
Přednášky edukačního sympózia, které se konalo v prosinci 2014 v Praze. Přednášky jsou určeny pro onkology. Autorem úvodu garant sympózia prof. MUDr. Bohuslav Melichar Ph.D.
I když první pokusy o imunoterapii nádorových onemocnění jsou víc než století staré, role imunoterapie v komplexní léčbě nádorových onemocnění byla doposud velmi omezená. Za poslední století zaznamenala nádorová imunologie období rozmachu a útlumu, ale snahy o využití imunitního systému v kontrole maligních nádorů byly většinou experimentální povahy. Příchod monoklonálních protilátek zasahujících regulaci imunitní odpovědi poprvé v historii přinesl možnost dosáhnout imunoterapeutickou manipulací dlouhodobé kontroly nádorového onemocnění. Zdá se, že tato léčba může být účinná u celého spektra maligních onemocnění. Zároveň se stalo zřejmé, že mechanismem účinku řady protinádorových léků, monoklonálních protilátek a i cytotoxických léků, je alespoň z části aktivace imunitního systému. Nádorová imunologie a imunoterapie se tak nejen stávají předmětem zájmu odborné veřejnosti, ale, doufejme, i součástí rutinní péče o nemocné s nádory.
Program sympózia Využití imunitního systému v léčbě nádorů (přednášky byly přenášeny z www.imunoonkologie.cz, kde již nejsou k dispozici):
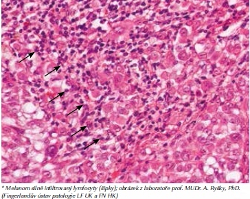
- Nádorové mikroprostředí: pohled patologa
Prof. MUDr. Aleš Ryška, PhD. (Fingerlandův ústav patologie LF UK a FN Hradec Králové) - Vztah mezi imunitním systémem a nádory: teorie 3E v imunitním dohledu
Prof. MUDr. Radek Špíšek, PhD. (Ústav imunologie, UK 2.LF; Sotio) - Úvod do imunitního systému: klíčoví hráči v protinádorové imunitě
Prof. RNDr. Václav Hořejší, DrSc. (Ústav molekulární genetiky AV ČR) - Blokátory immune checkpoints v léčbě melanomu: nové typy odpovědí a NÚ
MUDr. Ivana Krajsová, MBA (Dermatovenerologická klinika 1.LF UK a VFN) - Úvod a historie imunoterapie v léčbě nádorů
Prof. RNDr. Blanka Říhová, DrSc. (Mikrobiologický ústav AVČR) - Regulace imunitní odpovědi a únikové strategie nádorů imunitnímu systému
Dr. Marek Šťastný, PhD. (Bristol-Myers Squibb ČR) - Kolorektální karcinom: predikční hodnota „imunitní skóre“ vs. TNM klasifikace?
Prof. MUDr. Luboš Petruželka, CSc. (Onkologická klinika 1.LF UK a VFN) - Jaká je role imunitního systému v terapeutickém účinku Her-2 blokády?
Doc. MUDr. P. Tesařová, CSc. (Onkologická klinika 1.LF UK a VFN) - Nádorové mikroprostředí: pohled klinika
Prof. MUDr. Bohuslav Melichar, PhD. - Chimerické antigenní receptory (CARs) v léčbě hematologických malignit
MUDr. Pavel Otáhal, PhD. (I.Interní klinika 1.LF UK & VFN)
