Konference: 2013 XXXVII. Brněnské onkologické dny a XXVII. Konference pro nelékařské zdravotnické pracovníky
Kategorie: Nádorová biologie/imunologie/genetika a buněčná terapie
Téma: XXVII. Základní a aplikovaný výzkum v onkologii
Číslo abstraktu: 297
Autoři: RNDr. Jitka Poljaková; MUDr. Šimon Cipro; Mgr. Tomáš Groh; MVDr. Jan Hraběta; prof. MUDr. Tomáš Eckschlager, CSc.; prof. RNDr. Marie Stiborová, DrSc.
Východiska:
Pro rychle rostoucí solidní nádory je typické nedostatečné zásobení kyslíkem, které v nich způsobuje vznik hypoxických oblastí. Nádorové buňky se tomuto prostředí přizpůsobují např. tvorbou nových cév, intenzivnější gykolýzou či snížením mitochodriální respirace regulací genové exprese. Značný význam při regulaci genové exprese v hypoxii má „Hypoxia inducible factor 1" (HIF-1). Při nedostatečném množství kyslíku je navíc snížena exprese proteinů buněčné adheze a proteinů opravující poškozenou (modifikovanou) DNA, což vede ke genetické nestabilitě a metastazování nádorových buněk.
Jednou z epigenetických modifikací, které v buňkách dynamicky mění strukturu DNA z těsného uspořádání na rozvolněné, je acetylace histonů. Pokud jsou histony acetylované, DNA je přístupná jak pro transkripci genů, tak pro cytostatika poškozující DNA.
Materiál a metody:
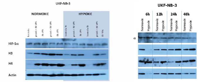
Experimenty byly prováděné s neuroblastomovou buněčnou linií UKF-NB-3 odvozenou od nádoru vysokého rizika. Kultivace buněk probíhala za standardních a hypoxických (1 % O2) podmínek. Cytotoxicita valproátu byla sledována MTT testem. Acetylace histonů H3 a H4, stejně jako exprese HIF-1<x byla prováděna metodou Western blot.
Výsledky:
Metodou Western blot nebyla detekována významná změna exprese HIF-1 <x v neuroblastomové buněčné linii UKF-NB-3. Jeho hladina postupně, s dobou kultivace 6-48 hod, klesá. Rozdíl mezi expresí tohoto proteinu při kultivaci za standardních podmínek ve srovnání s hypoxickými kultivačními podmínkami není patrný. Valproát, inhibitor histondeacetyláz, acetylaci histonů H3 a H4 významně zvyšuje jak v normoxii, tak hypoxii. Také samotné kultivační podmínky ovlivňují vlastní acetylaci histonů. Nedostatek kyslíku při kultivaci linie UKF-NB-3 rezultuje ve zvýšení hladiny acetylace histonů H3 a H4. Tento stav může vysvětlovat snahu buněk přizpůsobit se nedostatku kyslíku a exprimovat větší množství proteinů nutných k adaptaci na toto pro buňky nepříznivé prostředí.
Závěr:
Výsledky získané v této studii jasně prokazují, že nejen valproát, ale také samotný nedostatek kyslíku významně zvyšují acetylaci histonů H3 a H4 neuroblastomové buněčné linie UKF-NB-3. Volnější uspořádání DNA v hypoxii může přispět k rozdílné cytotoxicitě některých testovaných látek vůči UKF-NB-3 pěstované za odlišných kultivačních podmínek.

Práce vznikla za finanční podpory GAČR (P301/10/0356) a Univerzity Karlovy (UNCE204025/2012).
Datum přednesení příspěvku: 19. 4. 2013
