Konference: 2012 17. ročník sympózia Onkologie v gynekologii a mammologii
Kategorie: Onkologická diagnostika
Téma: Diagnostika
Číslo abstraktu: 04
Autoři: MUDr. Martina Třináctá; MUDr. Hana Říčková; MUDr. Vesna Šaponja-Bahnik; MUDr. Marie Švancarová
Elastografie
- neinvazivní metoda zobrazující elastické vlastnosti biologických tkání
- obdoba palpačního vyšetření
- zkoumání odezvy zobrazovaných tkání na silové působení (kPa)
- různé biologické tkáně mají různou elasticitu, změny elastických vlastností často souvisejí s patologií nebo abnormalitami tkání
Elasticita tkání
= tuhost – fyzikálně se popisuje Youngovým modulem pružnosti (kPa) = poměr mezi deformačním napětím a deformací tělesa
- tuhé tkáně mají větší Youngův modul pružnosti než měkké
- maligní ložiska vykazují zpravidla větší tuhost než ložiska benigní nebo okolní zdravé tkáně
Elastografie
3 kroky:
1. generování nízkofrekvenčních vibrací pro vyvolání pnutí ve tkání
2. zobrazení tkáně a detekce pnutí
3. ze zjištěných výsledků se odvodí parametry pro elasticitu tkání
Metody elastografie
1. statická elastografie
2. dynamická elastografie
3. elastografie založená na příčných vlnách
Statická elastografie
- povrch těla je stlačován konstantní silou a z rozdílu obrazů před a po stlačení je určena deformace
- porovnávají se časové intervaly od vyslání do příjmu UZ vlny před a po stlačení tkáně
- neposkytuje kvantitativní výsledky, závisí na uživateli
Dynamická elastografie
- elasticita je vyjádřena na základě stojatých vln, které se ve tkáni indukují při jejich vibračním zatížení vnějším vibrátorem
- v tuhé tkáni se vibrační vlny šíří rychleji než v měkké
- využití – MRI
Elastografie založená na příčných vlnách
- shear waves = příčné vlny – vznikají jako odezva elastického odporu tkáně na mechanické vibrace s nízkou frekvencí (asi 50-200 Hz) a šíří se tkáněmi v příčném směru
- zdroj vibrace- pulzy akustického tlaku vytvořené fokusovaným UZ paprskem
- rychlost šíření příčných vln je nízká (cca 1-10 m/s) a závisí hlavně na elasticitě a hustotě tkání
- více fokusačních zón UZ paprsku umožňuje vyvolat vznik příčných vln ve více hloubkách
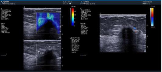
- výstupem elastografie je ultrazvukový B-obraz překrytý barevnou mapou. Každému bodu tkáně je přiřazena barva, která kóduje jeho elastické vlastnosti.
Barevné mapy v elastografickém obraze Modrá barva – měkká solidní tkáň (normální fibroglandulární tkáň), viskózní tekutina v cystách
Barevná škála – tuhá tkáň (maligní)
Černé výpadky – čistá tekutina (cysty) – příčné vlny se nešíří
– tuhá tkáň – příčné vlny jsou velmi slabé – jsou tlumeny, rychlá propagace příčných vln do okolí
Elasticita tkání v prsu
- tuková složka – 18-24 kPa
- glandulární tkáň – 28-66 kPa
- fibrozní tkáň – 96-244 kPa
- cysta – 0 kPa
- malignita – 22-560 kPa
Normální tkáň prsu
Cysty

Fibroadenom

Maligní tumor (IDC)

Naše zkušenosti
SuperSonic Imagine Aixplorer
SonicTouch
– generování nadzvukového zdroje příčných vln ve tkáni zvyšuje jejich amplitudu a zlepšuje vzdálenost šíření
Ultrafast zobrazení
– vysílání rovinných UZ vln do tkáně pro vybuzení celé roviny v jednom okamžiku
– umožňuje zachycení šíření příčných vln a měření elasticity tkání v kPa



Pozitivní výsledky elastografie / histologicky potvrzená malignita
Invazivní duktální adenokarcinom

Inflamatorní karcinom

Invazivní lobulární karcinom
Invazivní duktální karcinom

Invazivní duktální karcinom

Negativní výsledky elastografie / histologicky potvrzená malignita
Mucinozní adenokarcinom

DCIS

Nízce diferencovaný duktální karcinom

Lobulární karcinom

Duktální invazivní karcinom

Pozitivní výsledky elastografie / histologicky potvrzená benignita
Intraduktální papilom

Fibroza

Fibrocystické změny, mírně floridní duktální hyperplasie, ložisko cikatrizace

Fibrozní změny, duktální hyperplazie

Floridní duktální hyperplasie a apokrinní metaplasie

Negativní výsledky elastografie / histologicky potvrzená benignita
Duktální hyperplazie, sklerozující adenoza, mikrokalcifikace

Fibrotizace, fokus mastitis obliterans, incip. sklerozující adenosa

Sklerozující adenóza v terénu fibrocystických změn

Sklerotický FA

Shearwaves elastografie
- kvantitativní informace o elastických vlastnostech tkáně
- zobrazení nezávislé na uživateli
- skenování v reálném čase
- pouze doplňující metoda
Datum přednesení příspěvku: 6. 1. 2012

