Konference: 2009 XXXIII. Brněnské onkologické dny a XXIII. Konference pro sestry a laboranty
Kategorie: Gastrointestinální nádory
Téma: XIX. Primární a sekundární nádory jater
Číslo abstraktu: 169
Autoři: doc. MUDr. Vladimír Visokai, PhD.; doc.MUDr. Ludmila Lipská, Ph.D.; as. MUDr. Miroslav Levý, Ph.D., MBA
Autoři uvádějí kazuistiku 48 letého pacienta, který byl léčen pro ikterus vzniklý na podkladě stenózy žlučovodu typu Bismuth IV v hilu jater.

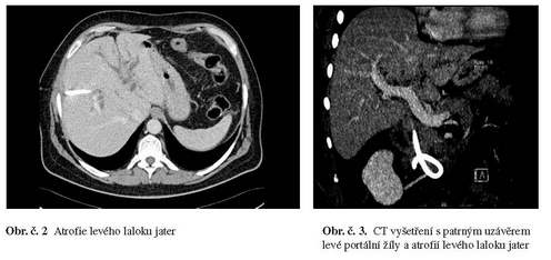
Nález byl chirurgem na jiném pracovišti vyhodnocen jako inoperabilní, z provedené peroperační biopsie nebyl histologicky karcinom potvrzen, přesto byla provedena brachyterapie cestou PTD, při které byla rovněž zavedena trvalá zevní drenáž jater. Na CT vyšetření je zřejmá atrofie levého laloku jater v důsledku postižení a uzávěru levé portální žíly. Obr. č. 2,3.

Pacient byl odeslán na naše pracoviště, kde jsme v prosinci 2006 provedli levou hepatektomii s rozšířením o resekci kmene pravého žlučovodu a resekci S I jater.

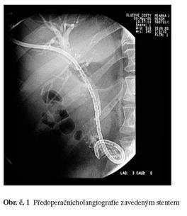
Založena hepatikojejunastomóza na segmentální žlučovody pravého jaterního laloku. Kontrolní cholangiografie po operaci zobrazuje patentní biliodigestivní anastomózu.

Histologické vyšetření neprokázalo malignitu, ale ani sklerozující cholangoitidu v resekovaných žlučovodech. Pacient je v kontrolách hepatologické poradny, bez známek recidivy onemocnění.
Diskuze a závěr
Rozlišení mezi Klatskinovým tumorem, a lézemi napodobujícími Klatskinův tumor je obtížná, až nemožná. Až u 15% nemocných indikovaných k resekci nebyla malignita v resekátu potvrzena.
Oba typy postižení hilových žlučovodů vyžadují resekci a význam stanovení diagnózy spočívá v tom, že Klatskinův tumor vyžaduje extenzivní resekční výkony zahrnující často i velkou část jaterního parenchymu, ale pro nádory imitující Klatskinův tumor je omezená resekce dostačující.
Datum přednesení příspěvku: 17. 4. 2009
