Konference: 2010 15. ročník odborného sympózia na téma Onkologie v gynekologii a mammologii
Kategorie: Onkologická diagnostika
Téma: NLZP - blok I
Číslo abstraktu: 044
Autoři: K. Cupalová
- Zhoubné onemocnění prsní žlázy
- Chová se agresivně
- Pohlcuje své okolí
- Je schopen vysílat své buňky i do vzdálených orgánů
- Není-li včas nalezen a odstraněn, může přivodit své nositelce smrt
Incidence a mortalita Ca prsu
Příčiny úmrtí v populaci českých žen

Nejčastější příčiny úmrtí českých žen ve věkové kategorii 20-54
let v období 2001-2005.

Věk žen se zhoubným nádorem prsu v období 2001-2005.

Zastoupení klinických stadií u nově diagnostikovaných zhoubných
nádorů prsu u žen.

Vyšetřovací modality
- Klinické vyšetření (aspekce, palpace)
- Mamografie (duktografie)
- Ultrasonografie
- konvenční
- Barevně kódovaná duplexní ultrasonografie (BKDUS)
- CT vyšetření
- Izotopové vyšetření
- Magnetická rezonance
- Intervenční výkony (histo-patolog.vyšetření)
Rodinná anamnéza
- Ženy s pozitivní rodinnou anamnézou mají až 4x vyšší riziko rakoviny prsu
- Ženy, v jejichž rodině se několikrát vyskytla rakovina prsu, mají až čtyřikrát vyšší riziko, že onemocní rakovinou prsu, než ostatní ženy. Zpravu o tom přinesl výzku publikovaný v odborném časopise British Journal of Cancer.
- Je to vůbec poprvé, co bylo vyčísleno riziko karcinomu prsu pro ženy, které nemají vadný BRCA gen, ale mají buď jednu příbuznou prvního stupně, která ve věku mladším 50 let onemocněla rakovinou prsu, plus nejméně jednu další příbuznou s rakovinou prsu, anebo tři příbuzné s rakovinou prsu v jakémkoli věku.
- Celoživotní riziko vzniku rakoviny prsu v běžné populaci je 1:9. U studované skupiny toto riziko lehce přesahovalo 1:3.
Mamografické vyšetření
- Je prováděno na speciálních mamodiagnostických odděleních, speciálně školenými laborantkami
- Je trochu nepříjemné, žena při vyšetření stojí
- Každý prs je vyšetřen ze dvou stran, pokaždé se musí lehce stlačit
- Vniklé mamografické snímky hodnotí lékaři
- NUTNOST kvalitně zhotovených snímků!!!
Ca prsu


Kazuistika 1
- Klientka vyšetřena v 2006, MMG+UZ – bez ložiskových změn
- MDL dx – technicky nesprávná
- Následně vyšetřena 2009 s nálezem léze v HQ dx preaxilárně

Kazuistika 2
- Klientka s nálezem nepravidelného zastínění při bazi sin
- Na kontrolním snímku správně zhotoveném není patrná
- Dobré vytažení!!! Komprese!!!
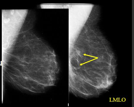
Kazuistika 3
Klientka odeslána do FN HK s Hi (CCB) ověřenými mikrokalcifikacemi
na rozhr.ZQ sin
- pouze v MDL projekci zachyceno 4mm ložisko v HQ
- popsáno jako intramam.LU, nemá korelát v KK


- Ve FN HK před výkonem zhotoveny KK a MDL projekce sin
- Ložisko v KK projekci (CCB Hi.duktální Ca)
Závěr
- Mamografie je standardní vyšetřovací modalita
- Pro diagnostiku jsou technicky správně zhotovené snímky základem
Datum přednesení příspěvku: 8. 1. 2010
