Konference: 2012 XXXVI. Brněnské onkologické dny a XXVI. Konference pro sestry a laboranty
Kategorie: Nádory dětského a adolescentního věku; zhoubné nádory mozku a CNS
Téma: 18. Nádory dětí, adolescentů a mladých dospělých
Číslo abstraktu: 168
Autoři: MUDr. Zdeněk Pavelka; MUDr. Andrea Bobeková; MUDr. Olga Magnová; doc. MUDr. Leoš Křen, Ph.D.; MUDr. Ing. Tomáš Svoboda, PhD.; MUDr. Andrea Šprláková, Ph.D.; prof. MUDr. Pavel Šlampa, CSc.; Doc. MUDr. Eva Brichtová, Ph.D.; MUDr. Karel Goldemund, CSc.; MUDr. Karel Zitterbart, Ph.D.; prof. MUDr. Jaroslav Štěrba, CSc.
Úvod
Intrakraniální nádory ze zárodečných buněk (IGCT) jsou vzácné a tvoří pouze 3-5 % primárních nádorů centrálního nervového systému (CNS) dětí (1, 2). Presentujeme kazuistiku dítěte s anamnézou histiocytózy z Langerhansových buněk s následným germinomem mozku, který se klinicky manifestoval předčasnou pseudopubertou na podkladě ektopické sekrece choriogonadotropinu (hCG).
Kazuistika
Chlapec ročník narození 2005 s negativní rodinnou onkologickou anamnézou byl léčen v roce 2006 pro uzlinovou formu histiocytózy z Langerhansových buněk kombinací prednisonu a vinblastinu, od roku října 2006 byl bez známek aktivity choroby v dispenzární péči. V listopadu 2011 ve věku 6 let se dostavil se známkami rozvíjejících se sekundárních pohlavních znaků: sekundární pohlavní ochlupení, zvětšení genitálu (objem varlat dle UZV 5-6 ml, Tannerovo stádium: PH 3/5, G3/5), zhrubnutí hlasu, bilaterální zvětšení prsní žlázy do velikosti areoly, akné (obr. 1, 2). Pomýšleli jsme na předčasnou pubertu podmíněnou hormonálně aktivním tumorem nebo na jinou endokrinologickou příčinu předčasného rozvoje sekundárních pohlavních znaků. Komplexní vyšetření zobrazovacími metodami (včetně celotělového FDG-PET) vyloučilo extrakraniální tumor. Byla zjištěna patologicky zvýšená hodnota hCG v séru i mozkomíšním moku odebraném lumbální punkcí: hCG 160 IU/l (sérum) respektive 157 IU/l (mok) a zvýšená hodnota testosteronu v séru 43,76 nmol/l. AFP bylo negativní. Následně provedený LH/RH test potvrdil supresi sekrece LH/FSH. Závěr endokrinologa: pseudopubertas preacox isosexualis. CT oblasti nadledvinek bylo negativní. Vyšetření mozku MR prokázalo ložisko zvýšeného signálu v T2 zobrazení o velikosti 16x16x17 mm v levých basálních ganglií (obr. 3 a 4).


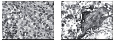
Stereotakticky navigovanou biopsií byl odebrán vzorek tkáně, ve kterém patolog potvrdil maligní germinální nádor typu germinomu se složkou syncitiotrofoblastu obsahující velké polygonální buňky v solidních ložiscích a hnízdech s velkými centrálně uloženými jádry (imunohistochemie: PLAP pozitivní; ostatní, tj. S100, AE1/AE3, LCA, NSE, synaptofyzin, AFP negativní; vysoké Ki67 90 %) (obr. 5 – barvení HE, zvětšeno 400x, obr. 6 – pozitivní průkaz syntitiotrofoblastu při imunohistoche v rámci CNS byla vyloučena. Dítě zahájilo léčbu dle protokolu ACNS 0232: chemoterapie s následnou radioterapií diferencovanou dle léčebné odpovědi, selektivní zvážení tzv. „second look operace“ po 2 a nebo 4 cyklech chemoterapie (3). K blokádě efektu testosteronu na cílových receptorech byl nasazen anti-androgen cyproteron acetát. U pacienta bylo zahájeno genetické šetření vzhledem k sekvenci 2 rozdílných malignit včetně vyšetření na průkaz mutace (dysfunkce) v obvyklých nádorově – supresorových genech či genech DNA reparačních systémů.
Diskuze
IGCT jsou vzácné a představují jen 3-5 % všech primárních nádorů CNS dětí (1, 2). Vyrůstají typicky ve střední čáře v supraselární a pineální oblasti. IGCT dělíme na germinomy a non-germinomy [4]. Histologicky „čisté“ germinomy tvoří 50-60 % IGCT. Složka syncitiotrofoblastu produkující hCG může být v tumoru zastižena, podmínkou je ale hladina hCG v séru i likvoru pod 500 IU/l a negativita AFP. V opačném případě je třeba nádor brát jako sekretorický non-germinom s odlišnou léčbou i horší prognózou [3-5]. Germinomy mají obecně dobrou prognózu, za standard léčby je považováno pooperační ozáření. Rozsah radioterapie v protokolech bývá různý, při profylaktickém ozáření celé osy s dosycením na primární ložisko maximální tolerovatelnou dávkou je dosahováno desetileté přežívání 80 %, u dětí však za cenu vysokého rizika závažných pozdních následků [4,6]. Proto současné generace dětských protokolů (např. ACNS 0232) zařazují nejprve chemoterapii a při dobré léčebné odpovědi je radioterapie u lokalizovaných tumorů redukována na lokální ozáření [3].
Asociace histiocytózy z Langerhansových buněk a nádoru ze zárodečných buněk je velmi vzácná, v literatuře jsou uvedeny jen ojedinělé kazuistiky, navíc převážně u dospělých. Asociace s nádorem lokalizovaným intrakraniálně je pak vysloveně raritní [7,8]. O možných společných genetických jmenovatelích vzniku obou malignit, či vlivu předchozí chemoterapie vedoucí k sekundární malignitě můžeme pouze spekulovat.
Germinom CNS může být příčinou předčasné pseudopuberty. Je třeba terminologicky i medicínsky odlišovat předčasnou pubertu a pseudopubertu. V středoevropském regionu se používá více termín pseudopubertas praecox isosexualis, kdežto anglosaská literatura pracuje s termínem gonadotropin-independentní předčasná puberta (tabulka 1).
Mechanismem vzniku pseudopuberty je v případě našeho pacienta produkce hCG tumorem (složkou syncitiotrofoblastu), který zkříženou reakcí s LH receptorem vede k typickým klinickým projevům, ale se suprimovanou basální a/nebo stimulovanou hladinou LH (potvrzeno LH/RH testem). K aktivaci osy GnRH – LH – gonády zde nedochází [9,10]. Obvykle je udáváno, že hladina hCG vedoucí k předčasné pseudopubertě bývá excesivní. V případě chlapce byly hodnoty v séru i moku před zahájením terapie opakovně sice patologické, ale pod obvyklou mezí (500 IU/l) určující sekretorické non-germinomy [2,3]. Nádor byl z histopatologického i onkologického hlediska „čistý germinom“. Vzácnou lokalizací byl nález tumoru mimo střední rovinu, laterálně v basálních gangliích levého thalamu. Atypická lokalizace v basálních gangliích je možná, avšak spíše neobvyklá [6]. Proto bylo nutné (také vzhledem k hladině hCG pod hranicí určující diagnózu sekretorického non-germinomu) verifikovat tumor stereotaktickou biopsií.
|
Tabulka 1: Možné příčiny předčasné isosexuální pseudopuberty u chlapců: |
|
• Testikulární poruchy |
|
• Familiární předčasná puberta chlapců (testotoxikóza) |
|
• McCune-Albright syndrom |
|
• Adenomy z Leydigových buněk |
|
• Nádory produkující lidský choriogonadotropin |
|
• Teratomy produkující androgeny |
Závěr
Při zjištění předčasné pseudopuberty u dítěte je třeba diferenciálně diagnosticky zvažovat také hCG produkující tumor CNS jako možnou neobvyklou příčinu. Případ dokumentuje potřebu interdisciplinárního přístupu při diagnostice a léčbě takových dětí. Prognóza pacienta je vzhledem k asociaci s předchozím jiným onkologickým onemocněním a tedy teoreticky možnému genetickému pozadí nejistá.
Literatura
- Kleihues P, Cavanee WK. Pathology and genetics of tumors of the nervous system. Lyon: International Agency for Research on Cancer (IARC) Press 2007.
- Louis DN, Ohgaki H, Wiestler OD, et al. The WHO 2007 classification of tumours of the central nervous system. Acta Neuroptahol 2007; 114: 97-109.
- www.childrensoncologygroup.org/members/protocols/CNS
- Pizzo, P. A., Poplack, D. G. (eds).: Principles and Practice of Pediatric Oncology. Fifth edition. Lippincott Williams & Wilkins: Philadelphia. 2005.
- González-Sánchez V, Moreno-Pérez O, Pellicer PS, et al. Validation of the human chorionic gonadotropin immunoassay in cerebrospinal fluid for the diagnostic work-up of neurohypophyseal germinomas. Ann Clin Biochem. 2011 Sep;48(Pt 5):433-7.
- Cho BK, Kim SK, et al. Germinomas in the basal ganglia: magnetic resonance imaging classification and the prognosis. J Neurooncol. 2010 Sep;99(2):227-36.
- Mandel M, Toren A, Kende G. Familial clustering of malignant germ cell tumors and Langerhans' histiocytosis. Cancer. 1994 Apr 1;73(7):1980-3.
- W K Ng, K Y Lam, I O Ng. Langerhans' cell histiocytosis: possible association with malignant germ cell tumour. J Clin Pathol. 1995 October; 48(10): 963–965.
- Stephen MD, Zage PE, Waguespack SG. Gonadotropin-dependent precocious puberty: neoplastic causes and endocrine considerations. Int J Pediatr Endocrinol. 2011; 2011:184502. Epub 2011 Mar 6.
- Jorsal T, Rørth M. Intracranial germ cell tumours. A review with special reference to endocrine manifestations. Acta Oncol. 2012 Jan;51(1):3-9.
Datum přednesení příspěvku: 19. 4. 2012
