Konference: 2005 XXIX. Brněnské onkologické dny a XIX. Konference pro sestry a laboranty
Kategorie: Onkologická diagnostika
Téma: Zobrazovací diagnostické metody
Číslo abstraktu: 220
Autoři: MUDr. Karol Bolčák; Ing. Jiří Bartl; MUDr. Jaroslav Staníček; D. Papírková; doc. MUDr. Zdeněk Řehák, Ph.D.; MUDr. Viera Nižňanská
Logickým důsledkem tohoto rozvoje byla snaha o spojení informací získaných za pomoci rozličných zobrazovacích modalit umožňující zkombinovat anatomický ( patologicko-anatomický) a funkční ( metabolický ) obrázek do nové modality.
V praxi je možné realizovat rozličné kombinace spojení obrazů:
- Intra-modality, intra-subjekt, tj.komparace sériových studií ze
stejné modality. např: SPECT a SPECT nebo PET a PET u téhož
pacienta s odstupem času,
- Intra-modality, inter-subjekt, tj. sestavování studií pacientů
při vytváření normálů nebo analýz,
- Inter-modality, intra-subjekt, tj. spojení různých vyšetřovacích modalit u stejného pacienta, např. PET / CT, PET / MR, PET/ SPECT..
Od února 2004 provádíme na pracovišti softwarovou fúzi obrazů PET / CT a PET / MR.
Vzhledem k tomu, že data CT nebo MR pocházejí z rozličných pracovišť, nepoužíváme vnějších anatomických značek.
Zdroj dat CT nebo MR: - PACS ( MOÚ, FN Brno u Sv. Anny, perspektivně FN Bohunice, Dětská nemocnice Brno),
- CD s CT nebo MR v digitální podobě ve formátu DICOM 3.0

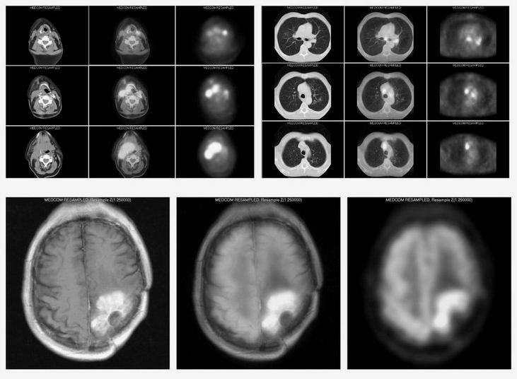
Příklady obrazů

Využití a význam fúze obrazů.
1. Zlepšení prostorové orientace v obraze PET,
2. Možnost přiřadit ložisku v obraze PET anatomický korelát, zpřesnění diagnózy,
3. Využití fúzovaných obrazů v monitoringu efektu terapie,
4. Využití fúzovaných obrazů na plánování radioterapie.
Problémy vyplývající z SW fúze:
1. Obtížná dostupnost dat CT nebo MR – koordinace práce,
2. Správný formát a rozsah dodaných dat,
3. Časový odstup mezi vyšetřením,
4. Rozdílná poloha pacienta a jednotlivých orgánů,
5. Pracnost a časová náročnost,
6. Archivace a distribuce nálezů.
Práce podporována Grantem IGA MZČR NR8342-3/2005.
Datum přednesení příspěvku: 27. 5. 2005
