Konference: 2014 XXXVIII. brněnské onkologické dny a XXVIII. konference pro nelékařské zdravotnické pracovníky
Kategorie: Kasuistiky
Téma: XVII. Neuroendokrinní a endokrinní tumory
Číslo abstraktu: 306
Autoři: MUDr. Vít Martin Matějka; Doc. MUDr. Luboš Holubec (jr.), Ph.D., MBA; Prof.MUDr. Petr Mukenšnabl, Ph.D.; MUDr. a Ing. Radek Tupý; prof. MUDr. Jindřich Fínek, Ph.D., MHA
Východiska:
Karcinoid z pohárkových buněk je velmi vzácnou patologickou jednotkou. Jeho původ je odvozen od kmenových buněk přítomných ve střevní sliznici. Jeho diagnostika je odvozena od patologického vyšetření, kde je kromě přítomných neuroendokrinních markerů také patrna produkce hlenu. V kazuistice se věnujeme případu pacientky s diagnostikovaným karcinoidem z pohárkových buněk, který generalizoval do orbity.
Popis případu:
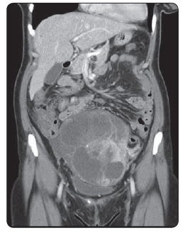
50letá pacientka, dosud interně nestonající, bez onkologické rodinné anamnézy, byla přijata na GPK FN Plzeň pro měsíc trvající bolesti břicha. Pro nález cystického útvaru na levém ovariu byla provedena hysterektomie s oboustrannou adnexektomií. Histologie útvaru vycházejícího z appendixu a prorůstající do ovaria byla IHC pozitivní na AE1/ 3 a chromogranin. V druhé době byla provedena pravostranná hepatektomie pro metastatické postižení. U pacientky bylo v plánu podání systémové léčby, ale v první době bylo nutné dořešení nálezu megaureteru vpravo. Indikována nefrektomie. Nově se objevili potíže charakteru exophtalmu a deprese bulbu levého oka. Provedeno kontrolní CT orbity s nálezem expanze charakteru metastázy v levé očnici. Následně provedeno CT břicha s nálezem masivní generalizace v průběhu colon ascendens a hepatálního ohbí, lymfatických uzlin retroperitonea, podél pánevních svazků vlevo a na resekční ploše jater. Při maximálních obtížích způsobených metastázou v orbitě byla indikována konkomitantní chemoradioterapie. Zahájena systémová léčba kapecitabinem a pro karcinoidové projevy zahájena léčba lanreotidem. Přes provedenou léčbu lokální nález progredoval a objevily se bolesti, které si vyžádaly léčbu opiáty. Pacientka umírá sedm měsíců od operace.
Datum přednesení příspěvku: 25. 4. 2014
