Konference: 2005 XXIX. Brněnské onkologické dny a XIX. Konference pro sestry a laboranty
Kategorie: Genitourinární nádory
Téma: Nádory ledvin
Číslo abstraktu: 113
Autoři: MUDr. Arne Rovný; MUDr. Petr Filipenský, Ph.D.; MUDr. Petr Řehořek; MUDr. Jana Katolická, Ph.D.
Svým vývojem prošla i diagnostika tohoto onemocnění. Začíná u pouhých klinických příznaků, ale klasická triáda hematurie, bolesti a hmatného nádoru umožňovala zjistit pouze pokročilé nádory. V první polovině minulého století posunuly možnosti diagnostiky nádorů ledvin rentgenové vyšetřovací metody, především vylučovací urografie a další kontrastní vyšetření včetně angiografií. Konec století pak patřil zavedení ultrazvuku a CT do běžné klinické praxe. Tato podstatně citlivější vyšetření umožňují zachytit onemocnění již v počátečních stádiích. Množství provedených vyšetření se však jen zčásti podílí na výrazném nárůstu incidence tohoto onemocnění v evropských zemích. Česká republika pak má v tomto parametru bohužel neslavné prvenství.
Chirurgická léčba tvoří základ terapie nemocných s karcinomem ledviny a jako jediná může být kurativní, což podmiňuje podstatně zlepšit životní prognózu nemocného. Všechny další léčebné modality (chemoterapie, imunoterapie, radioterapie) mohou být indikovány pouze jako doplnění operace nebo v případech inoperabilních nádorů, generalizovaných tumorů, nebo nemocných, kteří nejsou schopni nebo ochotni podstoupit operaci.
Operační přístupy k nadledvině jsou následující:
- lumbotomický
Je podle našich zkušeností nejvýhodnější. Při tomto přístupu je nemocný uložen v semilumbotomické poloze na boku. Přístup do retroperitonea je rychlý, nemusíme otevírat peritoneální dutinu a manipulovat se střevem. Získáme dostatečně prostorné a přehledné operační pole umožňující vlastní operaci ledviny, lymfadenektomii nebo výkon na dolní duté žíle. Z tohoto přístupu je možno revidovat jaterní parenchym. - transperitoneální
Dřívější snahy o primární podvaz renálních cév před vlastní manipulací s postiženým orgánem jako prevenci rozsevu nádorových buněk nejsou pro nemocného přínosem. Přístup tak nyní volí především chirurgická pracoviště, která jej využívají i při řadě jiných operací. - laparoskopický
I v České republice je v dnešní době několik pracovišť, která provádějí laparoskopické nefrektomie menších nádorů ledvin i výkony záchovné. Nevýhodou je obvykle delší operační doba. Tato je vyvážena kratší dobou hospitalizace a komfortnějším pooperačním obdobím pro nemocného.
1. Resekce ledviny s tumorem (nefron sparing surgery)
Zavedení této operace do běžné praxe je otázkou posledního desetiletí (dříve se prováděly pouze nefrektomie). Zhodnocení výsledků léčby nemocných se solitární nebo funkčně solitární ledvinou, kdy nebyl proveden radikální operační výkon, ukázalo, že je možno menší tumory resekovat bez zvýšeného rizika progrese choroby. Je však nutno respektovat pravidla dostatečné onkologické radikality. Pouhá enukleace tumoru nestačí. Je tedy nezbytné provést resekci postižené části ledviny dostatečně hluboko do zdravého parenchymu. Resekční linie je třeba odeslat na histologické vyšetření zvlášť. Je pochopitelné, že resekovat lze pouze nádory vhodné lokalizace a to především na periferii ledviny. U nemocných se zdravou kontralaterální ledvinou je podmínkou pro provedení této operace menší velikost tumoru (nádor kolem 4 cm). Počet recidiv u indikovaných operací nepřesahuje 5%. Na tomto místě je potřeba zdůraznit změnu kvality života nemocných po záchovných operacích. Týká se to nemocných s předoperačním nebo potencionálním nedostatkem funkčního renálního parenchymu. Jak jsme se opakovaně přesvědčili stačí u řady nemocných i jedna resekovaná ledvina na zachování renálních funkcí nevyžadujících medikamentózní nefrologickou terapii nebo dialyzační léčbu.
2. Radikální nefrektomie
Radikální nefrektomie spočívá v odstranění ledviny s tukovým pouzdrem, nadledvinky a lymfadenektomii. Pětileté přežití nemocných s lokalizovaným onemocněním (T1,T2) převyšuje 80 %. Operace nádorů dolního pólu nebo středního segmentu ledviny nevyžaduje provedení adrenalektomie. K této přistupujeme u tumorů horního pólu nebo nádorů rozsáhlých, kdy musíme vyloučit eventuální infiltraci nadledvinky tumorem. Radikální lymfadenektomie – odstranění paraaortálních nebo parakaválních lymfatických uzlin – neovlivní výrazně délku přežívání nemocného, umožní ale přesnější stanovení rozsahu postižení, což je přínosné pro rozhodování o dalším léčebném postupu. Přistupujeme k ní tedy tehdy, když jsou makroskopicky patrné zvětšené lymfatické uzliny.
3. Operace nádorového trombu renální vény a dolní duté žíly
V případě nádorové trombózy renální vény a dolní duté žíly (4-10 % nemocných s karcinomem ledviny) stanovené během diagnostického procesu předoperačně nebo při operační revizi se provádí extrakce trombu. V některých případech je nutno resekovat část dolní duté žíly infiltrovanou trombem. Supradiafragmatické tromby nejsou naštěstí časté a jejich řešení vyžaduje spolupráci s cévními nebo kardiochirurgy. Prognóza nemocných s trombem dolní duté žíly je podstatně horší než v předcházejících případech – pokud nejsou vzdálené metástázy, dosahuje pětileté přežití 40-60 %, v případě generalizovaného onemocnění 0-20 %.
4. Paliativní nefrektomie
V případech diagnózy operabilního nádoru ledviny se známkami generalizace můžeme přistoupit k paliativní nefrektomii. Zabráníme tím komplikacím vyplývajícím z lokálního růstu tumoru (hematurie, bolesti, infiltrace okolních orgánových struktur) a vytvoříme lepší podmínky pro následnou léčbu (imunoterapie).
5. Operace lokálních recidiv
Patří mezi obtížné chirurgické výkony. O operaci uvažujeme v případě vyloučení generalizace onemocnění. Dostupné zobrazovací metody nám dovolují se značnou přesností posoudit eventuální infiltraci okolních orgánových struktur, a tím rozhodnout o indikaci operační revize. Na rozhodnutí pochopitelně má vliv i volba nemocného, který musí být poučen o rizicích výkonu a o tom, že kompletní odstranění nádoru nemusí být vždy technicky možné.
6. Operační léčba metastáz
Chirurgicky mohou být řešeny také metastázy nádorového postižení. Jedná se především o solitární metastázy plicní nebo kostní, ale i metastázy v CNS.
Pro ilustraci zastoupení počtu jednotlivých výkonů uvádíme přehled jednotlivých typů operací provedených na urologickém oddělení FN u sv. Anny v Brně v letech 2000-2004.

Tabulka 1. Operační výkony pro RCC v letech 2000-2004
Z uvedených výkonů v roce 2004 jsme 4 x extrahovali trombus z dolní duté žíly. Jeden nemocný s lokálně pokročilým nádorem podstoupil pouze operační revizi – nález jsme hodnotili jako chirurgicky neřešitelný. Dva pacienti s lokálně pokročilým nádorem a podezřením na generalizaci byli hodnoceni primárně jako inoperabilní.
Závěrem na kazuistickém sdělení dokumentujeme skutečnost, že aktivní chirurgický přístup umožňuje řešení situace u nemocné, kde má choroba tendenci k progresi (asynchronní postižení kontralaterální ledviny a lokální recidiva v lůžku po nefrektomii).

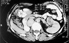
Obr. 1 CT – recidiva v lůžku po nefrektomii a postižení solitární ledviny

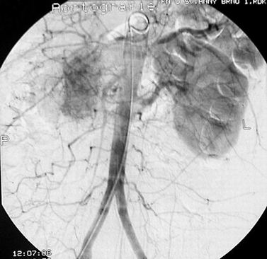
Obr. 2 Břišní AG – recidiva v lůžku po nefrektomii a postižení solitární ledviny
Jedná se o 59 letou pacientku. V září 1994 jí byla provedena nefrektomie pro nádor (tumorózní ložisko o průměru 8 cm, histologicky adenokarcinom ledviny s nekrózami a invazí do cév). Na doporučení onkologa podstoupila adjuvantní imunoterapii interferonem alfa. V dalších letech byla nemocná standardním způsobem sledována. Pravidelné kontroly (ultrazvukové vyšetření břicha, scintigrafie skeletu, rtg srdce a plic a CT retroperitonea) nenasvědčovaly o progresi choroby. V červnu 2001 byl ultrazvukem v lůžku po nefrektomii nalezen solidní útvar velikosti 46x39x33 mm, druhé suspektní ložisko se objevilo v kompenzatorně zvětšené levé ledvině. Předoperační diagnózu lokální recidivy a nádorového postižení solitární ledviny jsme potvrdili na CT a angiografickém vyšetření. Zvyklým způsobem jsme vyloučili generalizaci onemocnění. Pacientka byla připravena k operačnímu řešení. V říjnu 2001 jsme revidovali retroperitoneum vpravo. Ve výši pahýlu renální vény retrokaválně jsme nalezli oválný tumor velikosti asi 9x6x6 cm odtlačující dolní dutou žílu mediálně. Útvar se nám podařilo vcelku odstranit. Histologicky byla prokázána recidiva karcinomu z jasných buněk tvořící opouzdřený infiltrát solidně alveolárně uspořádaný, místy prokrvácený. V témže měsíci jsme operovali solitární ledvinu. Provedli jsme resekční záchovný výkon. Resekční linie byly bez nádorové infiltrace. Podle histologického nálezu se jednalo o dobře diferencovaný adenokarcinom ledviny. Po operacích pacientka podstoupila imunochemoterapii podle Atzpodiena na onkologickém oddělení. Kontrolní vyšetření neprokazují progeresi onemocnění. Biochemicky má normální renální funkce.
Datum přednesení příspěvku: 28. 5. 2005
