Konference: 2015 8. Winter GLIO TRACK Meeting
Kategorie: zhoubné nádory mozku a CNS
Téma: Primární nádory mozku
Číslo abstraktu: 02
Autoři: MUDr. Miluše Dolečková, Ph.D.; Ing. Dana Králová; MUDr. Jana Kutová; Ing. Alena Chourová (Studynková); P. Kučera; MUDr. Václav Janovský
Anamnéza
Pacientovi M.P., v jeho 36 letech, byla stanovena dg Glioblastoma multiforme (GBM) WHO gr. IV. vlevo parietotemporálně.
RA: onkol. nevýznamná
OA: ve 26 l. epilepsie, od 33 let hypercholesterolémie, hypertenze
AA: negat.
RF: kuřák asi 8 let, až 20 cigaret/den, již 10 let nekouří, alkohol málo, černá káva 2-3/den, drogy neguje
PA : pracoval jako řidič- silničář
NO: v r. 2000 krátkodobé bezvědomí při práci v lese, vyšetřen v nemocnici v Pelhřimově, na EEG diagnostikovali epilepsii. CT mozku bpn. Odebrán řidičský průkaz, kontroly na neurologii r. 2000-2003, EEG v normě, léčba ukončena, navrácen řidičský průkaz. Až do r. 2010 bez potíží. Od jara 2010 únava po práci, od července bolesti hlavy, ustoupily po Ibuprofenu. Od 18.9.2010 silné bolesti hlavy, analgetika a opichy C páteře bez efektu, po převozu do nemocnice v Pelhřimově ztratil vědomí, po stabilizaci stavu transportován vrtulníkem na neurochirurgické odd. Nemocnice České Budějovice, a.s. Zůstává těžká expresivní fatická porucha.
Diagnostika
24.9.2010 MR mozku: TP expanzivní proces (cystoidní i solidní), kaudálním okrajem dosahuje až k tentoriu, velikosti 36x68x46mm. V okolí edém, dislokace středu asi o 14 mm do strany pravé.
Primární léčba
27.9.2010 provedena radikální extirpace tumoru na neurochirurgickém odd. Nemocnice České Budějovice, a.s.
Histologie: 27.9.2010: high grade gliom s rozsáhlými nekrózami ischemického typu, mikrocystická degenerace, endo i mikrovaskulární proliferace, úseky anaplastického astrocytomu, Ki67- 30%.
29.9.2010 MR mozku: pooperační reziduum neprokázáno, pooperační edém v okolí kavity, středočárové struktury téměř bez dislokace.
16.11.-29.12. 2010: konkomitantní chemoradioterapie (CHRT):
- a) Temodal 120mg denně po dobu RT
- b) X záření 6 MV tech. 2 kolmých polí na oblast temporoparietální vlevo, d. l. d. 2 Gy do celk. d. 50Gy, boost na oblast lůžka tumoru tech. IMRT do 60Gy.
Po CHRT pacient bez potíží, adjuvantní chemoterapie (CHT)- Temodal 430mg /den, 5 dní, celkem aplikováno 9 sérií po 3 týdnech od 1-9/2012 podávána na onkologickém odd. nemocnice v Pelhřimově.
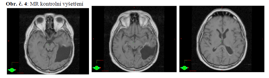
20.11.2011 MR mozku: bez známek tumoru CHT ukončena.
1. Recidiva – 21 měsíců po ukončení primární léčby
25.6. 2013 MR mozku: oproti lednu 2013 výrazná progrese obrazu- tkáňová masa 40x20x30mm podél trigona levé postranní komory nad a mediálně od poresekční likvorové dutiny, progreduje i edém.
10.7.2013 subtotální resekce recidivy GBM TP vlevo na neurochirurgickém odd. Nemocnice České Budějovice, a.s.
Histologie 10.7.2013: struktury high grade gliomu s nekrozou a s ložisky prokrvácení, v tumoru jsou zavzaty hyalinizované cévy s fibrotizovanou stěnou, endo i mikrovaskulární proliferace, převažuje nekroza a objemné proliferující cévy.
Imunohistochemie: p53 < 5%, EGFR: skore +2 ve 20%, MIB index v 5-8%, marker gliální proliferace: pozitivní, S 100 difusně pozitivní: Zá: Glioblastom, WHO gr. IV., převážně nekrotický
Adjuvantní CHT- Temodal - 430mg /den, 5 dní, celkem aplikováno 6 sérií po 3 týdnech od 8-12/2013 podávána na onkologickém odd. nemocnice v Pelhřimově.
16.9.2013 MR mozku: sycení v okrajích poresekční dutiny v terénu úklidové reakce mozkové (i možný podíl změn po chemoterapii) event. podíl tumor. tkáně nelze vyloučit.
10.2.2014 MR mozku: stacionární nález rezidua tumoru vlevo temporálně při ventrálním okraji resekční dutiny.
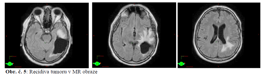
2. recidiva či progrese tumoru? – po 5 měsících od ukončení léčby
15.5.2014 MR mozku: výrazná multilokulární recidiva tumoru v okolí resekční dutiny vlevo temporálně a nově i na spodině 4. komory, šířící se do pravé mozečkové hemisféry.
Léčba 2. recidivy či progredujícího tumoru?
2.6.2014 tel. konzultace s prof. MUDr. P. Šlampou, CSc: vzhledem k multilokulárnímu postižení by byl rozsah pro stereotaktické ozáření velký. Vzhledem k věku a dobrému stavu (expresivní fatická porucha, lehká nejistota při chůzi) doporučuje i přes multilokulární lézi a předchozí RT (60Gy v r. 2010) chemoradioterapii: 15x-20x 2Gy + Temodal.
5.6.2014 mailová konzultace s doc. RNDr. P. Matulou s kontrolním výpočtem BioGray:
…. Pri reožarovaní môžete dodať až 140 % pôvodnej dávky, tzn. pri 60 Gy po 2 rokoch až 20F/2 Gy = 40 Gy.
Výstupy toto tvrdenie z literatúry potvrdujú.
Reporty su vztiahnuté na pauzy 427 dní , kedy regenerácia nie je ešte saturovaná a 593 dní, kde sa dosiahla regenerácia na úroveň 140 %
12.6.-1.7.2014: konkomitantní chemoradioterapie:
- a) Temodal 140mg denně v průběhu RT
- b) X záření 6 MV tech. IMRT na oblast recidivy, d. l. d. 2Gy do celk. d. 30Gy
Po ukončení CHRT, kterou dobře toleroval, celkový stav a kognitivní funkce zlepšené.
Adjuvantní CHT- Temodal - 450mg /den, 5 dní, celkem aplikovány 4 série po 3 týdnech od 7-10/2014, CHT podávána na onkologickém odd. nemocnice v Pelhřimově.
3. recidiva v průběhu adjuvantní CHT
18.11.2014 MR mozku (Multiscan Pardubice) Zá: Progrese nálezu implantační metastázy u posterolater. recesu 4. komory l. dx. ze 17 na 19 mm, progrese další implantační metastázy při mediální ploše temporálního laloku vlevo ze 2 na 10 mm a výrazná progrese všech 4 ložisek na periférii postresekční dutiny se šířením rostrálního ložiska do bazálních ganglií l.sin. s postižením zadního oddílu capsuly a bazálních ganglií.
Od 4.12-2014 2 série CHT Lomustin 160mg, podávána na onkologickém odd. nemocnice v Pelhřimově. Pacient toleruje léčbu dobře, je spokojen, není výraznější neuropatologický nález, přetrvává balbuties.
Diskuse:
- Recidiva GBM u našeho pacienta se vždy projevila expresivní afázií a po léčbě se vždy významně zlepšila až ustoupila. Pacient nyní se 3. recidivou GBM, léčen další řadou CHT, přežívá 4 roky 4 měsíce (od histologické verifikace GBM) v celkově dobrém stavu, s minimálním neurologickým nálezem (balbuties). Nabízí se spekulace, že již od r. 2000, kdy byl první neurologický příznak (epileptický záchvat), se mohlo jednat o nízkostupňový gliom, který nebyl na CT zaznamenán.
- V literatuře popsáno více jak dvacetileté přežití pacienta s GBM (Kumar A., et al, 2012)
- GBM je u dospělých nejčastější (asi 80%) a nejzhoubnější nádor mozku. Přežití pacientů je bohužel špatné, asi 1 rok od stanovení dg a zřídka pacienti přežijí 2 roky (Lo HW., 2010).
- Medián přežití je 12-14 měsíců, pouze 2-5% pacientů přežije >3 roky (Sonoda Y. et al, 2009).
- Prognostické faktory:
- věk (mladý pacient), pohlaví (ženské), vyšší předoperační Karnovského index
- široká resekce tumoru, CHRT a adjuvantní CHT
- molekulární faktory: p53 positivita, EGFR, PTEN, proliferační index, metylace MGMT (methyl - guanin methyl transferáza) promotoru (Sonoda Y.et al, 2009, Kumar A., et al, 2012)
- Po mnoho let měla snaha zlepšit špatnou prognózu pacientů s GBM malý úspěch navzdory různým změnám v RT (frakcionační schema, dávky, techniky) a adjuvantní chemoterapii. Posun ke zlepšení léčebných výsledků prokázal adjuvantní konkomitantní temozolomid s konvenční frakcionovanou RT, následovanou 6 sériemi tohoto cytostatika (Stupp R. et al, 2002).
- Výsledky randomisovaného trialu fáze III EORTC a NCIC v r. 2004 udávají zlepšení mediánu a 2letého přežití pacientů s radioterapií s konkomitantním a adjuvantním temozolomidem.
- V této skupině bylo celkové přežití : 27,2% ve 2 letech, 16% ve 3 letech, 12,8% ve 4 letech a 9,8% v 5 letech. Ve skupině u pacientů léčených RT bylo celkové přežití: 10,9% ve 2 letech, 4,4% ve 3 letech, 3,0% ve 4 letech a 1,9% v 5 letech.
- Vyhodnocení výsledků skupin pacientů s různým rizikem analýza potvrdila benefit z kombinované léčby pro všechny prognostické skupiny: nejmenší – u neresekabilních tumorů s pouhou biopsií větší efekt léčby - u max. resekce tumoru největší – u podskupiny s vyhodnoceným stavem metylace MGMT
- metylovaný MGMT byl vyhodnocen jako první prediktivní biomarker u mozkových tumorů
Radiobiologie:
- konkomitantní RT a temozolomid: oba inhibují bb růst GBM buněčných linií
- temozolomid indukuje blokádu v G2/M u GBM, tj. ve fázi, která je nejvíce radiosensitivní v bb cyklu, vede ke zvýšení radiačně indukované DNA double-strand breaks a buněčné smrti u GBM modelu, ale pouze v konkomitantním, nikoliv v sekvenčním podání
- poškození DNA je rychle reparováno MGMT, nikoliv metylovaným MGMT, proto byl stav metylace MGMT vyhodnocen jako jasný prediktor lepších výsledků RT s temozolomidem (Stupp R. et al, 2009).
Závěr:
Je délka života u pacientů s GBM jen náhoda? Ne, ale faktorů, které ovlivní přežití je určitě velmi mnoho. Některé z nich můžeme ovlivnit (operace, RT, CHRT), některé jsou dané (věk, celkový stav pacienta...), některé již můžeme postupně zjišťovat (molekulární markery) a některé ještě čekají na objevení.
Literatura:
- Kumar A., Deopujari C., Karmarkar V. A case of glioblastoma multiforme with long term survival: can we predict outcome? Turk Neurosurg. 2012, 22(3): 378-38
- Lo HW., EGFR-Targeted Therapy in Malignant Glioma: Novel Aspects and Mechanisms of Drug Resistence. Curr Mol Pharmacol. 2010, 3(1): 37-52
- Sonoda Y., Kumabe T., Watanabe M., et al. Long-term survivors of glioblastoma: clinical features and molecular analysis. Acta Neurochir. 2009, 151:1349-1358
- Stupp R., Hegi M.E, Mason WP. et al, Effect of radiotherapy with concomitant and adjuvant temozolomide versus radiotherapy alone on survival in glioblastoma in randomised phase III study: 5-year analysis of the EORTC-NCIC trial Lancet Oncol. 2009, 10:459-466
Datum přednesení příspěvku: 13. 2. 2015
