Konference: 2011 16. ročník odborného sympózia na téma Onkologie v gynekologii a mammologii
Kategorie: Zhoubné gynekologické nádory
Téma: Postery
Číslo abstraktu: P01
Autoři: MUDr. Ivana Bydžovská; MUDr. Ninger Vladimír, Ph.D.; MUDr. Pavel Jandík, Ph.D.; D. Ďatková; M. Tlustá
Autoři prezentují vzácný druh nespecifického zánětu prsu a jeho úskalí v diferenciální diagnostice
Granulomatózní mastitis
- Vzácné jednostranné, chronické, onemocnění prsu s možností
recidivy.
- Postihuje mladé ženy ve fertilním věku ( 28-40 let )
Diagnostika:
Klinický nález:
- Bolestivé zduření prsu se zarudnutím bez fluktuace, bez známek
hnisání.
- Chybí teplota s celkovou alterací stavu.
- Laboratorně: leukocyty nebývají výrazně zvýšeny,↑ FW, CRP a
prokalcitonin v normě.
- Sonografie: zhrubění struktury žlázy, edematózní
prosáknutí kůže, bez kolikvace. V axile zvětšené, zánětem
aktivované uzliny.
- RTG: Mamografie: obtížně proveditelná pro výraznou
bolestivost v akutním stavu. Spíše v druhé době po odeznění
akutního stádia.
- CCB – core-cut biopsie: přítomnost granulomů, obrovských
mnohojaderných buněk, infiltrace leukocyty, plazmocyty a lymfocyty
v intra- a interlobulárním prostoru.
- Chirurgická biopsie – v případě chirurgické intervence.
Diferenciální diagnostika
Hnisavý zánět prsu (absces, mastitis purulenta)
Maligní onemocnění prsu
Inflamatorní karcinom prsu
Léčba
Antibiotika
Chirurgická: Incise s drenáží – odběr na bakteriální
vyšetření a biopsie k vyšetření – excise.
Kortikosteroidy při chronickém průběhu.
Kazuistika
Žena 36 let, bez výraznější komorbidity, 3 porody, bez zánětlivé
anamnézy v době laktace.
14 dní bolestivé zduření prsu, nasazena ATB – Zinnat, lokálně
antiflogistika.
Klinický obraz: bolestivost při palpaci, zduření, zarudnutí
prsu.
SONO: edém prosáknutí, tekutina nepřítomna.
Lab: CRP 6, leuko 9,2.
Mamografie pro bolestivost neprovedena.
Pro progresi nálezu i při i.v. podání ATB – incise v celkové
anestezii – odběr stěru na K+C, excise na histologické
vyšetření.
Bakteriální vyšetření negativní.
Pokračováno v ATB, postupně regrese nálezu.
- Histologické vyšetření: Excisi tvoří vazivově tuková tkáň s nespecifickou granulační tkání s proliferací kapilár v zánětlivém infiltrátu. Ten je tvořen převahou neutrofilů. Zánětlivý infiltrát je přítomen i v okolní tukové tkáni. Nález je v celé sérii řezů obdobný a nejsou přítomny žádné přesvědčivé známky malignity. Histologický nález podporuje i imunohistochemické vyšetření. Jde pouze o změny zánětlivé, granulomatózní.
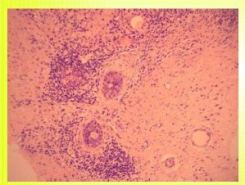
Histologické vyšetření



Histologie:
Ve vzorcích opakovaně nalezeny obrovskobuněčné granulomy se zánětlivým infiltrátem v okolí. Dále nalezena ztluštělá stěna duktů, tuková nekrosa.

Mamografie (po odeznění bolestivosti)

Závěr:
Prezentovaná kazuistika ukazuje obtížnou diagagnostiku u pacientky se zarudnutím a bolestivou rezistencí prsu.
Je nutno odlišit benigní onemocnění od karcinomu prsu. Toto rozlišení musí být včasné a přesné, což není vždy jednoduché. Má zásadní význam pro léčbu a prognózu pacientky.
Datum přednesení příspěvku: 7. 1. 2011
