Konference: 2013 XXXVII. Brněnské onkologické dny a XXVII. Konference pro nelékařské zdravotnické pracovníky
Kategorie: Gastrointestinální nádory
Téma: VIII. Nádory jícnu a žaludku
Číslo abstraktu: 079
Autoři: MUDr. Adam Peštál; Prof. MUDr. Ivan Čapov, CSc.; doc. MUDr. Václav Jedlička, Ph.D.; MUDr. Jan Doležel, Ph.D.; MUDr. Martin Veselý, Ph.D.; MUDr. Zdeněk Chovanec
Východiska:
GIST je specifický typ nádoru zažívacího traktu. GIST vzniká uvnitř stěny ze specifických buněk, buď z tzv. intersticiálních Cajalových buněk (anglická zkratka ICC), nebo z méně diferencovaných buněk. GIST je relativně vzácný nádor. Není známo jisté kritérium vyloučení malignity, každý nádor je nutno brát za potenciálně maligní! K prognóze, predikci chování nádorů se používá Fletcherovo nebo Miettienovo kritérium. Existují i extragastrointestinální stromální tumory, tzv. EGISTy. Rozložení četností GISTů dle výskytu je následující: 60-70 % žaludek, 20-25 % tenké střevo, 5 % tlusté střevo, < 5 % jícen. Chirurgická resekce je indikována se záměrem o R0 resekci, lymfadenektomie není nutná. Základem pro posouzení resekability tumoru je předně jeho vztah k okolním strukturám. K tomuto slouží ponejvíce CT. V některých případech je možno se rozhodnout definitivně až na podkladě operační revize.
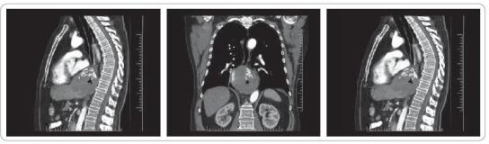
Popis případu:
Pacient 1943, s kulovitým tumorem o průměru 15 cm distálního jícnu s metastázou do jater S3 6 cm a v.s. drobnými v ostatním jaterním parenchymu. Histologická diagnóza, GIST c-kit pozitivní, stanovena v dubnu 2008 v Ostravě. PET aktivita v místě tumoru a mírně jen S 3 jater. Pacient předán do léčby na MOÚ. Od května 2008 na biologické terapii - Glivec 400 mg tbl 1D. 9/2008 regrese tumoru o 30 %, PET aktivita následně jen v oblasti tumoru. 12/2008-6/2011 SD. 12/2011 přes terapii progrese velikosti tumoru s exulcerací sliznice distálního jícnu, krvácení s anemizací. Navýšení dávky Glivecu na 800 mg/D. 3/20012 konzultace chirurgického pracoviště, indikován k operační revizi. Pacient operován 2. 4. 2012 z levostranné torakofrenolaparotomie. Náhrada jícnu tubulizovaným žaludkem, anastomóza semimechanicky modo Orringer. Současně provedena i resekce jaterní metastázy S3. Výkon i pooperační období bez komplikací. Od šestého pooperačního dne dietní zátěž. Rána zahojena per primam. Hospitalizace 10 dnů. Pacient letos v lednu 2013 rehospitalizovaný na MOÚ pro MTS jaterní S7 13 mm a S8 14 mm. Provedena ablativní stereotaktická RT, 5 dávek, dále udržovací terapie Glivec 400 mg 1/D. Lokálně bez známky recidivy, bez polykacích či jiných potíží, s odstupem plánovaná kontrolní vyšetření - CT.
Závěr:
K diagnostice GIST slouží předně CT, endoskopické a bioptické vyšetření. Vhodné je i PET vyšetření. Zpočátku nemoci bývá často negativní slizniční nález. Je významné vždy zvážit možnost resekability nádoru v rámci multioborových komisí za účasti erudovaného chirurga. I relativně objemné tumory, při zachování pseudokapsuly, jsou chirurgicky radikálně řešitelné.

Datum přednesení příspěvku: 18. 4. 2013
