Konference: 2015 XXII. Jihočeské onkologické dny
Kategorie: zhoubné nádory mozku a CNS
Téma: Postery
Číslo abstraktu: 31
Autoři: MUDr. Miloslava Zlevorová; MUDr. Ondřej Kalita, Ph.D.; MUDr. Yvona Klementová
Východiska:
Gliosarkom je vzácné onemocnění, které tvoří asi 2-5 % všech glioblastomů. Vyskytuje se častěji u mužů ve 4.–6. dekádě. Jedná se o chemoresistentní onemocnění se špatnou prognózou.
Popis případu:
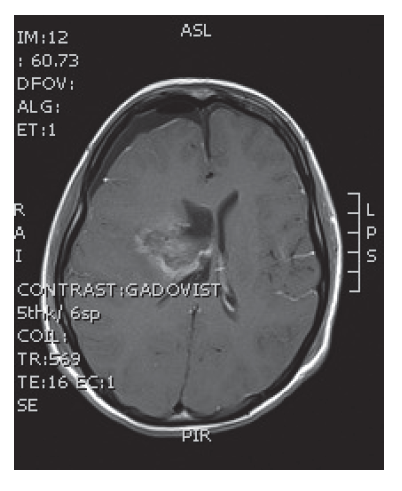
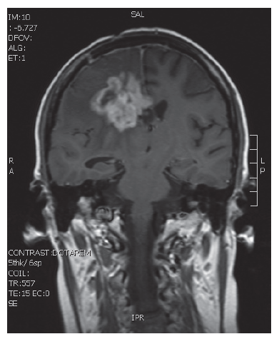
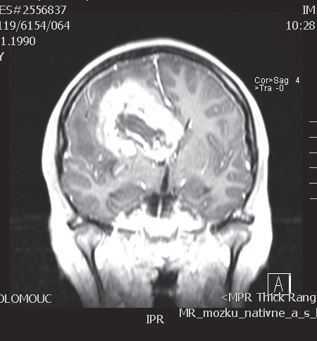
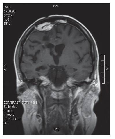
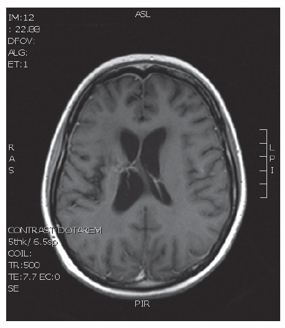
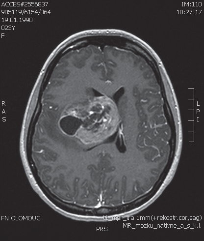
V naší kazuistice prezentujeme 25letou pacientku s negativní onkologickou rodinnou anamnézou, která dosud vážněji nestonala. Udávala asi 3 měsíce progredující bolesti hlavy a krční páteře, zvracení, postupně rozmazané vidění a parestezie horních končetin. Byla provedena magnetická rezonance, na které diagnostikován tumor mozku ve frontálním laloku vpravo, vyplňující frontální roh postranní komory velikosti 6x5 cm, midline shift, mass efekt. Dne 23. 9. 2013 ji byla na neurochirurgické klinice provedena neradikální exstirpace tumoru z parasagitální kraniotomie. Histologicky byl prokázán glioblastom multiforme gr. IV. Od 30. 10. 2013 do 12. 12. 2013 absolvovala konkomitantní radiochemoterapii (radioterapie do CLD 60,0 Gy) s temozolomidem (75 mg/m2 per os D1-42). Od ledna do dubna 2014 pokračovala v chemoterapii temozolomid solo v dávce 150 mg/m2, resp. od 2. cyklu 200 mg/m2 D1-5 ( Temodal tbl, celkem 4x). Na kontrolní MRI mozku ze dne 20. 5. 2014 byla prokázána progrese rezidua. Dne 4. 6. 2014 podstoupila druhou operaci, histologicky verifikován glioblastom multiforme s přechodem v gliosarkom. Snažili jsme se získat informace ze zahraniční literatury s léčbou gliosarkomu, bohužel se jedná o velmi vzácné onemocnění a údajů není mnoho. Nakonec byla zvolena léčba podle protokolu ICE (ifosfamid, carboplatina, etoposid), který je obdobou režimu PEI. Dávky: ifosfamid 1000 mg/m2 D1-3, carboplatina 110 mg/m2 D1 a etoposid 100 mg/m2 D1-3 v pětitýdenním cyklu. Pacientka zahájila 1. sérii od 1.7.2014 s podporou G-CSF (Neulasta s.c.). Léčbu tolerovala dobře, bez akutních či pozdních vedlejších nežádoucích účinků a významné hematologické toxicity. Po 3 cyklech podstoupila kontrolní MRI, kde popsána parciální regrese periferního sycení – rezidua tumoru. Po dalších 3 cyklech chemoterapie provedena restagingová MRI, kde popsána opět mírná regrese rezidua tumoru. Celkový stav pacientky se během léčby postupně zlepšoval, je mobilní, bez psychoorganického syndromu. Byly vysazeny kortikoidy, což vedlo k ústupu cushingoidního syndromu. Bylo rozhodnuto o pokračování v dalších 2 cyklech udržovací chemoterapie, na kontrolní MRI ze 14. 4. 2015 a 7. 7. 2015 popsána stabilizace onemocnění.
Závěr:
I přes nepříznivý histologický typ nádoru se jeví zvolený režim chemoterapie jako velmi účinný, naše zkušenosti s touto léčbu jsou pozitivní. Pacientka nyní dochází na pravidelné kontroly, kvalita jejího života i po výše uvedené náročné terapii je dobrá.
Obrazová příloha:
Datum přednesení příspěvku: 16. 10. 2015
