Konference: 2013 XXXVII. Brněnské onkologické dny a XXVII. Konference pro nelékařské zdravotnické pracovníky
Kategorie: Onkologická diagnostika
Téma: XX. Diagnostické metody v onkologii
Číslo abstraktu: 205
Autoři: MUDr. Karol Bolčák
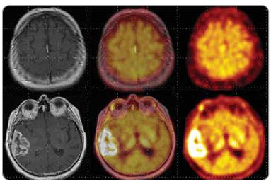
Od pozitronové emisní tomografie se v neuroonkologii požaduje odlišit benigní a maligní léze mozku, stanovit grading nádorů, určit nejvhodnější místo pro biopsii, tzv. PET-em navigovaná stereotaktická biopsie, stanovit reziduum nádoru po terapii, zjistit rekurenci nádoru, zjistit metastatické postižení mozku. Za tímto účelem je pro PET vyšetření mozku mimo 18F-fluoro-deoxy-glukózu (FDG), která tvoří základní radiofarmakum využívané pro vyšetření mozku, teoreticky možné využít množství různých neaktivních nosičů značených pozitronovými zářiči připravených v cyklotronu (18F, 11C, 13N,15O) nebo tzv. generátorových zářičů (68Ga, 82Rb). Většina non-FDG radiofarmak se však vzhledem k problémům souvisejícím s výrobou, distribucí nebo cenou využívají jenom v omezené míře, zejména v rámci výzkumných projektů. Mimo FDG se z alternativních radiofarmak v PET Centru Masarykova onkologického ústavu v Brně používají 18F- fluorothymidin a 11C-methionin. 18F-flurothymidin (FLT) je aktivně transportován TK1 v S-fázi mitotického cyklu a akumulace tohoto radiofarmaka koreluje oproti FDG s markerem proliferační aktivity Ki-67. FLT se v gliomech akumuluje cca 3krát méně než FDG, tumor/background ratio je však u FLT, vzhledem k minimální mitotické aktivitě ve zdravé mozkové tkáni, cca 3krát vyšší než u FDG. 11C-methionin ( MET) vykazuje výrazně vyšší akumulaci v lézích se zvýšenou proteosyntézou a vyšší vaskulární permeabilitou. Jeho výhodou je relativně nižší fyziologická akumulace v mozku ve srovnání s FDG. Potenciální využití tohoto radiofarmaka vidíme pro grading tumorů, zjištění relapsu po operaci nebo radioterapii, využití u stereotaktické biopsii a plánování radioterapie. Využití MET je omezené pro PET centra disponující ve své blízkosti cyklotronem, protože vzhledem ke krátkému fyzikálnímu poločasu 11C (20 min) není možné radiofarmaka značená 11C distribuovat na větší vzdálenost.
Závěr:
Základním radiofarmakem využívaným pro PET vyšetření mozku je FDG. Non-FDG radiofarmaka můžou významným způsobem doplnit PET vyšetření mozku v případech, kde FDG scan není jednoznačný.



Datum přednesení příspěvku: 18. 4. 2013
