Konference: 2010 15. ročník odborného sympózia na téma Onkologie v gynekologii a mammologii
Kategorie: Zhoubné nádory prsu
Téma: Radiační onkologie, Personalizovaná léčba
Číslo abstraktu: 015
Autoři: MUDr. Pavol Lukačko; Z. Dolinská; MUDr. Margita Pobijáková; MUDr. Andrea Masaryková; Šśepanović
- Štandardom adjuvantnej liečby pre early breast cancer je WBI (whole breast irradiation)
- Výsledky prežívania porovnateľné jako po ME
- Mnoho rokov je známa asociála medzi pozitívnym resekčným
okrajom po BCS a rizikom lokálního zlyhania
Van Limbergen 1987; Bartelink 1998; Newman 2005) - U 20-40% pacientov je možné detekovať mikroskopický tumor do
vzdálenosti 2cm od primárneho tumoru
(Perez 2008)
Vzťah pozitivity resekčnej línie a rizika lokálního zlyhania po
BCS

- Benefit boostovať lôžko tumoru po BCS bol potvrzený dvoma
randomizovanými štúdiami
Romestaing it al JCO 1997; Bartelink et al JCO 2007)
EORTC 22881 - ´boost-no-boost trial´ Lokálne zlyhanie vzhľadom na vek pacientky
Indikácie pre boost po BCS
- <60 rokov, kompletná resekcia – vždy boost (low boost? / high boost?)
- >60 rokov, kompletná resekcia – boost môže byť vynechaný, alebo low boost
- Pozitivné resekčné okraje – vždy boost (high boost 26Gy?)
Kontúrovanie boostu CTV-PTV, literatura
Klinicky definované lôžko vs klipy
Neadekvátna pozícia klinicky definovaného lôžka:
- 9/24 (37%) Denham&Carter 1988
- 19/35 (54%) Bedwinek 1993
- 34/50 (68%) Harrington et al 1996
Klinicky definované lôžko vs CT definované lôžko (Messer et al, R&O 1997):
- 34/45 (75%) zmena energie elektrónov
- 12/45 (26%) zmena veľkosti poľa
CTV by malo byť definované na základe:
- Predoperačného klinického vyšetrenia
- Predoperačných zobrazovacích metód (NMG, USG)
- Zmeny viditeľné na CT: jazva, seróm, klipy
Problémy:
- Málo informácií potrebných na presné definavanie (napr.chirurg nepoužije klipy)
- Zavádzajúce informácie (napr.migrácia klipov)
- Nepresnosť v lokalizácii lôžka v prípade oncolpastic Sumery
Definícia boost CTV

Veľkosť CTV a PTV lemov
- CTV Lemy
- Holland et al: >2cm
- Vinci et al 2004: 1cm
- Young boost trial: 1,5cm
- PTV lemy:
- Literatura: variácie od 0,5-1cm
- Young boost trial: 0,5cm
Konzervatívne chirurgické prístupy
Potenciálna redukcia boost CTV po rekonštrukčnej operácii
prsníka

Pooperačné zmeny a remodelácia prsníka

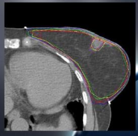
Interobserver variability of CTV breast and CTV boost
18 pacientov, objem prsníka a boostu kontúrovaný:
- 2 radiačnými onkológmi
- 2 študentami
- Rádiológom
Conformity index (CI)=0,56

Struikmans et al, R&O 2005
Vzťah medzi časom od operácie a objemom operačnej
kavity

Čas od operácie má väčší vplyv na objem operačnej kavity jako
použitá chirurgická technika
Doporučenia pre delineáciu CTV a PTV boostu
- CTV boost:
- Tkanivo prsníka okolo tumoru (před lumpektómiou) + lem 1,5cm
- Zabrať do objemu klipy a vnútornú jazvu!!!
- Alebo: kavita po excízii (seróm) + 1,5cm
- PTV boost:
- CTV + 0,5cm vo vrtkých smeroch (rátať s nepresnosˇami nastavenia, pohybom orgánov)
- V prípade elektrónového poľa nie je definovaný lem zo strany vstupu poľa
Take home message
- Konzultovať chirurgov ohľadom ich techniky klipovania (kam klipy umiestňujú, uviesť ich polohu do operačného protokolu)
- Seróm a pooperačné zmeny (vnútorná jazva) – časová závislosť!!!
- Prínos CT v liečebnej polohe před operáciou?
Datum přednesení příspěvku: 8. 1. 2010
