Konference: 2010 XVII. Jihočeské onkologické dny
Kategorie: Zhoubné gynekologické nádory
Téma: Postery
Číslo abstraktu: p01
Autoři: prof. MUDr. Jaromír Bouda, CSc.; Prof. MUDr. Ondřej Hes, Ph.D.; RNDr. Tomáš Vaněček, Ph.D.; MUDr. František Havlíček; MUDr. Vladimír Kališ, Ph.D.; doc. MUDr. Zdeněk Rokyta, CSc.; Doc. MUDr. Ludmila Boudová, Ph.D.
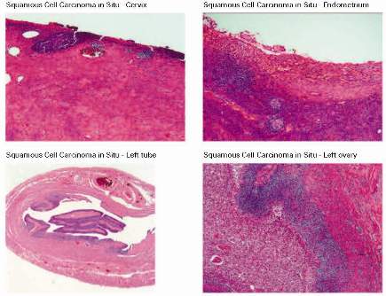
Contiguous intraepithelial spread of squamous cell carcinoma of the uterine cervix in situ to the endometrium,tubes, and ovaries is extremely rare.
Case report
We report a case of a 66-year-old woman, who was found to have malignant squamous cells on a cervical smear. The patient underwent a cervical biopsy followed by a cone biopsy with D&C with histologically confirmed squamous cell carcinoma in situ spreading to the endocervical margin of the cervical cone and to the endometrium. Laparoscopically-assisted vaginal hysterectomy with bilateral salpingo-oophorectomy was indicated. No grossly visible tumor was present in the uterus, both ovaries, and tubes. The microscopic examination revealed squamous cell carcinoma of the uterine cervix in situ with a contiguous intraepithelial spread to the endometrium, tubes, and ovaries, with a focal invasion to the parenchyma of both ovaries.

PCR analysis for high-risk human papillomavirus (HR-HPV) infection revealed HPV 16 positivity all in cervix, endometrium, fallopian tubes, and ovaries. Loss of heterozygosity (LOH) analysis with a panel of microsatellite markers detected a homogeneous LOH pattern on 6p and 6q throughout all microdissected lesions.
Loss of Heterosygosity Analysis
Example of LOH in marker D6S292. Analysis of samples extracted from one tumor
and non-tumor tissue are shown. Arrow shows reduced intensity of longer all ele.

Loss of Heterosygosity and HPV Analysis

NA - not applicable
NI - not indicative
Conclusion
The patient was administered adjuvant radiotherapy. She has no signs of the disease six years after the diagnosis.
We report an extremely rare case of squamous cell carcinoma in situ with contiguous intraepithelial spread to the upper genital tract and invasion of ovaries. We conclude that homogeneous LOH patterns thorought the cervix, endometrium, fallopian tubes, and ovaries are sugestive for monoclonal process originating in the cervix.
Carcinoma in situ cervicis uteri s kontinuálním intraepiteliálním šířením do endometria, tub a invazivním růstem v obou ováriích - kasuistika.
Datum přednesení příspěvku: 15. 10. 2010
