Konference: 2010 XXXIV. Brněnské onkologické dny a XXIV. Konference pro sestry a laboranty
Kategorie: Nádory dětského a adolescentního věku; zhoubné nádory mozku a CNS
Téma: Neuroonkologie
Číslo abstraktu: 078
Autoři: MUDr. Zdeněk Pavelka; Doc. MUDr. Jarmila Skotáková, CSc.; RNDr. Tomáš Pavlík, Ph.D.; prof. MUDr. Pavel Šlampa, CSc.; MUDr. Jiří Ventruba, CSc.
Gliomy optické dráhy (GOD) tvoří 4-6% dětských nádorů CNS.
Vrchol incidence je v 1. dekádě života. V jedné třetině případů je
přítomna současně Neurofibromatóza typu 1 (NF1). 15-20% pacientů s
NF1 má při MRI vyšetření prokázaný gliom optiku, ale pouze v 1-5%
se jedná o symptomatický tumor. Přítomnost NF1 je považována za
pozitivní prognostický znak, tito pacienti mají zpravidla málo
agresivní průběh nemoci.
Většina tumorů této lokalizace jsou pilocytické a difúzní
astrocytomy (obrázek 1 a 2). Nádory chiasmaticko-hypothalamické
oblasti mají zvýšené riziko diseminace i přes ´low-grade´
histologii (obrázek 3). Suverénní diagnostickou metodou je MRI, byl
zaveden specifický funkční klasifikační systém. U dětí s NF1 jsou
přítomny aditivní nespecifické abnormity mozkové tkáně.


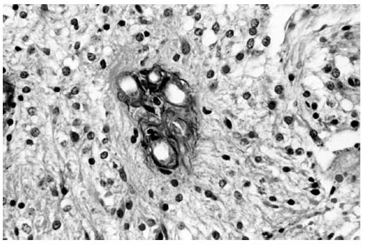
Obrázek 2 – Difúzní (G2) astrocytom, absence
bifázického vzhledu, H-E

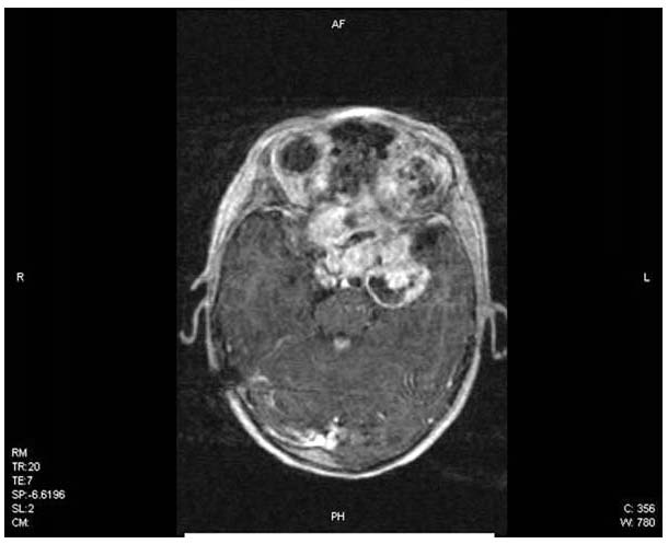
Obrázek 3 – Rozsáhlý pilocytární astrocytom
optické dráhy, MR, vyšetření s k.l.
Všechny GOD se projevují určitou formou ztráty zraku (výpadky
zorného pole), atrofie optiku bývá zjistitelná u pokročilých
tumorů. Děti pod 3 roky mají obvykle strabismus, proptózu,
nystagmus, opoždění ve vývoji. Nádory hypothalamu se projeví
endokrinopatií (předčasná puberta, porucha růstu) ev.
diencefalickým syndromem. Pokročilé nádory mohou způsobit
hydrocefalus.
U dětí s přítomnou NF1 není bioptická verifikace požadována. V
případech typického obrazu postižení optické dráhy není dokonce
nutná ani u pacientů bez NF1. Je tedy doporučena jen u atypické
masy chiasmaticko-hypothalamické oblasti při absenci známek NF1.
Jedinou indikací pro radikální resekci postiženého optického nervu
dnes zůstává kompletní ztráta zraku na jedné straně. U malých dětí
s progresí GOD je léčbou 1. linie zpravidla dlouhodobá
chemoterapie. Lokální radioterapie (RT) je indikována zpravidla po
selhání 2 a více linií chemoterapie. Obvyklé kombinace vinkristin,
karboplatina dosahují objektivní odpovědi u 50-60% případů. Nověji
se používají i kombinace obsahující temozolomid, vinblastin a také
anti-angiogenní terapie v 2. a 3. linii léčby.
U pacientů s NF1 je na místě konzervativní postup a onkologická
léčba je indikována až v případě klinické a radiologické progrese.
Metodou volby je také chemoterapie. Celkové přežití pro děti s GOD
a NF1 činí kolem 90% (OS5) a 80% (OS10), ve skupině bez NF1 80%
(OS5) a 70% (OS10). Horší prognózu mají nádory
hypothalamo-chiasmatické oblasti.
Presentujeme vlastní soubor dětí s GOD, epidemiologická a další
deskriptivní data, typické radiologické nálezy, léčebné
výsledky.
Literatura
- Taylor T, Jaspan T, Milano G, et al. Radiological classification of optic pathway gliomas: experience of a modified functional classification system. Br J Radiol 2008, 81: 761-766
- Walker DA. Recent advances in optic nerve glioma with a focus on the young patient. Curr Opin Neurol 2003, 16: 657-664
- Walker DA, Perilongo G, Punt J, Taylor RE. Brain and spinal tumors of childhood. Arnold, London 2004
- Gupta N, Banerjee A, Haas-Kogan D. Pediatric CNS Tumors. Springer, Berlin 2004
Datum přednesení příspěvku: 23. 4. 2010
