Konference: 2005 XXIX. Brněnské onkologické dny a XIX. Konference pro sestry a laboranty
Kategorie: Kasuistiky
Téma: Chyby a omyly v diagnostice a léčbě nádorů
Číslo abstraktu: 062
Autoři: MUDr. Martin Ondrák, Ph.D.; doc. MUDr. Roman Šefr, Ph.D.; Doc.MUDr. Igor Penka, CSc.; Prof. MUDr. Ivan Čapov, CSc.; MUDr. Zdeněk Kaplan, Ph.D.; MUDr. Miloš Pacal
Výskyt zhoubných nádorů tenkého střeva se pohybuje mezi 1 – 5 % všech maligních tumorů trávícího traktu. Co do histologické rozmanitosti, adenokarcinom i karcinoid představují každý zhruba 40 % všech nádorů tenkého střeva, 15 % tvoří skupina gastrointestinálních stromálních tumorů a 5 % připadá na lymfomy. Co se týče počtu nově diagnostikovaných adenokarcinomů tenkého střeva v ČR, jde o 0,8 případů na 100 000 obyvatel, což představuje 0,1 % všech nově diagnostikovaných malignit. Léčebných modalit podílejících se na algoritmu léčby je několik. Jejich správné zařazení do terapeutického algoritmu určuje stádium onemocnění stanovené TNM klasifikací. Pro určení pT je nejdůležitější přesný výsledek histologického vyšetření odebrané nádorové tkáně. Pro stanovení N je důležité vyšetření spádové lymfatické oblasti palpačně, zobrazovacími metodami a nejpřesněji histologicky z odoperovaných uzlin. Při stanovení M se ve většině případů spoléháme na zobrazovací metody. Existují však indikace k chirurgickému řešení metastatického postižení. Je-li toto řešení indikované, pak máme k dispozici i výsledek histologického vyšetření metastázy. Nově se rozvíjející metodou je i stanovení chemorezistence in vitro fertilizovaných nádorových buněk – MTT test. Toto vyšetření je přínosné především u pacientů ve stádiu metastatického postižení, a předmětem vyšetření chemorezistence by měla být tkáň odebraná z metastázy.
Z uvedeného vyplývá, že zobrazovací metody hrají velkou roli v procesu zařazování pacienta do stadia onkologického onemocnění a významnou měrou přispívají k rozhodování o managementu další terapie. Chybné zobrazení a/nebo chybná interpretace vyústí v chybnou indikaci následné léčby.
Cíl práce
Rezervy ve zobrazovacích metodách dokumentuje, na příkladu pacienta sekundárně léčeného v MOU, následující kasuistika.
Cílem sdělení je ukázat zásadní diskrepance mezi závěry získanými hned dvěma zobrazovacími metodami a závěrem získaným peroperačně a z histologického vyšetření odebraných vzorků.
Kazuistické sdělení
V době stanovení diagnózy 37 letý muž, vegetarián. Dvouletá anamnéza horního dyspeptického syndromu došetřovaného a léčeného v jiných zdravotnických zařízeních vyústila ve vysoký ileózní stav řešený operačně mimo MOU. Dle dostupné dokumentace z operujícího pracoviště byl nalezen tumor jejuna s hmatnými uzlinami v mezenteriu a retroperitoneu. Ne zcela suficientní histologický nález popisoval cylindrocelulární tubulární adenokarcinom květákovitě rostoucí, v místě mezenteria prorůstající stěnu střevní, vyšetřené čtyři uzliny bez postižení nádorem.
Do MOU přichází 2 týdny po operaci k zahájení paliativní chemoterapie.
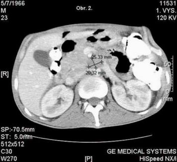
Pacient absolvuje CT vyšetření, kde je popsána velmi suspektní metastáza vpravo subpleurálně, na rozhraní S 9/10 - obr. 1., dále v retroperitoneu paket patologických uzlin 27 x 23mm - mezi aortou a dorzální plochou pankreatu, v úrovni dolního okraje pankreatu. obr. - 2., 3., 4. CT plic zobrazilo v mediastinu jen několik drobných uzlin nad bifurkací, velikosti do 9 mm. Nejsou vzhledu charakteristického pro patologické uzliny. V plicním parenchymu vpravo v S 10 subpleurálně metastatické ložisko velikosti 2O mm, polokulovité zesílení pleury kraniálně v S 1O vpravo - obr. 1. a suspektní drobné subpleurální ložisko velikosti cca 5 mm vpravo v S 2. Vlevo bez ložiskových změn, bez fluidothoraxu. Hodnoty tumormarkerů nepřesahují referenční meze - CEA 2.7 ug/l (referenční hodnota do 4.6), CA 19-9 < 2 kU/l (referenční hodnota do 37.0).




Doplněno bylo též PET vyšetření, které prokázalo ložisko zvýšené konzumpce glukózy na rozhraní stěny hrudní dorzokaudálně, ložiska pravé plíce a jater suspektních z neoplazie, drobné ložisko lehce vyšší konzumpce glukózy dorzálně v pravé plíci ve výši horního plicního pole těsně při stěně hrudní může být na podkladě neoplazie v diferenciální diagnostice se zánětlivým ložiskem, podobné ložisko ve výši pravého plicního hilu.
Veškeré zobrazovací metody prokázaly jednoznačně disseminaci onemocnění. Je však patrná neshoda v lokalizacích jednotlivých patologických nálezů.
Pro optimalizaci chemoterapeutického režimu jsme indikovali operační revizi s odběrem materiálu na přesné histologické vyšetření včetně stanovení gradingu, který v původním histologickém nálezu zcela chyběl a stanovení chemorezistence MTT testem.
Vyloučili jsme disseminaci v dutině břišní včetně postižení jater peroperačně provedeným ultrazvukem, též histologické vyšetření všech odebraných suspektních uzlin vyloučila jejich metastatické postižení.
Vzhledem k tomuto překvapivému nálezu jsme konzultovali hrudního chirurga stran resekability a benefitu resekce plicních metastáz. Indikovaná byla plicní resekce. Peroperačně byly však metastázy vyloučeny jednak palpačně, jednak peroperačně provedeným ultrazvukem kolabované plíce. Byla provedena resekce jediného patologického útvaru jizevnatého charakteru. Peroperační kryohistologické vyšetření i definitivní histologie potvrdily pouze jizevnaté změny.
Po zhodnocení všech nových poznatků a peroperačních nálezů nebyla u pacienta indikovaná paliativní chemoterapie, ale pouze dispenzarizace.
Není bez zajímavosti ani srovnání původního nálezu PET vyšetření z roku 2003 s kontrolními PET vyšetřeními z následujících let. V roce 2004 bylo provedeno kontrolní vyšetření s nálezem infiltrátu v předním mediastinu nejasné etiologie, mohlo by se jednat o aktivovaný thymus, neoplazii však nelze vyloučit. Nález patologické konzumpce glukozy v rektu je jen suspektní, mohlo by jít o variantu fysiologického zobrazení. Dutina břišní, včetně jaterního parenchymu je bez patologického nálezu. Další klinický průběh a kontrolní vyšetření potvrdily diagnózu thymus rebound fenoménu, patologii v rektu jsme vyloučili provedenou rektoskopií. Poslední přešetření jsme provedli v roce 2005, kdy toho času nebyla nalezena ložiska hypermetabolismu glukózy svědčící pro přítomnost vitální nádorové tkáně, a to ani v retroperitoeu, ani v oblasti pravé nadledviny. Toto bylo ověřeno fůzí s CT. Fyziologické rozložení radiofarmaka.
Diskuse
Zobrazovací metody jsou stěžejní pro určení M při TNM klasifikaci. Přitom právě přítomnost či absence metastatického postižení zcela mění algoritmus léčby. V naprosté většině případů výsledky zobrazovacích metod odpovídají skutečnosti. Ověřit si jejich závěry však můžeme pouze u vyšetření prováděných plánovaně před operačním výkonem. Provádíme-li vyšetření zobrazovacími metodami v rámci stagingu, nikoli předoperačně, pak tuto zpětnou kontrolu nemáme a musíme se při indikaci léčby spoléhat na jeho pravdivost. Pokud navíc postižení metastázami potvrdí dvě různé zobrazovací metody, mohlo by se zdát, že omyl je vyloučen. Výše popsaný případ však dokladuje, že vše je nutné hodnotit v souvislostech a na nic se nespoléhat stoprocentně.
Závěr
CT vyšetření potvrdilo metastatické postižení plic ve dvou ložiscích a metastatické postižení uzlin retroperitonea. PET vyšetření potvrdilo metastatické postižení jater, plic a hrudní stěny. Obě zobrazovací metody se tedy shodly na metastázách plicních.
Pouze nízké hodnoty tumormarkerů mluvily proti disseminovanému nádorovému onemocnění.
Operační nálezy a histopatologická vyšetření však nálezy zobrazovacích metod vyvrátilo. Nejpřekvapivější byl výsledek peroperačního a histopatologického nálezu na plíci, kde jsme metastázy očekávali bez sebemenších pochyb.
Závěry histologických vyšetření zcela zásadně změnily zařazení pacienta do TNM klasifikace a zejména prognózu onemocnění z původně infaustní na podstatně příznivější. K dnešnímu dni je pacient již 2 rokem v celkové remisi onemocnění.
Datum přednesení příspěvku: 27. 5. 2005
