Konference: 2012 XIX. Jihočeské onkologické dny
Kategorie: Nádory hlavy a krku
Téma: Postery
Číslo abstraktu: 51
Autoři: MUDr. Viktor Maňásek; Iveta Kociánová; MUDr. Petra Jarolímová
Zabezpečení adekvátního trvalého žilního vstupu je možností, jak usnadnit průběh střednědobé nebo dlouhodobé protinádorové léčby, která je vedena převážně nitrožilní formou. Pacienti s nádory hlavy a krku představují specifickou skupinu pacientů, kde je parenterální terapie často vyžadována v průběhu chirurgické intervence nebo radioterapie, pro podávání chemoterapie a případně cílené léčby. Vlastnosti podávaných cytostatik mnohdy vyžadují aplikaci do centrálního řečiště (např. kontinuální 5-fluorouracil), přičemž zajištění centrální žíly klasickými přístupy může být obtížné v případech, kdy anatomické poměry nejsou ideální (rozsáhlé tumorosní postižení krku, lymfedém, poradiační a pooperační změny…).
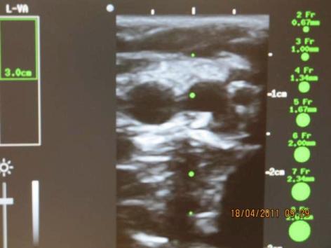
Prezentujeme výhody zavedení periferní cestou implantované centrální kanyly (PICC) coby permanentního žilního vstupu u pacientů s nádory hlavy a krku a srovnání s ostatními možnostmi zajištění žilního vstupu. PICC je zaveden za přímé ultrazvukové navigace s užitím sterilního návleku cestou jedné z žil v oblasti mediální strany paže v.basilica, v.brachialis nebo v.cephalica (obr. 1,2,3).
Obr. 1 Znázornění punkce za ultrazvukové navigace
Obr. 2 Punkce s užitím sterilního návleku na ulztrazvukové sondě
Obr. 3 Obvyklý ultrazvukový obraz žil v oblasti mediální strany paže
Konec katetru je umístěn v oblasti kavoatriální junkce, splňuje tedy kriteria pro centrální žilní vstup (obr. 4).
Obr. 4: Konec katetru umístěn v oblasti kavoatriální junkce.
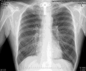
Katetr je v oblasti vnitřní strany paže fixován bez nutnosti sutury (obr. 5). Poloha katetru je ověřena skiagraficky (obr. 6).

Obr. 5: PICC in situ. Obr. 6: Skiagrafický obraz PICC.
Na onkologickém oddělení Nemocnice Nový Jičín zavedeno dosud 114 PICC katetrů, v 10 % případů se jednalo o pacienty s nádory ORL oblasti.
V grafu č. 1 a 2 jsou znázorněny důvody implantace PICC a diagnózy, u kterých bylo zavedení PICC indikováno. Průměrná délka zavedení PICC byla u pacientů k 1. 9. 2012 cca 91 dní, což odpovídá tříměsíčnímu průměru délky zavedení kanyl u pacientů s dalšími malignitami.
Výhody PICC byly evidentní především v případě nutnosti střednědobé protinádorové terapie s nutností časté parenterální aplikace léčiv a výživy. S ohledem na nevhodné anatomické poměry u pacientů s nádory hlavy a krku (viz. obr. 7 10) byla implantace PICC optimální alternativou k zavedení klasické centrální venozní kanyly (CVK).


Obr. 7 – 10:
Nevhodné anatomické poměry ke kanylaci centrální žíly klasickými způsoby, optimálně indikace pro zavedení PICC.
Při průměrném používání katetrů po dobu 3 měsíců je zavedení PICC rovněž ekonomickou i bezpečnější variantou ve srovnání s implantací portu. Katetrová infekce se nevyskytla u žádného pacienta s nádory ORL oblasti vztaženo na souhrnnou dobu 1000 dní, po kterou byly katetry implantovány
Tab. 1: Indikace k zavedení PICC u pacientů s nádory hlavy a krku
| Podání chemoterapie nebo cílené terapie (vč. kontinuálního 5-fluorouracilu s nutností aplikace do centrálního řečiště) |
|
Infuzní hydratace, iontová infuzní substituce |
|
Protiinfekční léčba |
|
Parenterální výživa |
|
Podání krevních derivátů |
|
Absence periferního přístupu pro podávání nitrožilních léčiv |
|
Analgoterapie |
Tab. 2.:Typy nitrožilních kanyl používaných v onkologii
| Druh katetru |
Trvání terapie |
pH a osmolalita |
Umístění konce katetru |
Materiál |
|
Periferní kanyla (flexila) |
do 6 dní ( CDC doporučení) |
pH 5-9 osm do 500 mosm/l |
periferní žíly končetin |
teflon a polyuretan |
|
Midline katetr |
střednědobá léčba, obvykle 2-4 týdny |
pH 5-9 osm do 500 mosm/l |
v.basilica nebo v.cephalica (pod úrovní v.axillaris) |
silikon nebo polyuretan |
|
PICC |
střednědobá a dlouhodobá léčba, obvykle do 6 měsíců |
jakékoliv pH jakákoliv osm |
dutá žíla (SVC nebo IVC) |
silikon nebo polyuretan |
|
Netunelizovaná CVK (implantovaná centrálním přístupem) |
krátkodobé použití, obvykle 7 dní |
jakékoliv pH jakákoliv osm |
dutá žíla (SVC nebo IVC) |
silikon nebo polyuretan, polyetylen, PVC |
|
Tunelizovaná CVK |
střednědobá a dlouhodobá léčba, obecně přesahující 6 týdnů |
jakékoliv pH jakákoliv osm |
dutá žíla (SVC nebo IVC) |
silikon nebo polyuretan |
|
Implantabilní port |
dlouhodobá léčba, většinou přesahující 6 měsíců |
jakékoliv pH jakákoliv osm |
dutá žíla (SVC nebo IVC) |
silikon nebo polyuretan |
CDC = Centers for Disease Control and Prevention, SVC = superior vena cava, IVC = inferior vena cava, CVK = centrální venózní katetr, PICC = periferní cestou implantovaný katetr („peripherally implanted central catheter“). ©Bard
Tab. 3.:Výhody implantace PICC oproti zavádění CVK u skupiny pacientů s nádory ORL
|
1. Zajištění středně-dlouhodobého centrálního žilního vstupu |
|
2. Možnost podávání kontinuálního 5-fluorouracilu do centrálního řečiště bez nutnosti opakovaných punkcí velkých žil |
|
3. Vyhnutí se nevhodným poměrům pro kanylaci centrální žíly klasickými přístupy (nádorové masy v obl.krku/nadklíčků/podklíčků, lymfedém, poradiační a pooperační změny) |
|
4. Eliminace rizik spojených bezprostředně s kanylací v.subclavia nebo v.jugularis (pneumothorax, tepenné krvácení…), jelikož PICC je zaveden cestou žíly v obl. paže |
|
5. Redukce infekčních komplikací – menší kalibr PICC, umístění žilního vstupu mimo kompromitovanou oblast (ozařovací pole, vstup do tracheostomické kanyly…) |
|
6. Bezbečná volba zajištění centrálního vstupu i v případě trombocytopenie nebo koagulopatie |
|
7. Nižší riziko trombotických komplikací (menší kalibr PICC, šetrnější materiál – silikon) |
Datum přednesení příspěvku: 19. 10. 2012

