Konference: 2010 XXXIV. Brněnské onkologické dny a XXIV. Konference pro sestry a laboranty
Kategorie: Gastrointestinální nádory
Téma: Zobrazovací intervenční metody v onkologii
Číslo abstraktu: 129
Autoři: MUDr. Jiří Pánek; prof. MUDr. Vlastimil Válek, CSc.

Provedená zevně-vnitřní drenáž žlučových cest u pacienta s maligní stenosou
Další skupina výkonů se týká trávicí trubice,
zejména pak orálních partií (jícen a kardie), dále pak i v oblasti
duodena nebo rekta. Zde se jedná zejména o paliativní zákroky
směřující k zachování průchodnosti gastrointestinálního traktu
pomocí implantace stentů. Samotné zavedení takového stentu
výrazněji nezatěžuje pacienta, má malé procento komplikací a
důležitý je prakticky okamžitý efekt na pasážovací poruchy.
Základní rozdělení stentů je na kovové a plastové. Design kovových
stentů je rozličný, obecně se používají stenty kryté,
samoexpandibilní, výhodou je jejich dobrá roztažná síla a
antimigrační schopnost, nevýhodou pak velmi obtížná extrakce.
Plastové stenty se u maligních stenóz používají méně, lze je např.
použít při výskytu komplikací tumoru, jako je třeba velká ulcerace,
nebo na překrytí píštěle.

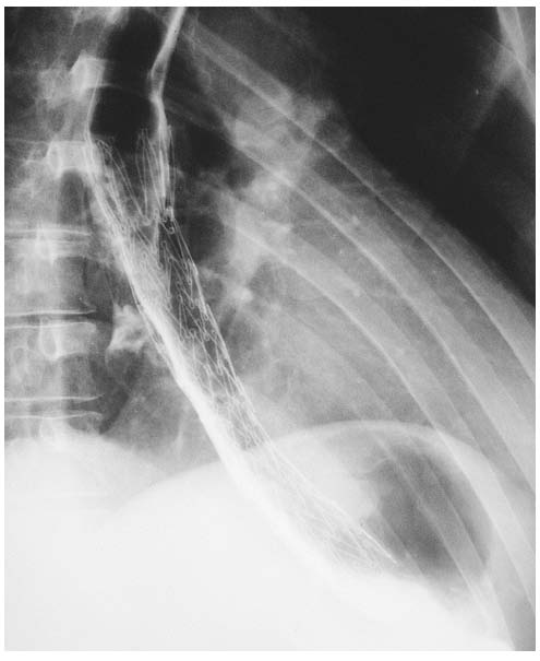
Implantovaný kovový stent při karcinomu distálního jícnu.
Očekávaný přínos z intervenčních zákroků musí
vyplývat z dobré spolupráce klinického lékaře indikujícího
vyšetření a radiologa, které jej provádí, vše by se mělo řídit i
podle zvyků jednotlivých intervenčních pracovišť.
Datum přednesení příspěvku: 24. 4. 2010
