Konference: 2012 XXXVI. Brněnské onkologické dny a XXVI. Konference pro sestry a laboranty
Kategorie: Zhoubné nádory prsu
Téma: 06. Nádory prsu
Číslo abstraktu: 051
Autoři: MUDr. David Pavlišta, PhD; prof. MUDr. Oldřich Eliška, DrSc.
Metastatické postižení axilárních uzlin je silným negativním prognostickým faktorem, který výrazně modifikuje další léčbu pacientek s karcinomem prsu. Dříve paušálně používanou metodou axilárního stagingu karcinomu prsu byla exenterace axily s následnou výraznou pooperační morbiditou (lymfedém, parestezie, omezení hybnosti horní končetiny). Postupným zaváděním screeningových programů pro karcinom prsu a etablovala jako metoda volby axilárního stagingu biopsie sentinelové uzliny. Překvapivě však i při této minimálně invazivní metodě, kdy je pomocí lymfatického mapování (podkožní aplikace patentové modři a radioisotopů) nalezena a exstirpována první spádová uzlina tzv. sentinelová) je výskyt lymfedému popisován mezi 3-13 % případů.
Potřeba dalšího snížení rizika vzniku lymfedému vedla ke zkoumání možností, jak identifikovat a zachovat lymfatika vedoucí lymfu z horní končetiny (HK), která procházejí axilou. Tak vznikl koncept „reverzního lymfatického mapování“ (axillary reverse mapping, ARM). ARM je založen na zobrazení lymfatické drenáže horní končetiny s cílem zachování lymfatik v průběhu operačního výkonu v axile. Vychází z předpokladu, že příčinou lymfedému je omezení odtoku lymfy z horní končetiny po přerušení lymfatik probíhajících axilou. Dalším předpokladem je, že lymfatika HK se nepodílejí na metastazování karcinomu prsu. Znamená to, že se předpokládá, že lymfatická drenáž prsu a HK je funkčně i anatomicky oddělená a lze ji peroperačně spolehlivě detekovat.
Protože jsem nenašli v literatuře práci, která by se podrobněji zabývala lymfatickou drenáží HK a jejím průběhem v axile, revidovali jsme RTG snímky přímých lymfografií HK provedených na Radiologické klinice 1. Lékařské Fakulty University Karlovy a Všeobecné Fakultní Nemocnice v Praze, které byly provedeny u zdravých probandů srovnávací (referenční) skupiny. Při přímé lymfografii je kontrastní látka (4-6 ml 38 % Lipiodol) aplikována přímo do vypreparovaných lymfatických cév, které jsou detekované po předchozí aplikaci barevného kontrastu (patentové modři).
Lymfografie jsme hodnotili ze dvou hledisek, která jsou významná pro chirurgickou intervenci v axile při léčbě karcinomu prsu a její komplikace. Zkoumali jsme, je – li lymfatická drenáž HK plně oddělitelná od lymfatické drenáže hrudníku a prsu a snažili se najít vysvětlení, proč po biopsii sentinelové uzliny u karcinomu prsu vzniká lymfedém HK.
Metodika
Zhodnocení přímých lymfografií axily a proximální části HK v RTG obraze byla provedena u 9 pacientů bez patologického nálezu, kteří byli v kontrolní skupině k pacientům s lymfedemem HK různých příčin. Lymfografie byly provedeny v letech z let 1969-1977.
Výsledky
Při přímé lymfografii HK se na těchto snímcích zobrazují jako první přívodné lymfatické kolektory, následně se zobrazují laterálně uložené uzliny v axile, poté uzliny v centrální části axily a následně uzliny přilehlé k hrudní stěně a uzliny ve vrcholu axily.
Na lymfografiích se ukázalo, že z HK odvádějí lymfu 2-4 hlavní přívodné kolektory, které v 5 případech z 9 vstupovaly do jedné uzliny, která byla umístěná v laterální části centrální axily (v úrovní 4.-6. žebra). Tato uzlina imponovala jako sentinelová uzlina pro HK. Ve 4 případech se kraniálně zobrazil kolektor, který směřoval přímo do uzlin v horní části centrální axily. Tento „kraniální“ kolektor měl četné anastomozy s ostatními kolektory ještě před vstupem do axilárních uzlin. Jako nejdůležitější nález však hodnotíme zobrazení četných lymfatických anastomoz, které probíhají mezi všemi zobrazenými uzlinami v axile, včetně kaudálně uložených uzlin v oblasti 4.-6. žebra, tedy tam, kde můžeme předpokládat nejčastější lokalizaci sentinelové uzliny prsu.
Na snímcích po 24 hodinách od aplikace se již nezobrazují lymfatické kolektory (v důsledku jejich vyprázdnění), ale zobrazuje se množství uzlin, které jsou rozptýlené ve velkém prostoru. To nasvědčuje tomu, že kontrast se z horní končetiny následně téměř rovnoměrně rozptýlil do nečekaně velkého množství lymfatických uzlin. Při topografickém srovnání se zobrazenými skeletárními strukturami (žebra, lopatka, pažní kost) můžeme usuzovat, že jsou zobrazeny pravděpodobně všechny skupiny spádových lymfatických uzlin, včetně uzlin běžně nepřístupných chirurgické intervenci (supraklavikulární). Vzhledem k jejich počtu a lokalizaci blízko u hrudní stěhy (žeber) lze předpokládat, že se současně jedná o spádové lymfatické uzliny pro prs. Kontrastní látka tedy neproudí lymfatickým řečištěm pouze centrálním směrem, ale v oblasti axily dochází k jejímu disperznímu rozptýlení do velkého množství spádových uzlin.
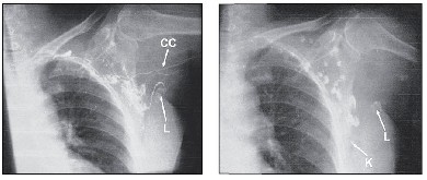
Příklady lymfografií

Závěr
Na základě rozborů nálezu na těchto lymfografiích se domníváme, že vztah lymfatické drenáže HK a prsu spolu velmi úzce souvisí. HK je drenována do uzlin, které jsou lokalizovány v laterální části axily. Sentinelové uzliny prsu jsou dle předešlých nálezů lokalizovány mediokaudálně v axile. Obě skupiny těchto sentinelových uzlin pro prs a pro HK jsou spolu spojeny četnými spojkami. Tyto spojky mohou být poškozeny při biopsii sentinelové uzliny u karcinomu prsu a způsobit tak lymfedém HK. Je otázkou, jakou roli ve vzniku lymfedemu hraje nekonstantně přítomný popisovaný kraniální kolektor, který vede lymfu přímo do centrálních axilárních uzlin.
Ve světle těchto poznatků se Axillary reverse mapping jeví stále jako metoda experimentální. K jejímuž hlubšímu porozumění je potřeba dalších studií.
Tato práce byla podpořena projektem IGA MZ NS 9773-4.
Datum přednesení příspěvku: 19. 4. 2012
