Konference: 2009 XXXIII. Brněnské onkologické dny a XXIII. Konference pro sestry a laboranty
Kategorie: Radioterapie
Téma: VII. Radioterapie nádorů
Číslo abstraktu: 068
Autoři: prof. MUDr. Renata Soumarová, Ph.D., MBA; MUDr. Zuzana Lovasová; MUDr. Stanislav Czudek, CSc.; MUDr. Matěj Škrovina, Ph.D.; MUDr. Lukáš Adamčík; MUDr. Martin Straka
Chirurgie se však uplatňuje i v případě resekce solitární metastázy.
Sarkomy měkkých tkání a kostí tvoří velmi heterogenní skupinu. O většině těchto nádorů je známo, že patří mezi tzv. radiorezistentní tumory, čili špatně reagující na aplikované ionizující záření. Nutno však říct, že tento pohled se mění. Důvodem je možnost aplikace relativně vysokých dávek záření díky novým moderním technologiím a vhodná kombinace s dalšími léčebnými modalitami. Radioterapie může být indikována jako neoadjuvantní (předoperační), intraoperační nebo adjuvantní (pooperační), v závislosti na rozsahu onemocnění, typu chirurgického výkonu či účinnosti chemoterapie. V některých případech má i velmi dobrý paliativní efekt. Radioterapie je velmi užitečná ke snížení pravděpodobnosti lokální recidivy a tím vzniku diseminace onemocnění.
Dávka radioterapie se u různých typů sarkomů liší. Relativně nízké dávky se používají u Ewingova sarkomu, vysoké u rhabdomyosarkomu. Vyšší dávky (průměrně 66 Gy a více) vyžadují též chondrosarkomy a osteogenní sarkomy. Na druhé straně např. myxoidní liposarkom je obzvláště citlivý na RT. K regresi tumoru, zmírnění bolestí a např. zastavení krvácení, a tím i dosažení paliativního efektu, může být dosaženo i u velmi rezistentních tumorů jako je relativně dobře diferencovaný sarkom.
Nejčastěji používaným způsobem ozáření je zevní radioterapie fotonovými svazky, ale je možná kombinace zevní radioterapie s brachyterapií, ozáření těžkými částicemi či intraoperační radioterapie elektronovým svazkem či tzv. ortovoltáží.

Obr. 1
Technika IMRT u sarkomu uloženého paravertebrálně
Pro nádory v blízkosti míchy je vhodná technika
intenzitně modulované radioterapie (IMRT). Tato technika je vysoce
konformní a umožní aplikaci vyšších dávek záření bez překročení
toleranční dávky míchy (obr. 1). Pro aplikaci vysokých dávek záření
v blízkosti senzitivnějších struktur jsou vhodné i protonové
svazky. Mezi nádory vhodné pro ozařovaní touto technikou mohou
patřit nádory baze lební či krčních obratlů.

Obr. 2
Intersticiální brachyterapie končetinového sarkomu
Vysoké dávky záření v oblasti lůžka tumoru
umožní též kombinace zevní RT a intersticiální brachyterapie (obr.
2). Kombinací můžeme dosáhnout lokální kontroly onemocnění v
80-90%. K výhodám intersticiální brachyterapie patří možnost
aplikace vyšší dávky záření v cílovém objemu, šetření okolních
zdravých tkání, přesné posouzení lůžka tumoru, ozáření dobře
oxygenovaných buněk před nástupem jizevnatých změn, kratší léčba.
Léčba intersticiální brachy terapií může být zahájena v relativně
krátkém časovém odstupu od operace na rozdíl od zevní radioterapie,
která může být zahájena až po zahojení resekční rány, tzn. za 2-3
týdny. Též u lokálně recidivujícího onemocnění je indikována
maximálně možná resekce s následnou brachyterapií s nebo bez zevní
radioterapie.

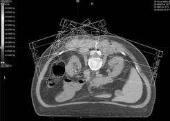
Obr. 3
Intraoperační RT pro sarkom retroperitonea
Intraoperační radioterapie (IORT) elektronovým
svazkem je technika vhodná zejména pro retroperitoneální sarkomy
(obr. 3). Tyto nádory často narostou v dutině břišní do obrovských
rozměrů. Kompletní chirurgická resekce zde zůstává hlavní léčebnou
modalitou, ale lokální kontrola je často špatná, selhání je
popisováno v 45% až 86%. Resekabilní onemocnění je vhodné zajistit
pooperační radioterapií. Nicméně samostatná zevní radioterapie
vzhledem k blízkosti radiosenzitivních struktur, zejména kliček
tenkého střeva, míchy či ledvin, je limitovaná. Intraoperační
radioterapie (IORT) využívá aplikaci svazku ionizujícího záření do
operačního pole přímo během chirurgické revize. Na oblast tumoru
nebo jeho lůžka je aplikována jednorázová dávka záření (10-30 Gy),
zdravé tkáně jsou z ozařovaného objemu dočasně mechanicky odsunuty.
Kombinací zevní a intraoperační radioterapie tak můžeme dosáhnout
zlepšení lokální kontroly onemocnění.
Závěr
Moderní technologie v radioterapii umožňují
aplikaci podstatně vyšších dávek záření než tomu bylo v době
nedávno minulé. Proto zařazení radioterapie do léčebných postupů
relativně radiorezistentních sarkomů kostí a měkkých tkání
jednoznačně patří. Je ovšem nutné využívat všech možností moderní
radioterapie včetně techniky IMRT, brachyterapie či intraoperační
radioterapie. Tuto skupinu nádorů je však nutné a potřebné směřovat
do center, která jsou vybavena moderními technologiemi a kde
existují zkušené multidisciplinární týmy zaměřené na tuto
problematiku. Jedině takto můžeme dosáhnout dobré lokální kontroly
onemocnění, lepšího celkového přežití, dobrých funkčních výsledků a
dobré kvality života našich pacientů.
Datum přednesení příspěvku: 17. 4. 2009
