Konference: 2006 XXX. Brněnské onkologické dny a XX. Konference pro sestry a laboranty
Kategorie: Onkologická diagnostika
Téma: Zobrazovací metody v onkologii
Číslo abstraktu: 029p
Autoři: MUDr. Jaroslava Barkmanová; Doc. MUDr. Tomáš Zelinka, CSc.; Hana Křížová
Jedná se o 40letého muže s pětiletou anamnézou hypertenze léčené betablokátory. Od led-na 2004 míval palpitace způsobené supraventrikulární tachykardií a záchvaty ortostatické hypotenze. Tyto symptomy vedly k podezření na feochromocytom, které bylo podporováno signifikantním zvýšením hladin volných norepinefrinů.
Diagnóza
Na CT snímcích byl popsán malý nádor v levé nadledvině a byla provedena levostranná adrenalektomie (březen 2004). Bohužel histologicky se jednalo pouze o smíšený lipom.
K lokalizaci zdroje zvýšených hladin norepinefrinů jsme použili vyšetření 123I-MIBG, které bylo ale nesprávně posouzeno jako negativní.
Selektivní odběr krve z pravé jugulární žíly ukázal vysoké hladiny katecholaminů.
Na nových CT snímcích jsme detekovali velký nádor v oblasti pravého glomus caroticum. Po extirpaci tohoto tumoru (histologicky hodnoceného jako extraadrenální feochromocytom) nedošlo ke změnám v hladinách katecholaminů ani chromograninu A. Proto jsme indikovali vyšetření 111In-pentreotidem. Na snímcích jsme objevili dvě léze v mediastinu, které se na předchozím CT nezobrazily.
Léčba po operaci
- 5 cyklů chemoterapie ve složení paclitaxel + karboplatina vedlo
jen k velmi malému poklesu hladin katecholaminů a bylo zcela bez
efektu dle nově provedeného octreoscanu
- k docílení redukce hladiny katecholaminů jsme zahájili terapii somatostatinovým analogem (Somatulin autogel) v dávce 60 mg 1x měsíčně s trváním efektu v délce 9 měsíců. Po opětném zhoršení laboratorních výsledků byla dávka Somatulinu zvýšena na 90 mg 1x za měsíc.
Obr. 1:
Statický snímek hrudníku v přední projekci. Zobrazují se dvě ložiska patologické akumulace v mediastinu.

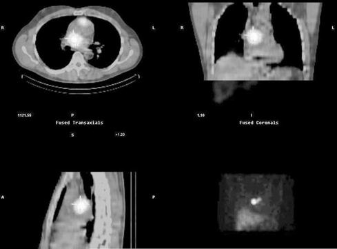
Obr. 2: Snímky SPECT/CT na kterých se zobrazují dvě akumulující ložiska, která jsou uložená prekardiálně a retrokardiálně.

Opětné zvýšení hladin katecholaminů nás vedlo k pokusu o opakování 123I-MIBG vyšetření s výslednou detekcí dvou lézí lokalizovaných před a za srdcem.
Pacient souhlasil s novou operací, která byla v únoru 2006 úspěšně provedena.
Závěr
Tato kazuistika je příkladem, že jedna, byť kvalitní a na vysoké úrovni provedená zobrazovací metoda, nemůže být zárukou správné diagnostiky. Zejména v případech méně histologicky obvyklých nádorů, kde navíc díky jejich sekrečním vlastnostem můžeme použít další specializovaná vyšetření, je jasnou výhodou použití více zobrazovacích metod. Na základě kompletace klinického vyšetření, laboratorních výsledků a fúze několika zobrazovacích metod je možné dospět k co nejpřesnějšímu hodnocení nálezu.
Datum přednesení příspěvku: 11. 5. 2005
