Konference: 2008 13. ročník odborného sympózia na téma Onkologie v gynekologii a mammologii a 3.ročník pro NLZP
Kategorie: Onkologická diagnostika
Téma: Doporučené diagnostické algoritmy v případě podezření na lokální recidivu či diseminaci karcinomu prsu, léčba recidivujícího a disseminovaného ca prsu, biologická terapie, indikace
Číslo abstraktu: 005
Autoři: MUDr. Marie Bendová, CSc.
- Prodloužení střední délky života (fixace mutací)
- Zlepšení diagnostiky (screeningové programy)
- Zlepšení léčebných onkologických možností (survival)
- Delší přežívání onkologicky nemocných
- Vliv zhoršujícího se zevního prostředí (chemizace, hormonizace)
- Životní styl (stres, pracovní tempo, nedostatek pohybu, nadužívání léků, nevhodná strava, drogy)
Pravděpodobnost recidivy
- Vztah (interakce)mezi
-
- -tumorem(rizikové faktory, vlastnosti, biologické chování, pokročilost v době záchytu, gene profiling, tumor signature)
- -hostitelským organismem(imunitní systém, aktuální zdravotní stav, genetické vybavení –mutace onkosupresorových genů, overexprese onkogenů)
Pravděpodobnost recidivy vzrůstá
- Delším přežívánímnemocných díky zlepšeným léčebným možnostem (survival)
- Dobrou diagnostikou, dispenzarizací
- Při špatných prognostických znacíchtumoru (lokální, vzdálená)
- Při neadekvátní či nedostatečné terapii
- Genetické dispozice(BRCA l,2, Lynchův syndrom, Cowdenův syndrom, Peutz-Jeghers sy)
Nejčastější duplicity (s Ca mammae)
Ovarium
Endometrium
Cervix
Vulva, vagina
Štítná žláza
M.Hodgkin, lymfomy
Močový měchýř
Ledviny (Grawitz)
Tlusté střevo
Prs (kontralaterální)
Kůže (melanom, basaliom)
Plíce (malo-i nemalobuněčný Ca)
Karcinoid (plicní, GIT)
Appendix
Nejčastější duplicity (s gynekologickou malignitou)
Ovarium+cervix
Ovarium + vagina
Ovarium + endometrium
Ovarium + polycytemia vera
Ovarium + plíce
Ovarium + tlusté střevo
Cervix + endometrium
Endometrium a močový měchýř
Cervix a močový měchýř
Cervix + plíce
Cervix + Grawitzův tumor
Vulva + lymfom
Cervix a tlusté střevo
Endometrium + štítná žláza
Endometrium + vulva
Endometrium + melanom

Triplicita – Lynchův syndrom
Prs + cervix (endometroidní adenokarcinom se squamozní složkou) + tlusté střevo

Diagnostika
- Recidiva základní choroby nebo
- Duplicitní nádor nebo
- Recidiva některého ze stávajících maligních onemocnění
Diagnostika recidivy x duplicity
- Klinická(lokální x vzdálené –palpace, symptomatologie)
- Laboratorní(tumor markery, KO + diff., hormonální hladiny)
- Zobrazovací metody(UZ,MG,laser MG, RTG,CT, NMR, CT-PET, scintigrafie)
- Histologická(laparotomie, laparoskopie, bronchoskopie, exstirpace, excise, stereobiopsie aj.)
- Genetická
Algoritmus vyšetření
- Rychlost
- Průkaz 2 metodami
- Dle lokality (lokální) –palpace + zobrazovací metoda + biopsie (cytologie)-exstirpace, core cut biopsy, punkční metody
- Dle lokality (vzdálené + zobrazovací metoda-UZ,RTG,CT,MRI,CT-PET, scinti, operační-LPSK,LPT)
- Tu markery
Diferenciální diagnostika
Recidiva Ca mammae
nebo
Duplicita (Ca ovarii)
Diagnostické metody
- Tumorové markery
- UZ
- Punkce ascitu
- Laparotomie (peroperační biopsie)
1. Recidiva (generalizace do dutiny břišní) –pac. M.T., tu markery, sono, laparotomia, peroperační biopsie

Recidiva (generalizace do dutiny břišní) –pac. M.T., tu markery, sono, laparotomia, peroperační biopsie

Recidiva (generalizace do dutiny břišní) –pac. M.T., tu markery, sono, laparotomia, peroperační biopsie

Recidiva(generalizace do dutiny do břišní) ––pac. M.T., sono, laparotomia, peroperační biopsie

Recidiva(generalizace do dutiny do břišní) ––pac. M.T., sono, laparotomia, peroperační biopsie

2.Recidiva (generalizace do dutiny břišní, st.p.HY a AE) pac.J.U,tu markery, punkce ascitu, cytologie

Recidiva (generalizace do dutiny břišní, st.p.HY a AE), tu markery, pac.J.U, punkce ascitu, cytologie.

Recidiva (generalizace do dutiny břišní, st.p.HY a AE), tu markery, pac.J.U, punkce ascitu, cytologie.

3.Duplicita (pac.M.B.-tu markery, laparotomia, radikální operace pro Ca ovarii, peroperační biopsie)

Duplicita (pac.M.B.-tu markery, laparotomia, radikální operace pro Ca ovarii, peroperační biopsie)

Duplicita(pac.M.B.-tu markery, laparotomia, radikální operace pro Ca ovarii, peroperační biopsie)

Duplicita (pac.M.B -laparotomia, radikální operace pro Ca ovarii, peroperační biopsie)

Diferenciální diagnostika
Recidiva Ca mammae
(generalizace do plic)
nebo
Duplicita Ca plic
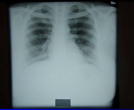
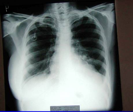
1.Generalizace (pac.L.U. . ––RTG, CT)

Generalizace (pac.L.U. . ––RTG, CT)

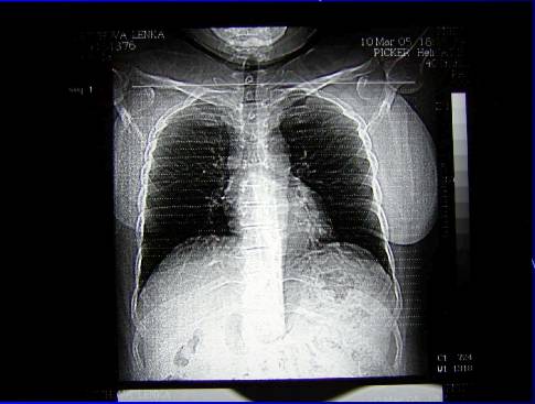
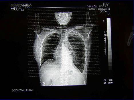
2.Duplicita (pac.H.M.– RTG,CT, CT-PET,UZ,bronchoskopie,cytologie, chirurgická intervence -biopsie -karcinoid)

Duplicita (pac.H.M. . ––RTG,CT,UZ, CT-PET,bronchoskopie,cytologie, chirurgická intervence-biopsie -karcinoid)

Diferenciální diagnostika
- Duplicita M.Hodgkin + Ca mammae
-
Recidiva M.Hodgkin
nebo- RecidivaCa mammae
1.Recidiva Ca mammae (pac. L.B.. tumor. markery, UZ, CT, CT-PET, exstirpace susp. uzliny-biopsie)

Recidiva Ca mammae (pac.L.B. tumor. markery, UZ, CT, CT-PET, exstirpace susp.uzliny-biopsie)

Recidiva Ca mammae (pac.L.B.. tumor. markery, UZ, CT, CT-PET, exstirpace susp.uzliny-biopsie)

Recidiva Ca mammae (pac. L.B. tumor. markery, UZ, CT, CT-PET, exstirpace susp.uzliny-biopsie)

Recidiva Ca mammae (pac. L.B. tumor. markery, UZ, CT, CT-PET, exstirpace susp.uzliny-biopsie)

Recidiva Ca mammae (pac. L.B. tumor. markery, UZ, CT, CT-PET, exstirpace susp.uzliny-biopsie)

Recidiva Ca mammae (pac. L.B. tumor. markery, UZ, CT, CT-PET, exstirpace susp.uzliny-biopsie)

Diferenciální diagnostika
Triplicita
Ca mammae
+ melanom
+Ca štítné žlázy
1.Recidiva Ca mammae (Ca meta do jater ) (pac.A.B.-tu markery, sono, CT, CT-PET, punkční cytologie, od biopsie ustoupeno)

Recidiva Ca mammae (Ca meta do jater) ) (pac.A.B.-tu markery, sono, CT, CT-PET, punkční cytologie, od biopsie ustoupeno)

ZÁVĚR : Verifikace recidivy x průkaz nového tumoru
- Náročná finančně - náklady na vyšetření (většinou několik)
- Někdy obtížná,jindy snadnější
- Náročná na psychiku pacienta i terapeuta
- Pokud průkaz trvá déle (při nejistotě), odkládá se i doba zahájení terapie
- Volba terapie (vyčerpané možnosti, kumulativní dávky, dražší preparáty II. a další linie, resistence nádorů)
- Úspěch terapie recidivy – odpověď na léčbu většinou menší než u primárního tumoru
Datum přednesení příspěvku: 18. 1. 2008
