Konference: 2009 XXXIII. Brněnské onkologické dny a XXIII. Konference pro sestry a laboranty
Kategorie: Nádory dětského a adolescentního věku
Téma: XXV. Nádorová onemocnění dětského věku
Číslo abstraktu: 216
Autoři: MUDr. Zdeněk Pavelka; Doc. MUDr. Jarmila Skotáková, CSc.; doc. MUDr. Leoš Křen, Ph.D.; MUDr. Jiří Ventruba, CSc.; Doc. MUDr. Eva Brichtová, Ph.D.; prof. MUDr. Pavel Šlampa, CSc.; MUDr. Karel Zitterbart, Ph.D.; prof. MUDr. Jaroslav Štěrba, CSc.
Chorioidální plexus (CP) produkuje cerebrospinální tekutinu, anatomicky je lokalizován v parenchymo-ventrikulární junkci ve všech komorách. Nádory CP mohou mít benigní nebo maligní fenotyp, ale existují i nádory atypické respektive semimaligní. Tumor plexu byl poprvé popsán v roce 1833.
Epidemiologie
Papilom plexus chorioideus (CPP) a karcinom (CPC) jsou vzácné, tvoří 0,5-0,6% primárních nádorů CNS a 1,8-2,9% pediatrických CNS tumorů. 45% případů je diagnostikováno v 1. roce života, kde tvoří 12-14% všech malignit. Distribuce mezi oběma pohlavími je rovnoměrná. 50% tumorů je lokalizováno v laterálních komorách, 37% ve IV a 9% ve III. komoře. Karcinomy tvoří 29-39% nádorů plexu.
Patologie
Tvar nádorů CP bývá hrubě lobulární s nepravidelným povrchem, přítomno může být starší krvácení. CPP se šíří více do komor, zatímco CPC častěji vykazují invazi do mozkové tkáně. Rozdílné charakteristiky stromatu CPP odlišují tento nádor od papilární formy ependymomu. Mikroskopický vzhled CPP rekapituluje obraz normálního plexus chorioideus, mitózy jsou vzácné (obrázek 1). Pro odlišení CPC jsou důležité přítomnost invaze do mozkové tkáně a známky malignity (nukleární atypie, mitotické figury a zvýšený poměr jádro/cytoplasma). Pokud nádor vykazuje známky atypie bez invaze označuje se jako atypický papilom (obrázek 2). Karcinomy mohou metastazovat cestou mozkomíšního moku. Buněčná proliferace měřená Ki67/MIB1 indexem je menší u papilomu a signifikantně vyšší u karcinomů. Obtížnost histopatologické diagnostiky nádorů CP dokumentuje fakt, že v nedávno ukončené studii CPT-SIOP-2000 byla shoda mezi lokálními patology a referenčním centrem kolem 70%.

Cytogenetické a molekulárně genetické změny
V naprosté většině případů se jedná o sporadické nádory. Existuje hypotéza o účasti virů SV40 a HPV v etiopatogenezi nádorů plexu jejich interakcí s tumor-supresorovými geny p53 a RB. Metodou PCR lze prokázat sekvence DNA viru SV40 v 50% případů nádorů plexu. Nověji byly prokázány mutace genů v komplexu hSNF2/INIl. V nádorech plexu jsou nalézány různé chromozomální aberace, jejichž prognostický význam dosud není známý. Jejich spektrum je odlišné u CPP proti CPC.
Stanovení diagnózy
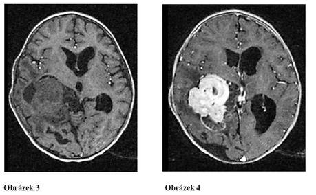
Hlavním projevem jsou příznaky obstrukčního hydrocefalu, který je přítomen při diagnóze u 75-90% případů. CT obraz CPP je poměrně specifický, tumor je dobře ohraničený od okolní mozkové tkáně, obsahuje kalcifikace a homogenně vychytává kontrast (na rozdíl od ependymomu). Při MRI vyšetření jsou papilomy isodensní s mozkovu tkání (Tl-vážený obraz), po gadoliniu nádor intenzivně světle enhancuje (obrázek 3 a 4). Hranice mezi nádorem a mozkovou tkání je v případě CPC nezřetelná, nejedná se ovšem o univerzální nález.

Terapie
Kompletní (totální) resekce (GTR) sama je kurativní v případě papilomu a většinou i atypického papilomu. Radikální přístup může být limitován vysokou a velkým rozsahem při diagnóze. Radikalita resekce ovlivňuje výsledek léčby také u karcinomů a měla by být prvním bodem terapie. GTR je však možná pouze u 50% případů CPC. V kombinaci GTR s adjuvantní terapií (radioterapie nebo chemoterapie) jsou dosahovány hodnoty přežití v různých souborech 61-90%. Hlavním faktorem ovlivňujícím přežití je pro papilomy i karcinomy rozsah resekce. Samotný, byť radikální výkon, není dostatečnou prevencí recidivy karcinomu. V sérii Wolffa a kol. byl pro CPC po radikální resekci a radioterapii OS5 68%, bez radioterapie 16%. Efektivita chemoterapie u CPC je sporná, většina testovaných chemoterapeutických režimů obsahuje kombinace vinkristinu, cyklofosfamidu, etoposidu a platinových derivátů. Pokud je dítě s CPC starší 3 let (což je menšina případů), je po operaci i v případě kompletní resekce většinou autorů doporučena lokální radioterapie. Nezbytností je podání radioterapie v případě residua tumoru a metastatické nemoci (včetně ozáření kraniospinální osy).
Majorita pacientů s nádory plexu však spadá do kategorie pod 3 roky věku, proto je role chemoterapie dále ověřována například v aktuálně proběhlé kooperativní studii s označením CPT-SIOP-2000, do které jsou zapojena evropská a severoamerická centra. V této studii byla pozitivní odpověď po 2 cyklech chemoterapie zaznamenána u 60% případů a byla srovnatelná u APP i CPC. Ve shodě s předchozími literárními údaji, radioterapie zlepšila výsledky léčby CPC. Pacienti léčení radioterapií dosáhli signifikantně lepší EFS, než bez radioterapie. Celkové léčebné výsledky byly obdobné v kategorii APP i CPC. Střední OS ve skupině CPC činilo kolem 5 let od diagnózy.
Závěr
Podmínkou zlepšení léčebných výsledků vzácných nádorů CNS, mezi které patří i tumory chorioidálního poklesu je:
- registrace a léčba v rámci řádných (mezinárodních) studií
- diagnostika na molekulární úrovni
- centrální čtení histologie
- centrální čtení MR (meta apod.)
- centrální kontrola radioterapeutických plánů
- statistika na základě „velkých" čísel s výpovědní hodnotou a dopadem na formulování další terapie
Literatura
- Fitzpatrick LK, Aronson LJ, Cohen KJ. Is there a requirement for adjuvant therapy for choroid plexus carcinoma that has been completely resected? J Neurooncol 2002, 57: 123-126
- Kleihues P, Cavanee WK. Pathology and genetics of tumors of the nervous system. Lyon: International Agency for Research o Cancer (IARC) Press 2007
- Packer RJ, Reddy A. New treatments in pediatrie brain tumors. Curr Treat Options Neurol 2004, 6: 377-389
- Rickert CH, Wiestler OD, Paulus W. Chromosomal imbalances in choroid plexus tumors. Ani J Pathol 2002, 160: 1105-1113
- Schutz J, Kaatsch R Epidemiology of pediatrie tumors of the central nervous system. Expert Rev Neurotherapeutics 2002. 2: 469-479
- Walker DA, Perilongo G, Punt Jonathan AG, Tylor RE. Brain and spinal tumors of childhood. Arnold London 2004
- Wolff JE, Sajedi M, Brant R, et al. Choroid plexus tumors. Br J Cancer 2002, 87: 1086-1091
- Wolff JE, Sajedi M, Coppes MJ, et al. Radiation therapy and survival in choroid plexus carcinoma. Lancet 1999, 353, 2126
- www.siop.org/protocols
- www.childrensoncology group.org/members/protocols
Datum přednesení příspěvku: 16. 4. 2009
