
V případě relapsu je prognóza pacientek špatná a 90 % pacientek umírá do 5 let. U lokálních recidiv lze zvažovat lokální léčbu, která nebyla použita v první linii. U vzdálených nebo inoperabilních relapsů a u metastatického onemocnění je nutno jako základní modalitu volit systémovou léčbu, tedy chemoterapii. V každém případě ale jde o paliativní léčbu.
Chemoterapie u karcinomu čípku
Od studií GOG 26 a 43 v 80. letech je za standard léčby pokročilého a recidivujícího karcinomu čípku považována cis-platina v dávkování 50 mg/m2 1x za 3 týdny. Další cytostatika prokázala maximálně stejnou účinnost. Ve snaze o zlepšení výsledků byla CDDP kombinována s dalšími cytostatiky. Přestože bylo dosaženo vyššího počtu odpovědí než v monoterapii, celkové přežití nebylo prodlouženo (tab. 1).
Tabulka 1: Průměrné počty odpovědí (CR+PR) na jednotlivá cytostatika a kombinace.

Topotecan, inhibitor topoizomerázy I, vykázal
účinnost v monoterapii i v kombinaci s CDDP.
V roce 2005 byly zveřejněny výsledky studie fáze
III GOG 179. V rameni s režimem CDDP+topotecan bylo dosaženo 28 %
objektivních odpovědí a poprvé bylo dokumentováno delší přežívání
oproti ramenu se samotnou cis-platinou.
Soubor pacientek:
V letech 2007–2009 jsme léčili celkem 6 pacientek
s relabujícím karcinomem čípku děložního. Charakteristiku souboru a
výsledky léčby uvádí tabulka č. 2. Všechny pacientky obdržely 5–6
cyklů režimu CDDP 50 mg/m2 1. den + topotecan 0,75
mg/m2 1.–3. den s intervalem 3 týdnů.

Výsledky:
U 1 pacientky byla dosažena CR, u 1 PR, u 2
pacientek byla dosažena stabilizace a u 2 progrese
onemocnění.
Z nežádoucích účinků byla klinicky nejvýznamnější
hematologická toxicita, která byla zaznamenána u všech pacientek. U
1 pacientky byla natolik závažná, že si vyžadovala podání
trombonáplavů. Růstové faktory nebyly podávány. U žádné pacientky
nebylo nutno prodlužovat intervaly ani redukovat dávku topotecanu.
Nehematologická toxicita byla minimální a nevyžádala si zvláštních
opatření. Antiemetika byla podávána preventivně v rámci každého
cyklu.
Kazuistika:
Pac. J. C., ročník 1946. V anamnéze Ebsteinova
anomálie plícnice, jinak bez komorbidit. V březnu 2006 léčena pro
epidermoidní karcinom děložního čípku pT1b pN0 M0 operací podle
Wertheima. V dubnu 2007 zjištěna lokální recidiva (obr. 1) a navíc
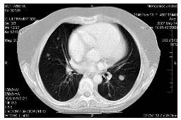
mnohočetné metastázy do plic (obr. 2).
Obr.1

Obr.2


Pacientka zahájila chemoterapii režimem CDDP +
topotecan v květnu 2007. Po 4. cyklu v srpnu 2007 byla provedena
kontrolní CT vyšetření a bylo zjištěno úplné vymizení všech známek
nemoci jak v pánvi (obr. 3), tak na plicích (obr. 4).

Závěr
Potvrdila se dobrá účinnost kombinace
CDDP+Hycamtin. Léčba byla dobře tolerována, nejvýznamnějším
nežádoucím účinkem byla hematologická toxicita, zejm.
trombocytopenie, ale zcela reverzibilní. Pacientky, léčené primárně
operací dosáhly lepší výsledky než léčené radioterapií +CDDP.
Literatura
- Long H. J., Bundy B., Grendys E. C., et al.: Randomized phase
III trial of Cisplatin with or without topotecan in carcinoma of
the uterine cervix: a gynecologic oncology group study, J Clin
Oncol, 23: 4623–33, 2005.
- Moore D. H.: Chemotherapy for Advanced, Recurrent, and
Metastatic Cervical Cancer, Journal of the NCCN,Network Vol 6, 1,
Jan. 2008.
- Robati M., Holtz D., Dunton C. J.: A review of topotecan in
combination chemotherapy for advanced cervical cancer, Therapeutics
and Clinical Risk Management 4(1) 213–218, 2008.
- Pazdur R., Wagman, L. D., Camphausen K. A., Hoskins W. J.
(eds.): Cancer Management:
A Multidisciplinary Approach, 12th Edition, 2010.
Datum přednesení příspěvku: 15. 10. 2010
