Konference: 2010 15. ročník odborného sympózia na téma Onkologie v gynekologii a mammologii
Kategorie: Onkologická diagnostika
Téma: Diagnostika
Číslo abstraktu: 006
Autoři: MUDr. Jitka Kohoutová; MUDr. Hana Urminská-Klozová, Ph.D.; MUDr. Zuzana Poulová; MUDr. Pavel Jandík, Ph.D.; MUDr. Petr Motyčka, Ph.D.

Mezioborová organizace, těsná spolupráce, návaznost
Spolupráce i mezi mamologickými centry
Jednotnost v mamologických popisech
Jednotnost v diagnostickém postupu
↓
minimalizace chyb
Kazuistika č.1
- Mladá klientka poprvé vyšetřena v r.2004 pro zvětšující se rezistenci v sin prsu
- UZ – hypoechogenita 22x21mm, MMG – jednoznačné ložisko či mikrokalcifikace neprokazuji
- CCB HI: duktální hyperplazie bez atypie
- Jiné pracoviště – opět CCB HI: diferenciálně diagnosticky přichází v úvahu fibroadenom, phyllodes tumor, méně pravděpodobný hamartom
- Exstirpace HI: juvenilní fibroadenom
- Následně vyšetřena v r.2006 opět s nálezem rezistence v sin prsu
- UZ - ´polycyklická poměrně ohraničená rezistence 4x4cm, v Doppler.zobrazení výrazně vaskularizované´
- Doporučena exstirpace – gynekolog nedoporučil chirurg.výkon pro
graviditu, pokud je nutná exstirpace, pak buď v lokální anestezii,
nebo po 12.týdnu gravidity
- CCB HI: tubulární fibroadenom
- Více údajů z dodané dokumentace nelze získat
- Následná zpráva až z 8/2008
- ´Přes rok pozoruje zduření v l.prsu, nikam s tím nešla. Levý prs asi 3x větší, toto zvětšení podmíněné velkým tumorem mužské pěsti vyplňující prakticky celý levý prs. Tumor je elastický, ohraničený.´ Doporučena exstirpace.
- Další údaj až ze žádanky 3/2009 na konziliární vyšetření ve FN HK – pacientka 3M po operativním porodu (2.porod) se zvětšením objemu sin prsu
- Klinicky: levý prs výrazně zvětšen, kůže lehce lividně zbarvená, napjatá, v ZQ výraznější defigurace s prominencí cca 5cm
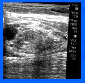
- UZ – vlevo uzlovitá heterogenní struktura žlázy s anechogenními tekutinovými porcemi, v axile bez lymfadenopatie
- Mamologická komise doporučila CCB, zaslání
dokumentace
- CCB HI: ´vřetenobuněčné stroma z uniformních buněk bez atypií, místy je patrné výrazné edematózní prosáknutí. Ojediněle pravidelné mitózy. Jaderné atypie, atypické mitózy či ložiska nekrózy nebyly zastiženy. Nález nejspíše odpovídá fibroepiteliální proliferaci prsu. V dif.dg. uvažujeme o celulárním fibroadenomu či benigní variantě phyllodes tumoru. Spolehlivou diagnózu bude možné stanovit až po vynětí celé afekce.´
- Mamologická komise – je rozpor mezi nálezem bioptickým a klinickým. Klinicky se nádor chová semimaligně nebo dokonce maligně a je třeba pomýšlet na cystosarkoma phyllodes. Komise doporučila ME sin s přítomností plastického chirurga (předpokládána obtížná sutura měkkých tkání a možnost plasticko-chirurgického posunu kůže na zakrytí vzniklého defektu).
- HI: resekát prsu s laločnatým poměrně ohraničeným tumorem průměru 170mm s hladkým zevním povrchem, na jednom místě narušený se susp.prorůstáním tumoru do okolí (mikroskopicky prokázaným). Mikroskopicky struktury phyllodes tumoru s výraznou převahou stromální komponenty. Stromální komponenta je místy myxoidního charakteru, méně buněčná, bez atypií a bez zvýšené mitotické aktivity, ložiskově je však hypercelulární s četnými mitózami, ojediněle atypické buněčné elementy s velkými hyperchromními anizoformními jádry. Ve vlastním tumoru oj.ložiska nekróz a oblasti s heterologní diferenciací – ložiska tvořená vřetenatými bb. s doutníkovitými jádra morfolog.vzhledu leiomyosarkomu.
- Závěr: Phyllodes tumor, který vzhledem k přítomnosti
ložisek s výraznou stromální hypercelularitou s atypiemi, zvýšenou
mitotickou aktivitou, vzhledem k invazivnímu růstu s přítomností
heterologní stromální diferenciace, hodnotíme jako
maligní.
- 2004 – exstirpace fibroadenomu sin – byla správná histologie??
- 2006 – opět nález léze sin, dle CCB fibroadenom – Byl tehdy odstraněn?? Vymizel?? Nebo zde zůstal i přes celé období gravidity??? Bylo dané vyšetření dostačující?? Proč následuje vyšetření až v r.2008?
- 8/2008 rezistence vyplňující sin prs, pacientka gravidní – Byla diagnostika a terapie dostačující?? Čas z prodlení? Ke konziliu odeslána až po porodu.
- 2009 – pomohla by mamotomie v přesnější histologii??
- Nutnost mezioborové spolupráce – chirurg, onkolog, patolog, radiodiagnostik
Kazuistika č.2
- Klientka odeslána do FN HK s Hi (CCB) ověřenými mikrokalcifikacemi na rozhr.ZQ sin
- Pouze v MDL projekci zachyceno 4mm ložisko v HQ – popsáno jako intramam.LU, nemá korelát v KK


- Ve FN HK před výkonem před lokalizací vodičem zhotoveny KK a bočná projekce sin
- Ložisko v KK projekci (CCB Hi: duktální Ca)
Sonografické hodnocení lézí prsu

Jednoduché?? Jednoznačné??
Kazuistika č.3
- Klientka po ME sin s Ex ax v r.2000, HI: invazivní duktální adenokarcinom, Grade 3
- 2009 klinicky kožní, tmavě červené prominence
- UZ – v palp.místě jedno ložisko izoechogenní ohraničené, druhé ložisko ohraničené heterogenní
- HI: středně diferencovaný kožní hemangiosarkom, může se jednat o důsledek předchozího terapeutického ozáření

Kazuistika č.4
- 74letá klientka poprvé vyšetřena, neudává žádné obtíže
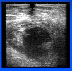
- MMG – sin nehomogenní ohraničené ložisko 55x15mm, UZ – nehomogenní léze s anechogenní tekutinovou porcí
- Dif.dg. organizující se hematom?, intracystický tumor?
- CCB HI: fibrocystické změny s několika ložisky apokrinní metaplazie
- Exstirpace – HI: mikroskopicky jde o fibrocystické změny, benigního charakteru, v největší cystě kubický až nízce cylindrický epitel

Kazuistika č.5
- 65letá klientka odeslána z jiného pracoviště se suspekcí na zánětlivý sin prsu
- UZ – heterogenní lehce hypoech. Ložisko s anechogen. Cystickými porcemi
- Dg. – susp.absces, intracyst.tumor?
- Po Atb není ústup klinických obtíží
- CCB HI – obraz nekrózy s naznačeně granulomatózní okolní zánětlivou reakcí
- Rozpor mezi klinickým nálezem a z CCB benigní histologií
- Exstirpace – Hi: v dif.dg.na prvním místě zvažujeme malig.non Hodgin.lymfom nejspíše z T řady, vaskulitidy (i sekundárně – při jiném základním onemocnění), regresivní změny, které mohou být přičítány i předchozím tkáňovým odběrům. Nutnost komplexního dovyšetření.
Kazuistika č.6
- 81letý klient pozoruje cca 3 roky rezistenci pod sin bradavkou
- MMG – ohraničená léze 40x45mm
- UZ – heterogenní, izo a hypoechogenní, ostře ohraničené ložisko
- Dg. – intracyst.tumor?
- HI: Epidermoidní cysta

Kazuistika č.7
- 74letý klient s progredující gynekomastií sen, cytologie: benigní struktury
- ´Pacient indikován k odstranění ložiska L prsu v
celk.anestezii. Vzhledem k možným pooperačním komplikacím indikován
do FN.´
- MMG – ohraničené laločnaté ložisko sin
- UZ – ohraničená anechogen.léze se solidní izoechogen.porcí
- Dg. – intracystický tumor?
- CCB HI: invazivní duktální Ca
- V plánu ME sin s Ex ax.

Chybami se člověk učí!
- Mamolog – není jen rutinní servis
- Měl by poskytnout kompletní vyšetření
- Správný diagnostický postup (cytologie??)
- Je nutné dotáhnout věci do konce
Datum přednesení příspěvku: 8. 1. 2010
